HOSPITAL INTRODUCE

병원소개

무릎,고관절 [후방십자인대 파열] 관절경하 후방십자인대 재건술

페이지 정보

작성자최고관리자 댓글 0건 조회 27회 작성일 25-12-19 17:20

본문

57세 남성 환자분께서 우측 무릎 통증으로 내원해주셨습니다. 환자분께서는 내원 전날에 계단에서 넘어지며 무릎을 삐끗하셨는데, 이 때 무릎이 뒤틀리며 뚝 하는 소리가 났다고 말씀하셨습니다. 신체진찰을 했을 때 무릎이 많이 부어있었고, 전후방으로 흔들림이 많았기 때문에 전방,후방십자인대 손상을 의심하였습니다. 


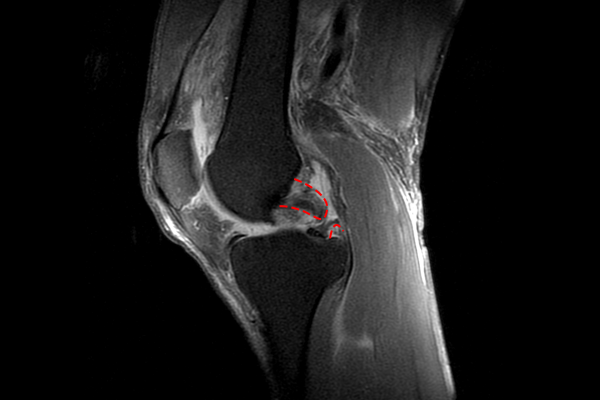
b6b0bee6b3583894ae83dd171b125b66_1766132345_9533.png

정확한 무릎 상태를 파악하기 위해서 촬영한 MRI 결과, 후방십자인대가 파열된 것이 확인되어 무릎 후방십자인대 파열(Posterior cruciate ligament rupture knee)을 진단하였습니다.

환자분께 현재 후방십자인대 파열 정도가 심하기 때문에 수술적 치료가 필요하다는 사실과 수술의 방향성을 설명드리고, 최소침습 관절경하 후방십자인대 재건술(A/S Posterior cruciate lagament[PCL] reconstruction)을 시행하였습니다.


b6b0bee6b3583894ae83dd171b125b66_1766132355_3074.png
무릎의 뒤쪽에서 확인할 때의 내시경 사진입니다. 후방십자인대가 파열되어 보이지 않고 잔해만 남아있는 것이 확인됩니다.


b6b0bee6b3583894ae83dd171b125b66_1766132367_7404.png
뼛조각도 같이 떨어져 나온 것이 확인되어, 뼛조각을 제거해줍니다.


b6b0bee6b3583894ae83dd171b125b66_1766132379_977.png
파열된 후방십자인대 재건을 위해 가이드를 삽입합니다.


b6b0bee6b3583894ae83dd171b125b66_1766132390_5617.png
후방십자인대를 재건할 길을 따라서 실을 잡아 올릴 수 있도록 가이드 와이어를 삽입합니다.


b6b0bee6b3583894ae83dd171b125b66_1766132399_2763.png
무릎의 앞쪽에서 확인했을 때 재건될 후방십자인대 위치에 가이드 와이어가 있는 것을 확인하고서


b6b0bee6b3583894ae83dd171b125b66_1766132409_6546.png
가이드 와이어에 실을 연결하여 재건한 인대를 올려줍니다.


b6b0bee6b3583894ae83dd171b125b66_1766132422_8143.png

최종적으로 잘 재건된 십자인대를 확인할 수 있습니다.

내시경을 이용한 십자인대 재건술을 받으신 환자분들의 경우, 수술 다음날 바로 보행이 가능합니다. 특별한 제약 없이 후방십자인대 보조기만 2~3달 착용해주시면 큰 무리 없이 회복이 가능합니다.

환자분께서는 현재 3개월이 지난 시점인데, 무릎 재활이 잘 되어 각도도 잘 나오고 통증 및 불안정감 등 증상이 아예 없으신지 병원에 내원하지 않고 계십니다. 만약 이 블로그 글을 보시게 된다면 한 번 병원을 내원해주시면 감사하겠습니다.^^

댓글목록

등록된 댓글이 없습니다.

car

경기도 의정부시 평화로 389 2층~8층

subway
회룡역 2번 출구 회룡역 3,5번 출구
bus
36, 39, 5, 56, 7, 72, 72-3, 118, 5 203, 230-1, 206-1, 203-2
walk

식자재 왕 도매마트 건너편


경기도 의정부시 평화로 389 2층~8층
상호명 : 연세베스트병원 ㅣ 사업자 번호 : 264-99-01344 ㅣ 대표자 : 장철영
COPYRIGHT(C) YONSEI BEST HOSPITAL. ALL RIGHTS RESERVED.

logo

  • bottomicon

    031.874.0119

  • bottomicon

    평 일- 09:00 ~ 18:00
    토 요 일- 09:00 ~ 13:00
    점심시간- 13:00 ~ 14:00