HOSPITAL INTRODUCE

병원소개

발,발목 [발 결절종] 결절종 제거 및 뿌리봉합술

페이지 정보

작성자최고관리자 댓글 0건 조회 107회 작성일 25-12-17 17:52

본문

오늘은 주로 손목, 손등, 발목, 발등 등에 발생하는 물혹인 결절종 수술사례를 알아보겠습니다.(간혹 결절종이 발생했을 때 종양이 아닌지 걱정하시는 분들이 많은데, 결절종은 종양이 아닌 관절액이 흘러나와 젤리같이 고인 물주머니입니다.) 

69세 여성 환자분께서 발등 물혹으로 내원해주셨습니다. 발등에 물혹이 생긴지는 약 5년 정도 되었다 하셨는데, 특이사항으로 약 8년 전에 동일 부위에 발등 물혹, 결절종을 제거한 적이 있던 환자분이셨습니다. 재발한 결절종의 크기가 커져 불편함에 제거를 희망하셨고, 한 번 재발된 경험이 있으셔서 확실한 제거를 위하여 족부를 전공한 족부전문의를 찾아 오셨다고 말씀하셨습니다.


b1d6a7ed823268faf8290a31a2d8a8bb_1765961115_3694.jpg
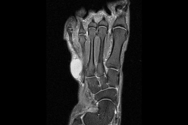
자세한 확인을 위해 MRI 촬영을 진행하였고, MRI에서 하얗게 보이는 물혹이 확인되었습니다.


b1d6a7ed823268faf8290a31a2d8a8bb_1765961125_3817.jpg

측면에서 확인했을 때 역시 확연히 보이는 물혹이 확인되어 우측 발 결절종(Ganglion foot dorsum)을 진단하였습니다.

환자분께 MRI 사진을 보여드리며, 현재 발등 물혹, 결절종 상태를 설명드렸고, 수술적 치료인 발등 결절종 제거 및 뿌리봉합술(Foot ganglion excision & biopsy)을 시행하였습니다.

수술은 발등 부위에 있는 결절종을 제거하고서, 관절액이 흘러나오는 뿌리부를 봉합하며 마치게 됩니다.

환자분께서는 수술 다음날부터 보행을 시작하셨고, 무리하게 발목을 돌리면서 꺾는것만 2주 정도 조심해주시면 별다른 재활과정은 필요하지 않습니다.(상처부위에 물이나 더러운 것도 2주간 조심해주시길 바랍니다.) 현재 6주가 지난 시점에서 내원해주셨을 때 아무런 문제가 없이 잘 회복되신 것을 확인하고, 치료를 종결하였습니다.

손목이나 손등, 발목, 발등에 물혹(결절종)이 발생했을 때 정보를 얻기 위해 검색을 해보면 주사흡입을 통해 결절종을 간단히 제거할 수 있다는 글이 많이 보입니다. 하지만 주사흡입을 통해 결절종을 제거하는 것은 근본적인 원인이 해결되지 않는 임시방편일뿐입니다.

결절종은 관절액이 흘러나오는 원인부분을 해결하지 않으면 밑 빠지 독에서 흘러나오는 물처럼 추후에 다시 관절액이 흘러나와 재발하기 때문에, 근본적인 원인을 해결하는 치료법으로 해결하시어 건강한 일상을 되찾기를 바랍니다.

댓글목록

등록된 댓글이 없습니다.

car

경기도 의정부시 평화로 389 2층~8층

subway
회룡역 2번 출구 회룡역 3,5번 출구
bus
36, 39, 5, 56, 7, 72, 72-3, 118, 5 203, 230-1, 206-1, 203-2
walk

식자재 왕 도매마트 건너편


경기도 의정부시 평화로 389 2층~8층
상호명 : 연세베스트병원 ㅣ 사업자 번호 : 264-99-01344 ㅣ 대표자 : 장철영
COPYRIGHT(C) YONSEI BEST HOSPITAL. ALL RIGHTS RESERVED.

logo

  • bottomicon

    031.874.0119

  • bottomicon

    평 일- 09:00 ~ 18:00
    토 요 일- 09:00 ~ 13:00
    점심시간- 13:00 ~ 14:00