무릎,고관절 [무릎 퇴행성관절염] 환자 맞춤형 인공관절(PSI)
페이지 정보
작성자최고관리자 댓글 0건 조회 36회 작성일 25-12-18 17:33본문
75세 여성 환자분께서 5년간 지속된 무릎 통증으로 내원해주셨습니다. 환자분께서는 원래 다른 병원에서 인공관절 수술계획을 잡고 시행할 예정이었으나, 주변 지인분께서 제가 무릎 인공관절 수술을 잘한다고 알려주셔서 기존에 잡혀있던 수술을 취소하시고 저희 병원을 찾아오셨습니다.(저를 소개해주신 지인분도, 저를 믿고 찾아와주신 환자분께도 감사합니다^^)
![]()
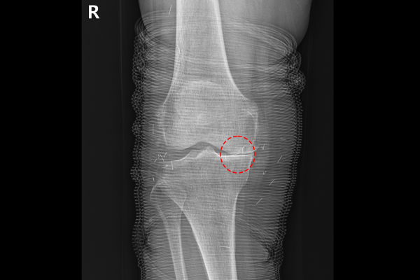
환자분의 무릎 상태를 자세히 파악하기 위해서 X-RAY 촬영을 진행하였고, 검사 결과, 우측 무릎 연골이 닳아서 안쪽이 달라 붙은 것이 확인되었습니다.
![]()
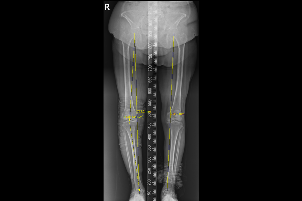
다리 정렬을 확인하기 위해서 반듯하게 서서 촬영하는 검사인 스캐노그램(Scanogram)을 시행했을 때, 다리 정렬이 정상범위인 5도 이내를 넘어선 11도로 O다리 변형되었음을 확인하였습니다.
마지막으로 MRI 검사를 시행하였을 때, 무릎 연골 표면이 마치 고추가루 뿌린 것 처럼 손상되어 있는 것을 확인하여,무릎 퇴행성 관절염(Osteoarthritis knee)4기를 진단하였습니다.(3D 프린팅 인공관절 기구 제작을 위해서도 MRI 혹은 CT 사진이 필요합니다.)
환자분께 현재 무릎 관절 및 다리 정렬 상태와 함께 수술적 치료의 필요성을 설명 드렸습니다.(인공관절이라는 비교적 큰 수술에 대한 걱정이 있으셨던 환자분께 수술을 시행하기 전, 어떤 방식으로 진행되는지, 과거와는 다르게 어떤 점이 좋아졌는지 등을 자세히 설명드렸습니다.)

수술은 환자 맞춤형 인공관절 전치환술(PSI [Patient Specific Instrument] total knee arthroplasty)을 시행하였습니다. (환자 맞춤형 인공관절은 3D 이미지 스캐닝(환자분 MRI or CT)을 통한 맞춤형 인공관절 기구 제작 및 해부학적 절삭 각도와 범위를 미리 측정하여 진행하는 만큼 오차 없이 빠르고 정확한 수술의 진행이 가능합니다. 또한 로봇 수술처럼 고가의 추가비용이 발생하지 않기 때문에 수술의 정확도와 함께 경제적인 부분에서도 환자 맞춤형이라 할 수 있습니다.)
![]()
수술실에서 촬영한 사진을 보면, 넓은 면적의 무릎 연골이 닳아 없어진 것을 확인할 수 있습니다.
![]()
수술이 잘 마무리 되었고, 수술 후 X-RAY를 보면 환자분 무릎 관절에 딱 맞게 잘 치환된 것을 알 수 있습니다.
![]()
측면에서 확인했을 때 역시, 잘 치환되었음이 확인됩니다.
수술 전 O다리 변형이었던 다리 정렬도 올바르게 잘 교정 되었음이 확인됩니다.
환자분께서는 수술 다음날부터 바로 보행연습을 시작하셨습니다.(생각보다 빠르게 보행연습을 할 수 있다는 사실에 놀라셨습니다.) 무릎을 구부렸다 폈다 하는 각도 운동은 5~7일 후 시작하실 예정이며, 2주 정도가 지나면 무릎을 전부 꺾는 것이 가능해집니다.
댓글목록
등록된 댓글이 없습니다.
031-874-0119