HOSPITAL INTRODUCE

병원소개

무릎,고관절 [무릎 경골 고평부 골절] 관혈적 정복술 및 내고정술

페이지 정보

작성자최고관리자 댓글 0건 조회 25회 작성일 25-12-26 11:58

본문

경기도 파주시에 거주중이신 73세 여성 환자분께서 우측 무릎, 정강이 통증으로 내원해주셨습니다. 환자분께서는 내원 4일 전에 넘어지신 후 우측 무릎과 정강이에 통증이 발생하여, 집 근처 타병원을 찾아갔고, 골절 및 수술적 치료가 필요하다는 소견을 들었다 하셨습니다. 이후 주변 지인분의 소개로 의정부 회룡에 있는 저희 병원을 알게되시어 찾아오셨다고 말씀하셨습니다. 


2f992d7239a97edca630fa072198310c_1766717629_2561.jpg
환자분께서는 내원해주실 때 타병원에서 촬영하신 MRI를 지참해오셨습니다. MRI 사진을 확인해보니 증상을 호소하신 무릎 경골 고평부에서 명확한 골절 확인되었습니다.


2f992d7239a97edca630fa072198310c_1766717638_0021.jpg

측면 MRI 사진에서 역시 명확하게 골절선이 확인되어 무릎 경골 고평부 골절(Fx. tibia plateau knee Rt.[Schatzker 4 or 5])을 진단하였습니다.

환자분께서는 통증으로 보행이 전혀 불가능한 상태셨는데, 정강이뼈 골절, 경골 고평부 골절이 발생했을 때, 올바른 고정없이 걷게 되면 체중이 실려 주저앉기 때문에 환자분께 상황을 설명드리고, 수술적 치료인 무릎 경골 고평부 골절 관혈적 정복술 및 내고정술(ORIF lat plate & medial screw for Fx. tibia plateau knee Rt.)을 시행하였습니다.


2f992d7239a97edca630fa072198310c_1766717652_5734.jpg
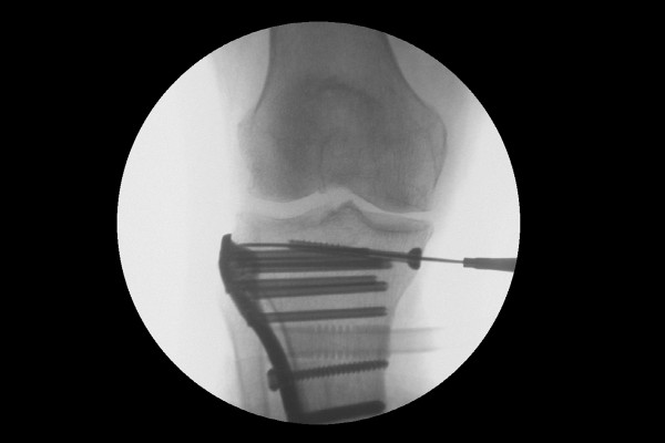
수술은 실시간 X-RAY인 C-ARM으로 확인하면서 진행합니다. 먼저 수술부위가 어긋나지 않게 골절된 무릎 경골 고평부를 리덕션 포셉(Reduction Forceps)이라는 수술기구로 잡고서, 금속판을 임시로 위치시킵니다.


2f992d7239a97edca630fa072198310c_1766717662_9805.jpg
위치를 잘 잡은 후 바깥쪽에서 금속판(Plate)으로 강하게 골절부위를 고정해줍니다.


2f992d7239a97edca630fa072198310c_1766717672_7308.jpg
내측 고평부에도 골절이 있었기 때문에 추가적으로 안쪽에서도 스크류(Screw) 고정을 해줍니다.


2f992d7239a97edca630fa072198310c_1766717682_8849.jpg

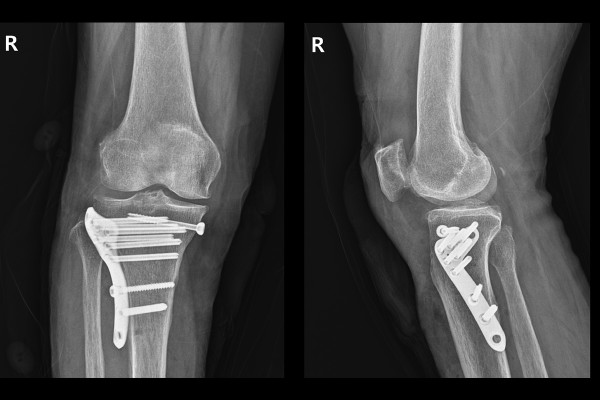
수술은 잘 마무리 되었고, 수술 후 X-RAY를 보면 골절되었던 무릎 경골 고평부가 강하게 잘 고정되었음이 확인됩니다.

무릎 경골 고평부가 골절 되었을 때, 일반적으로는 수술 후 6~8주까지 체중을 부하하지 않아야 합니다. 하지만 어르신의 경우 정확한 위치에 강하게 고정하였기 때문에 약 2~3주시점부터는 까치발로 체중의 50%만 부하하는 보행을 시작하며, 약 4주가 지난 시점부터는 체중을 전부 부하하며 다 디디는 보행을 하게 됩니다.(깁스는 통깁스가 아닌 반깁스만 2~4주간 착용합니다.)

환자분은 현재 8주 지난 시점으로, 전혀 통증이 없고 잘 걸어다니시며 수술 결과에 만족하고 계십니다.

무릎 경골 고평부 골절은 강하게 고정하고, 빠르게 재활하지 않으면 무릎이 굳거나 관절면이 주저앉을 수 있기 때문에 증상이 나타났다면 무릎을 전공한 정형외과 전문의를 찾아, 정확한 진단과 치료를 통해 건강한 무릎을 되찾기를 바랍니다.

댓글목록

등록된 댓글이 없습니다.

car

경기도 의정부시 평화로 389 2층~8층

subway
회룡역 2번 출구 회룡역 3,5번 출구
bus
36, 39, 5, 56, 7, 72, 72-3, 118, 5 203, 230-1, 206-1, 203-2
walk

식자재 왕 도매마트 건너편


경기도 의정부시 평화로 389 2층~8층
상호명 : 연세베스트병원 ㅣ 사업자 번호 : 264-99-01344 ㅣ 대표자 : 장철영
COPYRIGHT(C) YONSEI BEST HOSPITAL. ALL RIGHTS RESERVED.

logo

  • bottomicon

    031.874.0119

  • bottomicon

    평 일- 09:00 ~ 18:00
    토 요 일- 09:00 ~ 13:00
    점심시간- 13:00 ~ 14:00