HOSPITAL INTRODUCE

병원소개

발,발목 [발가락 힘줄 파열] 장무지신전건(힘줄) 재부착술

페이지 정보

작성자최고관리자 댓글 0건 조회 78회 작성일 25-12-17 16:29

본문

b1d6a7ed823268faf8290a31a2d8a8bb_1765956458_5549.jpg
43세 남성환자분으로 좌측 엄지발가락 통증과 발가락이 잘 들리지 않는 증상으로 내원해주셨습니다.

내원 2일전 발가락이 아래로 꺾이면서 부딪히면서 다치셨다고 하셨고 발가락에 심한 피멍이 보였습니다.

X-ray 검사 시 이상이 발견되지 않았는데, 피멍이 들었다는거는 인대나 힘줄 등 무언가 파열되었을 때

나타나는 증상이기 때문에 MRI 촬영을 진행하기로 하였습니다.

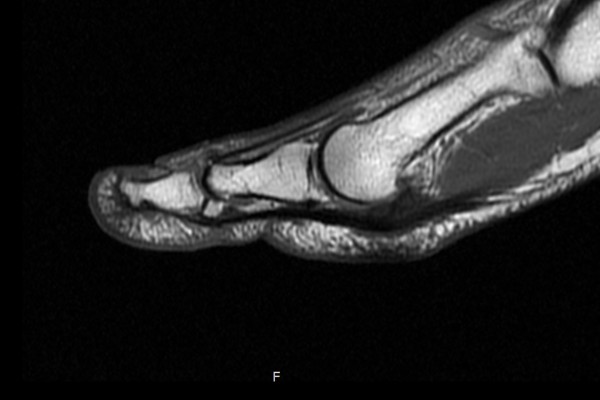
b1d6a7ed823268faf8290a31a2d8a8bb_1765956466_3658.jpg

MRI 촬영결과 발가락을 들어올리는 힘줄인 장무지신전건(힘줄) 부착부 파열

(Lt. foot 1st toe Extensor Hallucis Longus (EHL) avulsion tear)이 확인되었습니다.

아래에 힘줄을 보면 검은색 힘줄이 잘 연결되어있으나 위에 장무지신전건을 보시면 파란 점선처럼

연결되어있어야 할 힘줄이 끊어져있는것이 확인됩니다.


b1d6a7ed823268faf8290a31a2d8a8bb_1765956477_0314.jpg

수술이 필요한 상태로 장무지신전건 재부착술(Lt. foot 1st EHL re-attachment c suture anchor)을

시행하였습니다.

수술 사진을 보시면 하얀색 힘줄이 떨어져서 빈공간이 확인됩니다.


b1d6a7ed823268faf8290a31a2d8a8bb_1765956489_8146.jpg

힘줄을 뼈에다가 붙이는 작업을 진행하였고 봉합하면서 힘줄이 실과 함께 뼈에 붙어

빈틈이 안보이게 꼬메어진 것이 확인됩니다.


b1d6a7ed823268faf8290a31a2d8a8bb_1765956501_8707.jpg

환자분의 경우 수술 4주 후 부터 발가락을 구부렸다 폈다 하는 운동을 시작하셨고,

6주 후 부터는 다 디딛게 되었으며, 2달째부터는 아픈 곳 없이 잘 다니시게 되었습니다.

실제로 너무 만족하신 환자분께서는 감사하게도 네이버 대형 족부카페에 글을 남겨주셨습니다.

https://cafe.naver.com/loveshoulder/53455

b1d6a7ed823268faf8290a31a2d8a8bb_1765956560_8793.jpg
 


댓글목록

등록된 댓글이 없습니다.

car

경기도 의정부시 평화로 389 2층~8층

subway
회룡역 2번 출구 회룡역 3,5번 출구
bus
36, 39, 5, 56, 7, 72, 72-3, 118, 5 203, 230-1, 206-1, 203-2
walk

식자재 왕 도매마트 건너편


경기도 의정부시 평화로 389 2층~8층
상호명 : 연세베스트병원 ㅣ 사업자 번호 : 264-99-01344 ㅣ 대표자 : 장철영
COPYRIGHT(C) YONSEI BEST HOSPITAL. ALL RIGHTS RESERVED.

logo

  • bottomicon

    031.874.0119

  • bottomicon

    평 일- 09:00 ~ 18:00
    토 요 일- 09:00 ~ 13:00
    점심시간- 13:00 ~ 14:00