HOSPITAL INTRODUCE

병원소개

무릎,고관절 [무릎 슬개골 골절] 슬개골 최소침습 골절 고정술

페이지 정보

작성자최고관리자 댓글 0건 조회 25회 작성일 25-12-24 17:17

본문

양주 옥정에 거주중이신 43세 남성 환자분께서 우측 무릎뼈(슬개골) 골절로 내원해주셨습니다. 환자분께서는 미끄러지면서 무릎이 직접적으로 바닥에 찍혔고, 근처 타병원에서 X-RAY상 골절 소견 및 관절내에 피가 차있다는 진단을 받았다 하시면서 수술이 가능한 병원을 찾아오셨다 하셨습니다. 


9f695db682e5f1ea0b431dfdec73e7ff_1766564231_1886.jpg
환자분의 상태를 자세히 확인하기 위해 X-RAY와 MRI를 촬영하였습니다. X-RAY 촬영 결과 슬개골에 골절선 2개가 확인됩니다.


9f695db682e5f1ea0b431dfdec73e7ff_1766564241_3382.jpg
MRI 촬영 결과를 보면 2개의 골절선으로 인하여 슬개골이 3조각으로 나뉜 것이 확인됩니다.


9f695db682e5f1ea0b431dfdec73e7ff_1766564253_1803.jpg

측면에서 확인해봐도 동일하며 우측 무릎뼈 (슬개골) 골절(Fx. patella knee Rt.3)으로 진단하였습니다.

환자분께 X-RAY와 MRI를 보여드리며 상태를 설명드리고 수술을 진행하기로 하였습니다. 수술은 긴절개를 하지 않는 우측 슬개골 최소침습 골절고정술(Minimally invasive ORIF c screw)로 진행하였습니다.


9f695db682e5f1ea0b431dfdec73e7ff_1766564263_5761.jpg
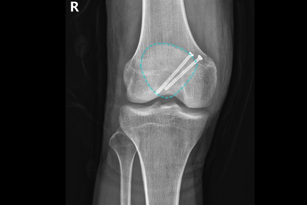
수술 후 X-RAY를 보면 스크류가 슬개골 끝까지 부러진 부분을 잘 잡아주고 있는 것이 확인됩니다.


9f695db682e5f1ea0b431dfdec73e7ff_1766564272_5118.jpg

측면에서 봐도 골절선을 가로질러 잘 고정되어 있습니다.

환자분은 수술 다음날 바로 보행이 가능하였고, 무릎을 구부렸다 폈다는 1주에서 2주사이에 시작할 예정입니다. 무릎 관절은 팔꿈치 관절과 더불어 깁스고정만 하면 잘 굳기 때문에 강하게 고정한 후 빠른 재활치료를 해야만 수술 후 강직(굳음)과 같은 후유증이 적습니다.

댓글목록

등록된 댓글이 없습니다.

car

경기도 의정부시 평화로 389 2층~8층

subway
회룡역 2번 출구 회룡역 3,5번 출구
bus
36, 39, 5, 56, 7, 72, 72-3, 118, 5 203, 230-1, 206-1, 203-2
walk

식자재 왕 도매마트 건너편


경기도 의정부시 평화로 389 2층~8층
상호명 : 연세베스트병원 ㅣ 사업자 번호 : 264-99-01344 ㅣ 대표자 : 장철영
COPYRIGHT(C) YONSEI BEST HOSPITAL. ALL RIGHTS RESERVED.

logo

  • bottomicon

    031.874.0119

  • bottomicon

    평 일- 09:00 ~ 18:00
    토 요 일- 09:00 ~ 13:00
    점심시간- 13:00 ~ 14:00