HOSPITAL INTRODUCE

병원소개

발,발목 [발목 원위경비결합인대 손상] 발목 원위경비결합인대 고정술 및 삼각인대 봉합술

페이지 정보

작성자최고관리자 댓글 0건 조회 58회 작성일 25-12-17 17:08

본문

39세 남성 환자분께서 좌측 발목 통증으로 내원해주셨습니다. 환자분께서는 내원 2일 전 주말에 배구를 하다가 다치셨다고 말씀하셨으며, 근처 타병원을 들리셔서 영상 검사를 받으신 후 족부 질환 치료를 잘하는 의사를 찾아 검색을 해보시다가 저를 알게되시어 자료를 지참하여 내원해주셨습니다.(환자분의 경우 직업이 학교 선생님이셨기 때문에 빠른 재활과 학교 복귀가 필요한 상황으로, 이 부분에 중점을 맞춰 치료계획을 세웠습니다.) 


b1d6a7ed823268faf8290a31a2d8a8bb_1765958778_1298.jpg
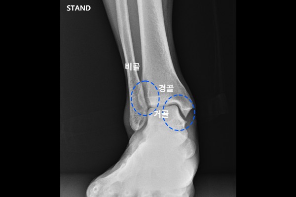
환자분의 발목 상태 파악을 위해 X-RAY 사진을 살펴보면, 먼저 증상이 없는 오른쪽 발목은 발목관절의 내측 공간이 벌어지지 않았고, 아래 거골과 위쪽 경골 부분이 딱 맞아 보이고, 경골과 비골 사이에 겹치는 부분이 정상적으로 확인됩니다.


b1d6a7ed823268faf8290a31a2d8a8bb_1765958788_8325.jpg
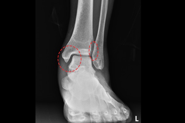
반면, 통증이 있는 왼쪽 발목은 내측 공간이 벌어져있는데, 이는 삼각인대가 파열됨을 의심할 수 있습니다. 또한 경골과 비골이 겹치는 공간도 우측 발목에 비해서 작아진 것이 확인됩니다. 경골과 비골이 겹치는 부분이 작아졌다는 것은 원위경비결합인대 부분이 손상된 것으로 확인됩니다.


b1d6a7ed823268faf8290a31a2d8a8bb_1765958800_3912.jpg
발목은 주로 바깥쪽에서 안쪽으로 접질리는 경우[내번]가 많습니다. 만약 발목을 접질릴 때 발이 안쪽에서 바깥쪽으로 크게 꺾이면[외번], 환자분과 같이 충격으로 인해 발목 내측의 삼각인대가 파열되고, 원위경비결합인대가 손상되어 벌어지게 되는 경우가 많습니다.


b1d6a7ed823268faf8290a31a2d8a8bb_1765958814_6256.jpg

이러한 충격은 위로 전달되어, 근위비골 골절이 함께 발생하는 경우도 흔히 나타납니다. 이렇게 근위 비골이 부러지는 것을 메종뇌브 골절(Maisonneuve Fracture)라 합니다. 환자분 역시 사진을 보시면 메종뇌브 골절이 동반된 것이 확인되어 발목 원위경비결합인대 및 삼각인대 손상, 메종뇌브 골절(Syndesmosis inj(distal T-Fibula) ankle Lt. Deltoid avulsion inj ankle Lt. Fx.prox.fibula knee Lt.(Maisonneuve Fracture))을 진단하였습니다.

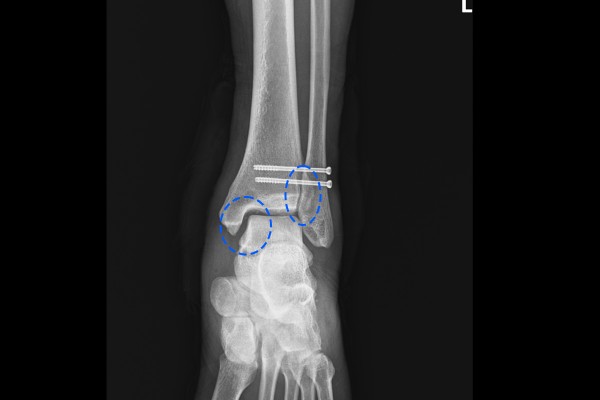
환자분께 현재 상태와 수술적 치료의 필요성, 수술의 방향성을 설명드리고, 수술적 치료인 발목 원위경비결합인대 고정술 및 삼각인대 봉합술(ORIF cannulated screw for syndesmosis injury ankle Lt. Deltoid repair ankle Lt.)을 내원 다음날 바로 시행하였습니다.

치료의 목표는 벌어진 내측 삼각인대를 봉합하고, 벌어진 원위경비결합인대를 인대가 늘어나지 않고 잘 붙을 수 있도록 스크류로 고정하는 것 입니다.(근위비골 골절, 메종뇌브 골절 부분은 대부분 수술 없이 잘 회복됩니다.)


b1d6a7ed823268faf8290a31a2d8a8bb_1765958829_3038.jpg
실시간 X-RAY인 C-ARM을 통해 확인하면서 수술을 진행합니다. 벌어진 경골과 비골을 클램프로 조여준 다음에, 원위경비결합인대가 잘 회복될 수 있도록 스크류 고정을 진행합니다.


b1d6a7ed823268faf8290a31a2d8a8bb_1765958851_1411.jpg
내측 삼각인대의 경우 최소 절개방식으로 봉합을 진행합니다. 먼저 수술실에서 파열된 삼각인대가 확인되고,


b1d6a7ed823268faf8290a31a2d8a8bb_1765958865_0135.jpg
이후 잘 봉합된 삼각인대를 확인할 수 있습니다.


b1d6a7ed823268faf8290a31a2d8a8bb_1765958875_2158.jpg
수술 후 재활과정으로는 4주간은 반깁스를 착용한 후 체중부하를 금해야합니다. 원위경비결합인대 고정을 위한 스크류를 제거하지 않고 보행을 할 경우, 스크류가 중간에서 부러질 수 있기 때문에, 반드시 수술 4주 후 스크류를 제거하고서 보행을 시작해야 합니다.(원위경비결합인대의 경우 약 4주의 시간만으로도 잘 회복됩니다.)


https://cafe.naver.com/loveshoulder/86602


환자분께서는 4주차에 스크류를 제거하고서 보행을 시작하셨습니다. 6주차에 내원해주셨을 때는 제자리 뛰기, 점프가 가능할 정도로 완전히 회복 되셔서 치료를 종결하였고, 학교 현장에서 아이들을 가르치고 계십니다.

너무나 감사하게도 환자분께서 족부카페에 정성스러운 후기를 남겨주셔서 제 블로그에 링크를 첨부하오니, 자세한 수술후기 및 재활과정이 궁금하신 분들께서는 확인해보셔도 좋을 것 같습니다.(다시 한 번 정성스러운 글 작성해주셔서 감사합니다^^)

원위경비결합인대는 진단자체가 쉽지 않은 질환입니다. 따라서 발목에 통증 등 증상이 있다면, 발과 발목에 대한 해부학적 이해도가 높고 경험이 많은, 족부를 전공한 족부전문의를 찾아 정확한 진단과 치료를 통해 건강한 발걸음을 되찾기를 바랍니다.

댓글목록

등록된 댓글이 없습니다.

car

경기도 의정부시 평화로 389 2층~8층

subway
회룡역 2번 출구 회룡역 3,5번 출구
bus
36, 39, 5, 56, 7, 72, 72-3, 118, 5 203, 230-1, 206-1, 203-2
walk

식자재 왕 도매마트 건너편


경기도 의정부시 평화로 389 2층~8층
상호명 : 연세베스트병원 ㅣ 사업자 번호 : 264-99-01344 ㅣ 대표자 : 장철영
COPYRIGHT(C) YONSEI BEST HOSPITAL. ALL RIGHTS RESERVED.

logo

  • bottomicon

    031.874.0119

  • bottomicon

    평 일- 09:00 ~ 18:00
    토 요 일- 09:00 ~ 13:00
    점심시간- 13:00 ~ 14:00