HOSPITAL INTRODUCE

병원소개

무릎,고관절 [오다리(휜다리) 변형] 무릎 오다리 교정술[근위경골 절골술]

페이지 정보

작성자최고관리자 댓글 0건 조회 36회 작성일 25-12-19 15:42

본문

62세 남성 환자분께서 우측 무릎 통증으로 내원해주셨습니다. 무릎에 통증이 발생한지는 약 2년 정도 되었다고 말씀하시며, 2년간 꾸준히 동네 다른 병원에 다니시며 무릎 주사 치료를 받았다고 하셨습니다. 하지만 증상이 호전되지 않아 정밀검사와 근본적인 치료를 위해 저희 병원을 찾아오시게 되었다 말씀하셨습니다.(현재 무릎 안쪽이 많이 불편하다고 하셨습니다.) 


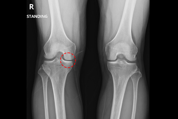
b6b0bee6b3583894ae83dd171b125b66_1766126497_5442.png
환자분의 무릎 상태를 자세히 파악하기 위해 X-RAY 사진을 확인했을 때, 무릎 안쪽 관절이 닳아서 바깥쪽에 비해 많이 좁아져 있는 3기 정도의 무릎 퇴행성 관절염이 확인되었습니다.


b6b0bee6b3583894ae83dd171b125b66_1766126510_4692.png
다리 전체 정렬을 확인하는 검사인 Scanogram 촬영 사진을 보시면, 오른쪽 다리 각도가 정상범위인 5도 이내를 벗어난 8.1도로 오다리 변형이 확인되었습니다.


b6b0bee6b3583894ae83dd171b125b66_1766126520_1673.png

더욱 자세한 결과를 얻기 위해 MRI 촬영을 진행했을 때, 무릎 안쪽 연골이 손상되어 하얗게 신호변화가 확인되었고,우측 무릎 오다리 변형(Rt. knee varus malalignment)을 진단하였습니다.

환자분의 경우 내측 구획 관절염을 동반한 오다리 변형이며, 오랜 기간의 주사치료에도 증상이 호전되지 않았기 때문에 수술적 치료를 통한 근본적인 해결이 필요한 상태였습니다. 이를 환자분께 검사 결과를 보여드리며 설명 드린 후 수술적 치료인 무릎 오다리 교정술[근위 경골 절골술](High tibial osteotomy[HTO])을 시행하였습니다.

근위 경골 절골술은 오다리 변형되어 무릎 안쪽에 집중된 체중축을 바깥쪽으로 분산시켜 통증을 줄이고, 본인의 관절을 오래 사용할 수 있게 해주는 교정 수술입니다. 마치 타이어를 오래 사용하여 편마모가 생겼을 때 위치 교환을 하는 것과 같습니다.


b6b0bee6b3583894ae83dd171b125b66_1766126531_8024.png
내시경 사진을 보시면 무릎 관절 연골이 심하게 손상된 것이 확인됩니다.


b6b0bee6b3583894ae83dd171b125b66_1766126540_3824.png
손상된 연골부분에 구멍을 뚫어 골수액, 골진이 나오게 하여 연골의 재생을 촉진하는 미세천공술을 시행합니다.


b6b0bee6b3583894ae83dd171b125b66_1766126550_2492.png
이후 실시간 X-RAY인 C-ARM을 이용하여 절골을 시행할 정확한 위치에 임시로 핀을 박은 후 절골합니다.


b6b0bee6b3583894ae83dd171b125b66_1766126561_1826.png
이후 스페이서(Spacer)를 삽입하여 다리 각도 교정과 함께 공간을 확보하고, 금속판으로 고정하며 수술을 마칩니다.


b6b0bee6b3583894ae83dd171b125b66_1766126571_3419.png

수술은 성공적으로 마치게 되었고, 수술 후 X-RAY를 보면, 기존에 안쪽에 있던 체중선이 중간에서 살짝 바깥쪽으로 잘 이전되었고, 다리축이 일자로 교정되었음이 확인됩니다.

재활과정으로는 수술 다음날 까치발로 체중의 10프로만 디디는 부분 체중부하가 가능합니다. 다만 시간적 여유가 된다면 2주~4주간은 아예 디디지 않는 것이 제일 좋습니다. 6~8주가 지난 시점에서는 전체중 부하가 가능합니다.

환자분께서는 현재 수술 후 3개월 시점으로 현장일을 하고 계시는데, 아무런 무리가 없고, 무릎 불편감은 수술 전 100이었다면 현재 10미만으로 매우 만족해하고 계십니다. 이후 시간이 지나면 더욱 더 좋아질 것으로 좋은 예후가 기대가 됩니다.

댓글목록

등록된 댓글이 없습니다.

car

경기도 의정부시 평화로 389 2층~8층

subway
회룡역 2번 출구 회룡역 3,5번 출구
bus
36, 39, 5, 56, 7, 72, 72-3, 118, 5 203, 230-1, 206-1, 203-2
walk

식자재 왕 도매마트 건너편


경기도 의정부시 평화로 389 2층~8층
상호명 : 연세베스트병원 ㅣ 사업자 번호 : 264-99-01344 ㅣ 대표자 : 장철영
COPYRIGHT(C) YONSEI BEST HOSPITAL. ALL RIGHTS RESERVED.

logo

  • bottomicon

    031.874.0119

  • bottomicon

    평 일- 09:00 ~ 18:00
    토 요 일- 09:00 ~ 13:00
    점심시간- 13:00 ~ 14:00