HOSPITAL INTRODUCE

병원소개

발,발목 [거종(거골,종골)결합, 족근골융합] 거종결합 분리술

페이지 정보

작성자최고관리자 댓글 0건 조회 60회 작성일 25-12-17 16:47

본문

42세 여성 환자분께서 좌측 발, 발목 통증(뒤꿈치 통증, 발등 욱신거림)으로 내원해주셨습니다. 환자분께서는 어릴 때, 철문에 발이 끼인적이 있다고 말씀하셨는데, 질병의 원인으로 보기는 어렵다고 판단되었습니다. 특이사항으로 약 3~4년 전 타병원에서 복숭아뼈를 깎은 수술을 받으셨는데, 정확하게 어떤 수술인지는 환자분께서도 정확하게 기억나지 않는다고 말씀하셨습니다. 


b1d6a7ed823268faf8290a31a2d8a8bb_1765957586_012.jpg
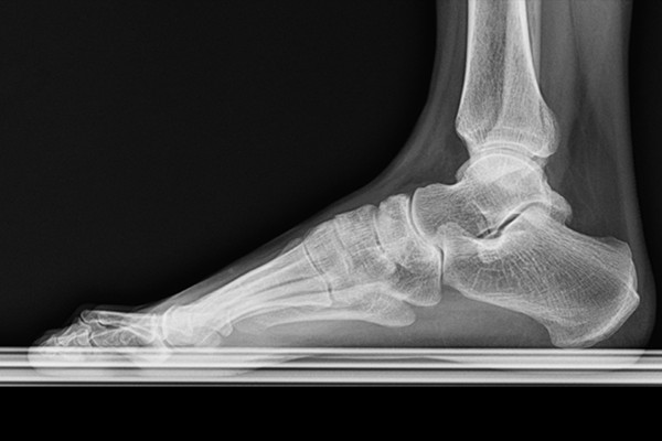
환자분의 발, 발목 상태를 파악하기 위해 X-RAY 검사를 시행하였습니다. 먼저 정상적인 우측발은 거골과 종골 사이 공간이 확인되는 반면,


b1d6a7ed823268faf8290a31a2d8a8bb_1765957629_8868.jpg
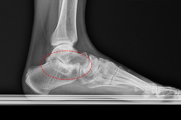
정상적인 우측 발에 비해 통증이 있는 좌측 발목은 거골하관절이 관절염이 온 것 처럼 좁아진 소견이 보였고, 정밀한 확인을 위해 CT검사를 추가로 시행하였습니다.


b1d6a7ed823268faf8290a31a2d8a8bb_1765957638_6368.jpg

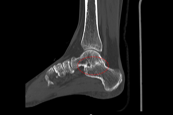
CT 검사 결과, 발목을 떠받치고 있는 거골과 발의 끝인 종골이 하나로 붙어있는 것이 확인되어 발 거종결합[거종유합,족근골융합](Talocalcaneal coalition)을 진단하였습니다.(거종결합의 증상은 발 내측 및 내측 복숭아뼈 아래쪽 통증이 흔하며, 심한분들은 바깥쪽 복숭아뼈 아래쪽으로 뒤꿈치가 아프다고 표현하십니다.)

거종결합이 확인되어, 환자분께서 말씀하셨던 복숭아뼈를 깎는 수술은 거종결합을 다시 2개의 뼈로 분리해주는 거골종골 분리술을 의도하고 시행하였던 수술로 추측됩니다. 다만 수술이 제대로 되지 않아 결합이 풀려있지 않았기 때문에 수술을 하고 나서도 3~4년 고생하고 계셨고, 저에게 발 중족골 골절 수술을 받으시고 좋은 결과로 건강한 일상을 되찾으셨던 환자분의 언니분께서 족부전문의인 저를 추천해주셔서 찾아오셨다 합니다.

약물, 물리치료로는 증상 호전이 없었기 때문에, 환자분과 상의 후 수술적 치료인 거종결합 분리술(Talocalcaneal coalition resection)을 시행하였습니다.


b1d6a7ed823268faf8290a31a2d8a8bb_1765957651_0476.jpg

의료용 망치와 정으로 결합된 거골과 종골을 분리해줍니다. 분리된 거골과 종골 사이에는 뼈 왁스를 발라서 다시 붙지 않게 하는데, 심한 경우에는 자가지방을 이식해서 넣기도 합니다. 환자분의 경우는 자가지방을 이식할 단계까지는 아니였기에 분리 후 뼈 왁스를 발라주고서, 수술 도구를 이용해 잘 분리된 것을 확인합니다.

거종결합 분리술을 받은 환자분들의 경우 수술 후 통증이 허락된다면 바로 걸을 수 있으나, 뼈를 분리시켜 놓는 수술이기 때문에 통증이 조금 남아있어 대부분 1주일 정도 지나고 보행을 시작하게 됩니다.(발목을 위아래로 꺾는 각도운동은 바로 시작 가능합니다.) 환자분은 수술 후 3주째에 수술전 통증 및 불편감이 100이었다면 5미만으로 떨어졌다고 하여 크게 만족해하셨고, 수술 후 약 2달이 지난시점에서도 5미만이라고 말씀하시며 현재 해외여행중이십니다.

발목 거종결합의 경우 진단자체가 쉽지 않기 때문에 발 내측 및 뒤꿈치가 아프고, 바깥쪽도 아프다면 거종결합을 의심하고 발과 발목에 대한 해부학적 이해도가 높은 족부전문의, 의학박사를 찾아 건강한 발걸음을 되찾기를 바랍니다.

댓글목록

등록된 댓글이 없습니다.

car

경기도 의정부시 평화로 389 2층~8층

subway
회룡역 2번 출구 회룡역 3,5번 출구
bus
36, 39, 5, 56, 7, 72, 72-3, 118, 5 203, 230-1, 206-1, 203-2
walk

식자재 왕 도매마트 건너편


경기도 의정부시 평화로 389 2층~8층
상호명 : 연세베스트병원 ㅣ 사업자 번호 : 264-99-01344 ㅣ 대표자 : 장철영
COPYRIGHT(C) YONSEI BEST HOSPITAL. ALL RIGHTS RESERVED.

logo

  • bottomicon

    031.874.0119

  • bottomicon

    평 일- 09:00 ~ 18:00
    토 요 일- 09:00 ~ 13:00
    점심시간- 13:00 ~ 14:00