HOSPITAL INTRODUCE

병원소개

무릎,고관절 [무릎 인공관절 인공연골판 파절(손상)] 무릎 인공관절 재치환술

페이지 정보

작성자최고관리자 댓글 0건 조회 36회 작성일 25-12-18 17:44

본문

오늘은 기존 무릎 인공관절을 제거하고서, 새로운 인공관절로 치환해주는 무릎 인공관절 재치환술 수술사례를 통해 수술법과 수술 후 보행시기 등에 대해서 알아보겠습니다. 

67세 여성 환자분께서 우측 무릎 통증으로 내원해주셨습니다. 우측 무릎에 통증이 발생한지는 약 1~2년 정도 되었다고 말씀하셨는데, 특이사항으로 약 10년 전에 타병원에서 우측 무릎에 인공관절 반치환술을 받으셨다고 하셨습니다. 지병으로는 당뇨, 고지혈증, 갑상선 질환이 있으셨으며, 허리 시술 후 약을 복용중이셨습니다. 환자분께서는 제게 무릎 인공관절 전치환술을 받으셨던 지인분의 소개로 저를 찾아오셨다고 말씀해주셨습니다.(믿어주셔서 감사합니다^^)

환자분께서 받으셨던 인공관절 반치환술의 경우, 적응증을 잘 잡아서 하지 않으면 오래 사용하지 못 하는 기구인데, 다리가 오자로 휘어있을 경우에는 다리 정렬이 교정 되지 않는 단점이 있습니다.(관절 전체를 치환하는 인공관절 전치환술은 다리 정렬 교정이 가능합니다.)


6c762d0732f22ffa67d913492363433d_1766047109_4753.png
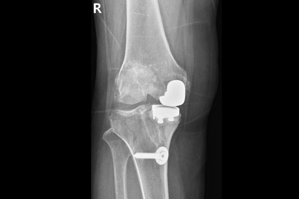
환자분의 무릎 상태를 확인하기 위해 X-RAY를 촬영하였을 때, 다리 정렬이 맞지 않는 것이 확인 됩니다.


6c762d0732f22ffa67d913492363433d_1766047120_4903.png

반치환술을 시행한 우측 무릎을 자세히 보면 내측 공간이 평소보다 많이 좁아져 있는 것이 확인되는데, 이는 폴리에틸렌으로 제작된 인공관절의 마찰면, 인공 물렁뼈(인공 연골판)의 손상이 의심되는 상황으로, 우측 무릎 인공관절 인공연골판 파절[손상](Rt. Knee insert breakage of previous UKA)을 진단하였습니다.

환자분께 현재 무릎 상태와 수술의 방향성을 설명드렸고, 지속된 무릎 통증과 불편감을 해결하기 위해 우측 무릎 인공관절 재치환술(Rt. Knee Revision TKA or Revisional TKA[Total Knee Arthroplasty])을 시행하였습니다.


6c762d0732f22ffa67d913492363433d_1766047133_4588.png
수술실에서 제거한 기존 인공관절을 확인해보면 안쪽의 인공 물렁뼈(인공 연골판)이 닳아서 부러져 있는 것이 확인 되는데, 부러진 조각들이 무릎 안을 돌아다니며 무릎 통증 및 불편감을 일으킨 것으로 보입니다.


6c762d0732f22ffa67d913492363433d_1766047150_441.png

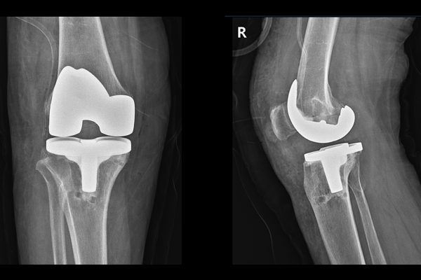
기존 인공관절을 잘 제거하고서, 3D 기술을 통해 환자분에게 맞춤형으로 제작된 인공관절로 교체해드렸습니다. 전치환술 후 X-RAY를 보면 잘 치환된 것이 확인됩니다.

https://blog.naver.com/jangcy0625/223837473854


3D 기술을 이용한 환자 맞춤형 인공관절 전치환술에 대한 내용은 전에 작성하였던 블로그 글을 첨부하오니, 궁금하신 분들께서는 참고해주시길 바랍니다.


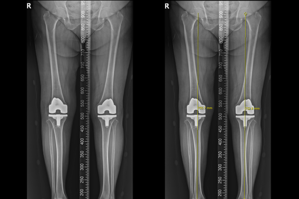
6c762d0732f22ffa67d913492363433d_1766047176_8357.png
수술 후 다리 정렬을 보면 일자로 곧게 체중축이 교정된 것이 확인됩니다.(좌측 무릎도 안좋으셨기 때문에, 우측 재수술 후 약 일주일 뒤에 좌측 무릎 인공관절 전치환술도 시행하였습니다.)


6c762d0732f22ffa67d913492363433d_1766047184_9477.png
수술 전/후 사진을 비교해보면 다리 정렬이 일자로 곧게, 아주 좋아진 것이 확인됩니다.


인공관절 재치환술은 기존 인공관절을 빼낼 때, 최대한 남은 뼈는 건들이지 않고 인공관절 기구만 깔끔하게 제거하는 것이 중요한 고난이도의 수술입니다. 또한 수술 중간중간 돌발상황이 발생할 수 있기 때문에, 증상이 있다면 무릎에 대한 해부학적 이해도가 높고, 인공관절 수술 경험이 많은 정형외과 전문의를 찾아 정확한 진단과 치료를 통해 건강한 무릎을 되찾기를 바랍니다.(수술 다음날 바로 걷기 시작하는 미라클한 결과를 얻을 수 있습니다.)

댓글목록

등록된 댓글이 없습니다.

car

경기도 의정부시 평화로 389 2층~8층

subway
회룡역 2번 출구 회룡역 3,5번 출구
bus
36, 39, 5, 56, 7, 72, 72-3, 118, 5 203, 230-1, 206-1, 203-2
walk

식자재 왕 도매마트 건너편


경기도 의정부시 평화로 389 2층~8층
상호명 : 연세베스트병원 ㅣ 사업자 번호 : 264-99-01344 ㅣ 대표자 : 장철영
COPYRIGHT(C) YONSEI BEST HOSPITAL. ALL RIGHTS RESERVED.

logo

  • bottomicon

    031.874.0119

  • bottomicon

    평 일- 09:00 ~ 18:00
    토 요 일- 09:00 ~ 13:00
    점심시간- 13:00 ~ 14:00