HOSPITAL INTRODUCE

병원소개

발,발목 [발목 신경초종(슈반종, 신경집종)] 발목 비골신경 신경초종[슈반종, 신경집종] 절제 및 생검술

페이지 정보

작성자최고관리자 댓글 0건 조회 42회 작성일 25-12-17 17:43

본문

29세 여성환자분께서 좌측 발목 통증 및 저림, 종괴가 만져지는 증상으로 내원해주셨습니다. 환자분께서 말씀하시기를 10년 전 계단에서 접질린 후 통증이 지속되었고, 근처 병원에서 충격파 치료 20회 이상, 주사치료 등 보존적 치료에 증상이 호전되지 않아서 족부를 전공한 전문의를 찾아오셨다고 하셨습니다.(정확한 진단을 받지 못 한 환자분께서는 걱정과 답답함을 호소하셨습니다.) 

증상이 있는 부위를 만져봤을 때 복숭아뼈 바깥쪽 끝에서 위쪽으로 7~10cm 정도 되는 위치에서 2x2cm 정도의 종괴가 만져졌고, 종괴를 손으로 톡톡 쳤을 때 저림이 발쪽으로 뻗치는 증상을 확인하는 검사인 틴넬 징후(Tinel's sign)에서 양성반응이 확인되었습니다.


b1d6a7ed823268faf8290a31a2d8a8bb_1765960542_0688.jpg
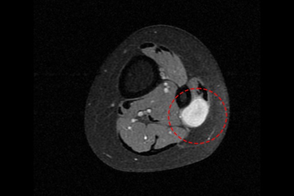
환자분의 증상과 촉진, 이학적 검사 결과를 보았을 때 신경에 종양이 생긴것을 의심하게 되었고, 정확한 확인을 위해 조영제를 사용한 MRI 검사를 진행하였습니다. MRI 검사 결과, 비골신경이라고 하는 발쪽으로 가는 피부 감각신경에 종양이 생긴 것이 확인되었습니다.


b1d6a7ed823268faf8290a31a2d8a8bb_1765960554_9333.jpg
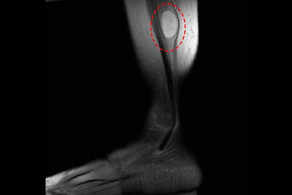
측면에서도 역시 종양이 확인되었고,


b1d6a7ed823268faf8290a31a2d8a8bb_1765960565_5408.jpg

단면에서도 신호변화를 확인하여, 좌측 발목 비골신경 신경초종[슈반종, 신경집종](Lt. ankle peroneal nerve Schwannoma[neurilemmoma])을 진단하였습니다.

신경초종(슈반종, 신경집종)이란 신경을 둘러싸고 있는 막에 양성종양이 생겨서 신경을 누르는 질환으로, 신경 겉 껍질을 잘 열고 들어가서 종양을 제거하면 눌리는 신경이 풀리기 때문에 비교적 결과가 좋은 질환입니다.

환자분께 신경초종(슈반종, 신경집종)이라는 질환과 수술적 치료의 필요성을 설명드렸고, 수술적 치료인 좌측 발목 비골신경 신경초종[슈반종, 신경집종] 절제 및 생검술(Lt. ankle peroneal nerve Schwannoma[neurilemmoma] excision & biopsy)을 시행하였습니다.


b1d6a7ed823268faf8290a31a2d8a8bb_1765960576_0592.jpg
수술실에서 신경초종이 확인됩니다.


b1d6a7ed823268faf8290a31a2d8a8bb_1765960586_0547.jpg

제거된 신경초종을 확인할 수 있습니다.

이후 제거된 조직을 조직검사 보냈을 때, 신경초종(슈반종, 신경집종) 진단을 받았고, 환자분께도 신경초종 확진임을 알려드렸습니다.

환자분께서는 수술 다음날부터 바로 수술 전 저림 및 불편감이 100이었다면 0으로 아무런 증상이 없다고 하셨습니다. 수술 후 보행 등 발목 사용에 아무런 제약도 없으며, 약 2주간 상처부위에 물이나 더러운 것만 닿지않게 조심해주시면 됩니다.

2주 뒤 내원해주셨을 때, 실밥을 제거하였고, 이후 환자분께서는 내원하지 않고 계십니다.(만약 이 글을 보신다면 경과 관찰을 위해 한 번 내원해주시면 감사하겠습니다^^)

댓글목록

등록된 댓글이 없습니다.

car

경기도 의정부시 평화로 389 2층~8층

subway
회룡역 2번 출구 회룡역 3,5번 출구
bus
36, 39, 5, 56, 7, 72, 72-3, 118, 5 203, 230-1, 206-1, 203-2
walk

식자재 왕 도매마트 건너편


경기도 의정부시 평화로 389 2층~8층
상호명 : 연세베스트병원 ㅣ 사업자 번호 : 264-99-01344 ㅣ 대표자 : 장철영
COPYRIGHT(C) YONSEI BEST HOSPITAL. ALL RIGHTS RESERVED.

logo

  • bottomicon

    031.874.0119

  • bottomicon

    평 일- 09:00 ~ 18:00
    토 요 일- 09:00 ~ 13:00
    점심시간- 13:00 ~ 14:00