HOSPITAL INTRODUCE

병원소개

무릎,고관절 [무릎 반월상 연골판 뿌리(후각부) 파열] 반월상 연골판 봉합술 및 재부착술

페이지 정보

작성자최고관리자 댓글 0건 조회 54회 작성일 25-12-19 16:36

본문

경기도 포천에 거주중이신 54세 여성 환자분께서 무릎 통증으로 내원해주셨습니다. 내원 2주전 계단을 내려오다가 무릎에서 '뚝' 하는 소리와 함께 주저 앉게 되며 보행에 어려움을 겪으셨고, 통증이 지속되어 저희 병원을 내원해주셨다고 말씀하셨습니다. 


b6b0bee6b3583894ae83dd171b125b66_1766129746_9511.png

환자분의 무릎 관절 상태를 자세히 파악하기 위해 MRI 촬영을 진행하였고, 촬영 결과 원래는 까맣게 연결되어 있어야할 반월상연골판이 파열되어 원래위치에서 보이지 않고 찢어져있는 것이 확인되어, 무릎 반월상연골판 뿌리(후각부) 파열(Medial menisucs Root tear knee Rt.)을 진단하였습니다.

환자분께 상황을 설명드리고 수술적 치료인 무릎 반월상연골판 뿌리(후각부) 봉합술 및 재부착술(Medial menisucs Root repair c bone tunnel)로 치료를 진행하였습니다.


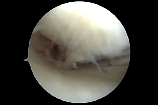
b6b0bee6b3583894ae83dd171b125b66_1766129756_9281.png
무릎 내시경(관절내시경) 사진에서 수술도구로 들췄을 때 빈 공간이 있는 것이 확인됩니다.


b6b0bee6b3583894ae83dd171b125b66_1766129767_224.png
또한 무릎 관절 연골의 손상도 확인되었고,


b6b0bee6b3583894ae83dd171b125b66_1766129779_6913.png
아래뼈에 터널을 뚫고


b6b0bee6b3583894ae83dd171b125b66_1766129790_3074.png

반월상연골판을 실로 2바늘 뜨고 실을 터널로 통과시킨 후 당기면 들뜬 반월상연골판이 바닥으로 가서 붙게 됩니다.

환자분은 수술 후 뒷꿈치를 들고 까치발로 체중의 20~30%만 실으며 바로 보행을 시작하셨고, 무릎을 구부렸다 폈다하는 동작은 3~4주 후에 시행할 예정입니다.

반월상연골판이 파열되면 무릎의 충격흡수가 어려워지기 때문에 결국 관절 표면이 상하는 관절염으로 진행되고, 무릎을 받쳐주지 못 하기 때문에 무릎이 O자 변형되기 시작하여, 방치하게 된다면 결국 오다리 변형까지 올 수 있어 수술이 커지게 됩니다.

그렇기 때문에 무릎에서 '뚝'하는 느낌이나 소리를 듣거나, 오금쪽이 아프다면 무릎을 따로 전공한 정형외과 전문의를 찾아 정확한 진료 및 치료를 받으시기를 바랍니다.

(70~80대 어르신들도 파열된 반월상연골판을 안전하게 봉합 가능합니다.)

댓글목록

등록된 댓글이 없습니다.

car

경기도 의정부시 평화로 389 2층~8층

subway
회룡역 2번 출구 회룡역 3,5번 출구
bus
36, 39, 5, 56, 7, 72, 72-3, 118, 5 203, 230-1, 206-1, 203-2
walk

식자재 왕 도매마트 건너편


경기도 의정부시 평화로 389 2층~8층
상호명 : 연세베스트병원 ㅣ 사업자 번호 : 264-99-01344 ㅣ 대표자 : 장철영
COPYRIGHT(C) YONSEI BEST HOSPITAL. ALL RIGHTS RESERVED.

logo

  • bottomicon

    031.874.0119

  • bottomicon

    평 일- 09:00 ~ 18:00
    토 요 일- 09:00 ~ 13:00
    점심시간- 13:00 ~ 14:00