
척추관협착증 치료의 새로운 기준!
*AI를 활용한 이미지 입니다.
SPINAL CANAL STENOSIS
신경이 지나가는 척추관이 어떠한 원인으로 좁아져 통증이 발생하는 질환입니다.
척추관협착증은 중년 이후에 흔히 발생하는 질환 중 하나로 이름처럼 척추 중앙의 신경이 지나가는 척추관이 어떤 원인으로 인하여
좁아져서 허리 통증 및 다리에 신경증상을 일으키는 질환입니다. 주로 요추(허리)쪽에 많이 발생하는데,
경추(목)쪽에 발생하는 협착증은 경추 척추관 협착증이라 합니다.
대부분의 협착증은 나이가 듦에 따라 척추관이 좁아지는 퇴행성 변화, 노화현상입니다.
대표적인 증상으로는 허리 통증 및 엉덩이 쪽으로 쥐어짜는 듯한 통증과 저림 증세, 다리에 감각장애와 근력저하가 동반됩니다. 걸을 때 저림이 많이 발생하는데 이 때 쪼그리고 앉거나 쉬어주면 증상이 완화됩니다. 그러나 다시 걷기 시작하면 증상이 발생하는 경우가 많습니다.
만성적 허리통증
대표적인 증상으로 허리에 통증이 발생합니다.
다리저림
신경이 눌려 다리가 저리고 근력이 저하됩니다.
온도
날이 추울 때 증상이 더 심하게 나타납니다.
방사선검사(X-ray)
척추를 다양한 각도에서 촬영하여 탈출한 디스크로 인한 척추 뼈의 변형을 확인합니다.
이학적검사
증상이 비슷한 허리디스크와 구분하는 방법으로, 누운상태에서 다리를 들어올릴 때 특별한 통증이 없다면 척추관협착증을 의심할 수 있습니다.
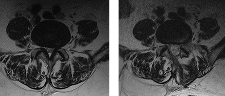
자기공명영상 검사 (MRI)
가장 정확한 검사법으로 추간판 탈출 정도나 척추의 손상 및 신경의 압박 정도, 인대 근육 등의 조직 손상까지 확인이 가능합니다.
약물 및 휴식
소염진통제 등의 약물을 복용하며 휴식을 취합니다.
보호대
허리를 잡아주고 보호해주는 보호대를 착용합니다.
체외충격파
외부에서 가해주는 충격파를 통해 병변부위를 자극하는 치료법입니다. 혈관을 확장시켜 많은 혈류량을 공급, 치료 부위에 영양분을 제공하여 약해진 인대나 근막과 같은 연부조직을 튼튼하게 해주며 손상된 조직을 재생시키는 치료법입니다.
신장분사치료
병변부위에 극저온(-20도~-80도)의 냉기가스를 분출하여 통증 부위의 온도를 급격하게 낮춰 통증을 줄이는 치료법입니다.
고강도 힐트레이저
고출력의 레이저를 피부와 조직 손상 없이 힘줄, 인대, 신경까지 전달하여 강한 에너지로 염증을 제거하고 조직의 재생을 촉진하여 통증을 완화시키고 회복을 도와주는 치료법입니다.
도수치료
전문치료사의 손으로 신체의 균형을 바르게 잡아주며 인대나 근육, 신경을 기능적으로 올바르게 만드는 치료를 말합니다.
보존적 치료에도 통증이나 저림 증상이 지속된다면 상태에 따라서 시술이나 수술적 치료를 고려해봐야 합니다.
통증이 발생하는 부위에 직접적으로 약물을 주사하여 염증 및 부종을 줄이는 기본적인 시술로 실시간 영상 증폭장치 C-ARM를 이용하여 실시간으로 위치를 확인하며 병변 부위에 정확히 약물을 주입이 가능합니다. 정확한 약물의 주입으로 염증과 부종을 제거하고, 통증에 민감해진 신경을 치료합니다.
디스크나 협착증 증상이 있는 꼬리뼈를 통해 1mm 정도의 얇은 특수 카테터를 삽입 후 신경의 유착을 풀어주고, 약물(신경이완제, 유착을 분리해주고 염증 물질의 배출)을 투여하여 디스크, 협착증 등 척추질환으로 발생되는 통증과 염증, 부종, 유착 등을 제거하는 치료법입니다.
피부절개 없이 부분마취 후 실시간영상증폭장치인 C-ARM을 이용해 약물이 들어가는 위치를 정확히 확인이 가능하여 고령자, 당뇨, 고혈압 등의 환자들도 안전한 시술이 가능하며, 척추치료 중 가장 많이 시행되는 치료법입니다.
약 1mm 정도의 특수 카테터를 병변에 삽입하여 고주파로 튀어나온 디스크를 수축, 응고 시켜 신경을 누르던 디스크를 제거합니다. 좁아진 척추관을 넓혀주고 유착이 생긴 부위를 박리 및 제거하는 한편 염증과 붓기도 가라앉힐 수 있는 비수술 치료법입니다.
특수 카테터의 끝 부분에서만 열이 발생하므로 주변 조직 손상 위험이 적으며
20~30분 내외의 짧은 수술시간으로 부담이 적습니다.
대학병원, 관절·척추병원에서의 오랜 임상경험과 국내·외 학술대회 및 논문 발표 업적을 바탕으로 믿을 수 있는 치료를 시행합니다.
시술적 치료로도 증상호전이 되지 않는 상태의 척추는 수술적 치료를 고려해봐야 합니다.
국소 마취 후 병변부위에 1cm 이하의 작은 구멍 2개를 뚫고 한쪽에는 특수 수술기구를 다른 한쪽으로는 고화질의 척추내시경을 넣어 치료합니다.
양방향에서 각각 내시경과 기구가 삽입되기 때문에 원활한 시야 확보와 수술기구의 사용 폭이 넓어져 더욱 정확하고 안전한 수술이 가능하며,
고화질의 내시경 화면을 통해 주변조직 손상 없이 병변 및 신경, 미세혈관까지 실시간으로 확인하면서 척추 신경을 눌러 통증을 일으키는 원인만을 선택적으로 제거 합니다.
2cm 미만의 미세 절개 후 고배율 미세현미경을 이용해 수술 병변 부위를 10~15배 확대하여 시야를 확보 후 특수 드릴을 이용해 척추뼈를 최소 절개하여 신경을 노출 시키고, 튀어나온 디스크 조각을 제거합니다. 제거 후 신경의 압박이 풀어진 것을 확인하고 근육과 피부를 안전하게 봉합합니다.
고배율의 미세현미경을 이용하는 만큼 병변부위와 정상조직의 확인이 용이하여 척추 및 근육 손상이 적고, 신경 손상 및 감염 등의 합병증 발생률 또한 낮습니다.
전신 마취를 하고 피부를 최소절개 후 척추에 접근합니다. 두 개 이상의 인전합 척추를 서로 연결하여 고정하는 수술로 척추들 간에 일어날 수 있는 움직임을 제한함으로서 척추 안정성을 증진시키고 척추 문제로 인한 통증을 완화하고자 하는 목적으로 도움을 줄 수 있습니다.
후방 유합술과 전방 유합술로 나뉘며, 후방유합술은 등을 통해 수술을 진행하는데, 척추뼈 사이의 후궁을 제거하고, 나사못이나 플레이트 등을 사용하여 척추뼈를 고정합니다. 전방유합술은 몸의 앞부분을 통해 수술을 진행하며,
척추뼈 사이의 디스크를 제거하고, 뼈나 인공뼈를 삽입하여 척추뼈를 고정합니다.
척추유합술의 경우 체력과 기능 융합과정을 최적화하기 위해 수술 후 물리재활치료가 매우 중요합니다.