HOSPITAL INTRODUCE

병원소개

발,발목 [리스프랑 인대 손상] 발 중족골 탈구 및 리스프랑 인대 복원술

페이지 정보

작성자최고관리자 댓글 0건 조회 61회 작성일 25-12-17 17:31

본문

44세 남성 환자분께서 우측 발등 통증으로 내원해주셨습니다. 환자분께서는 내원 3일 전에 축구를 하다가 넘어지며 다치셨다고 말씀하셨으며, 집 근처 병원을 들리셨을 때 인대가 찢어졌다는 소견을 듣고서, 치료를 위해 검색을 해보시다가 저희 병원에 오시게 되었다 말씀하셨습니다. 


b1d6a7ed823268faf8290a31a2d8a8bb_1765960246_9802.jpg
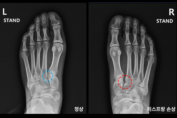
신체검진상 발등과 발바닥쪽에 피멍이 들어있음을 확인하였고, X-RAY 사진을 확인했을 때 정상적인 간격의 좌측 발에 비해 우측 발은 내측 설상골(쐐기골)과 제2 중족골 기저부(뿌리부) 사이가 벌어져 있는 것을 확인하였습니다.


b1d6a7ed823268faf8290a31a2d8a8bb_1765960257_8364.jpg

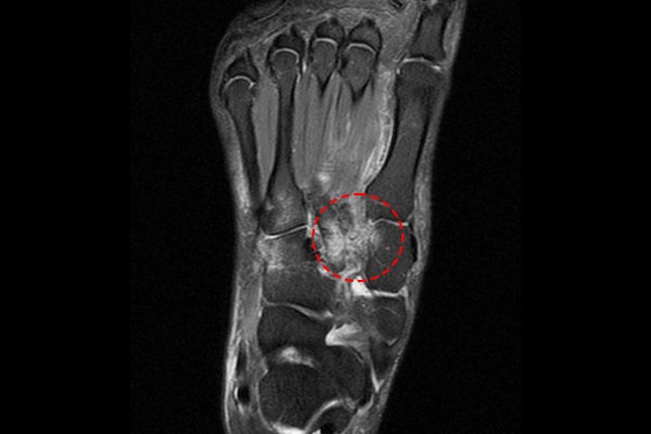
환자분의 자세한 발 상태 확인을 위한 MRI 검사 결과, 리스프랑 관절부 인대가 손상되어 까맣게 보여야할 인대가 보이지 않고, 하얀 신호변화만이 확인됩니다. 신체검진, X-RAY, MRI 검사 결과를 종합하여 우측 발 리스프랑 인대 손상(내측 쐐기골-제2 중족골간 인대) 파열(Lisfranc ligament injury foot Rt)을 진단하였습니다.

환자분께 현재 발 상태와 수술적 치료의 필요성, 치료 방향을 자세히 설명드렸고, 수술적 치료인 발 중족골 탈구 및 리스프랑 인대 복원술(ORIF c cannul screw for Lisfranc ligament fixation)을 시행하였습니다.

수술은 스크류를 이용하여 인대가 손상되어 벌어진 내측 쐐기골과 제2 중족골 사이를 고정시켜줍니다.


b1d6a7ed823268faf8290a31a2d8a8bb_1765960268_6063.jpg

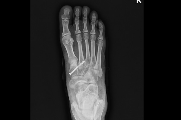
수술 후 X-RAY 사진을 보시면 인대가 있어야 할 방향으로 스크류가 들어가 잘 고정되어 있음이 확인됩니다.

수술이 잘 마무리 되었고, 보행은 수술 후 반깁스 착용 후 발 앞쪽부위를 제외한 뒷꿈치로 바로 가능합니다.(앞쪽에 힘을 주게 되면 스크류가 부러질 위험이 있기 때문에 제거 전까지는 조심해야 합니다.) 수술 후 4~6주간은 반깁스를 착용하고서 조심해주시다가, 4주에서 6주가 지난 시점에 스크류를 제거하고 나면 발을 다 디디고 걷는 것이 가능합니다.


b1d6a7ed823268faf8290a31a2d8a8bb_1765960277_2284.jpg

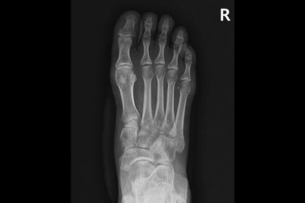
4~6주가 지난 시점에서 스크류를 제거한 X-RAY 사진입니다. 스크류를 제거했음에도 벌어짐 없이 잘 고정되어 있는 것이 확인됩니다. 이후 환자분께서는 수술 후 3개월이 지난 시점에서 내원해주셨고, 통증 등 증상이 아예 없고, 현재 운동도 복귀하여 축구, 수영 등 모든 활동을 하고 계시다며, 매우 만족해하셨습니다.

발 리스프랑 인대 손상은 운동을 하다가 접질림 혹은 밟힘, 자동차에 깔리거나 하면서 발생하는 질환으로 진단 자체가 어렵습니다. 따라서 통증 없는 건강한 발걸음을 되찾기 위해서는 발에 대한 해부학적 이해도와 경험이 많은 족부전문의를 찾아 올바른 진단과 정확한 치료를 받을 것을 권유드립니다.

댓글목록

등록된 댓글이 없습니다.

car

경기도 의정부시 평화로 389 2층~8층

subway
회룡역 2번 출구 회룡역 3,5번 출구
bus
36, 39, 5, 56, 7, 72, 72-3, 118, 5 203, 230-1, 206-1, 203-2
walk

식자재 왕 도매마트 건너편


경기도 의정부시 평화로 389 2층~8층
상호명 : 연세베스트병원 ㅣ 사업자 번호 : 264-99-01344 ㅣ 대표자 : 장철영
COPYRIGHT(C) YONSEI BEST HOSPITAL. ALL RIGHTS RESERVED.

logo

  • bottomicon

    031.874.0119

  • bottomicon

    평 일- 09:00 ~ 18:00
    토 요 일- 09:00 ~ 13:00
    점심시간- 13:00 ~ 14:00