HOSPITAL INTRODUCE

병원소개

무릎,고관절 [무릎 관절 내 뼛조각(유리체)] 관절경하 관절 내 유리체(뼛조각) 제거술

페이지 정보

작성자최고관리자 댓글 0건 조회 20회 작성일 25-12-26 11:50

본문

69세 여성 환자분께서 우측 무릎 통증으로 내원해주셨습니다. 6개월 전부터 증상이 있었으며, 걷다가 한 번씩 깜짝 놀랄정도의 통증이 있었다고 말씀하셨습니다.(예전에 저한테 좌측 무릎 오다리 교정술을 받으신 분으로 오다리 교정술 후 잘 지내오시다가 이번에 반대쪽 무릎이 안좋아지셔서 내원하셨다고 말씀하셨습니다.) 


2f992d7239a97edca630fa072198310c_1766717340_5622.jpg

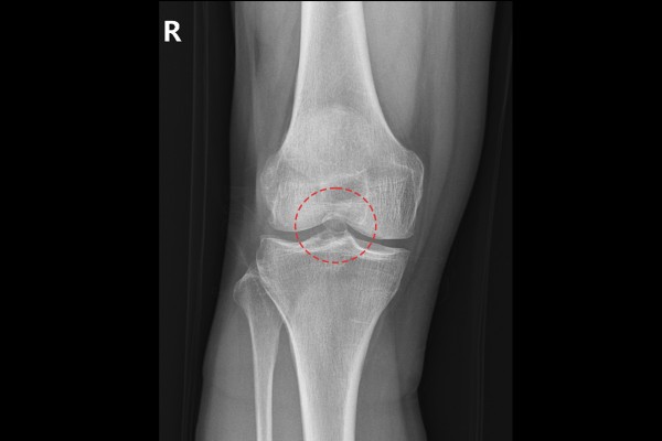
환자분의 무릎 상태를 파악하기 위해 X-RAY 촬영을 진행하였고, X-RAY에서 무릎 관절 사이에 유리체(뼛조각)가 확인됩니다.

2f992d7239a97edca630fa072198310c_1766717350_8788.jpg
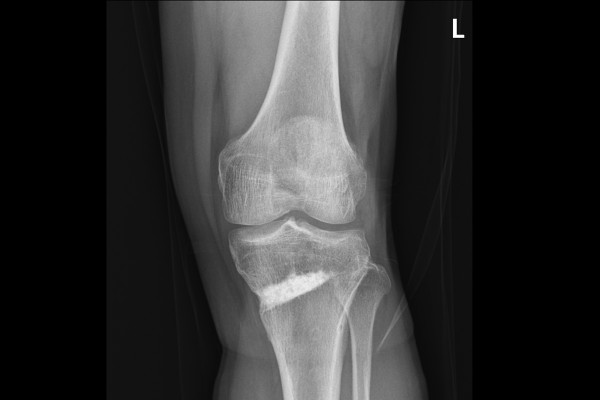
반면 반대쪽인 좌측 무릎에서는 관절 내 유리체가 확인되지 않고, 예전에 오다리 교정술을 받으신 흔적만이 보입니다.


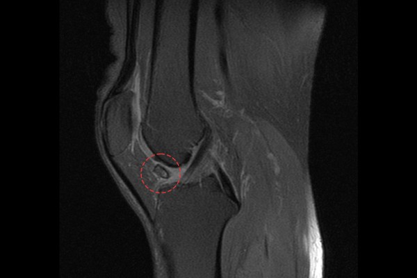
2f992d7239a97edca630fa072198310c_1766717361_2687.jpg

MRI 검사를 했을 때 역시 무릎 관절 내에 유리체(뼛조각)가 확인되어 무릎 관절 내 유리체(뼛조각)(Bony loose body knee Rt.)을 진단하였습니다.

통증이 지속되었기 때문에 수술적 치료인 관절경하 관절 내 유리체(뼛조각) 제거술(Rt. knee A/S (loose body removal))을 진행하기로 하였습니다.


2f992d7239a97edca630fa072198310c_1766717370_9136.jpg
관절내시경에서 유리체(뼛조각)이 확인됩니다.


2f992d7239a97edca630fa072198310c_1766717380_8297.jpg
이를 수술도구로 제거하고,


2f992d7239a97edca630fa072198310c_1766717388_7444.jpg
깔끔하게 제거된 무릎 관절이 확인됩니다.


2f992d7239a97edca630fa072198310c_1766717397_9688.jpg

수술 후 MRI를 확인해봤을 때 무릎 관절 내 유리체가 잘 제거된 것이 확인됩니다.

환자분께서는 유리체 제거술 후 1박2일만에 퇴원하셨고, 수술 후 2주가 지난 시점에서 실밥을 제거했는데, 무릎에 통증이 없어서 너무 만족해하셨습니다.(일반적으로 수술 후 1박2일 혹은 2박3일만에 퇴원이 가능합니다.)

관절 내 유리체는 생기는 원인이 명확하지는 않지만 넘어졌을 때 무릎을 어딘가에 찧이게 되면 당시에는 큰 이상이 없다가 미세한 뼛조각이 떨어져 나오고 시간이 지나며 점점 커지면서 생기는 경우가 많습니다.

이렇게 되면 무릎안에 있는 딱딱한 뼛조각으로 인해 관절의 표면인 관절연골이 긁히게 되어 결국 관절염으로 진행되는 위험이 있기 때문에 주의가 필요합니다.

관절 내 유리체는 비교적 간단히 약 10분 정도의 내시경 수술로 치료가 가능한 만큼, 걸을 때 무릎에서 한 번씩 통증이 발생한다면 간과하지 말고서 무릎을 전공한 정형외과 전문의를 찾아서 정확한 진단을 통해 무릎 건강을 유지하시기를 바랍니다.

댓글목록

등록된 댓글이 없습니다.

car

경기도 의정부시 평화로 389 2층~8층

subway
회룡역 2번 출구 회룡역 3,5번 출구
bus
36, 39, 5, 56, 7, 72, 72-3, 118, 5 203, 230-1, 206-1, 203-2
walk

식자재 왕 도매마트 건너편


경기도 의정부시 평화로 389 2층~8층
상호명 : 연세베스트병원 ㅣ 사업자 번호 : 264-99-01344 ㅣ 대표자 : 장철영
COPYRIGHT(C) YONSEI BEST HOSPITAL. ALL RIGHTS RESERVED.

logo

  • bottomicon

    031.874.0119

  • bottomicon

    평 일- 09:00 ~ 18:00
    토 요 일- 09:00 ~ 13:00
    점심시간- 13:00 ~ 14:00