HOSPITAL INTRODUCE

병원소개

무릎,고관절 [97세 고관절 골절] 고관절 인공관절 반치환술

페이지 정보

작성자최고관리자 댓글 0건 조회 23회 작성일 25-12-26 12:12

본문

오늘은 최근 저희 병원에서 진행한 97세 고령환자분의 고관절 골절 수술 사례에 대해서 알아보려 합니다. 97세 고령 여성환자분께서 좌측 고관절 골절로 내원해주셨습니다. 평소 지팡이를 짚고 실내 보행이 가능한 상태셨으나 내원 하루전날에 침대에서 낙상하며 다치셨고, 지병으로 치매와 혈압이 있으셔서 요양원 생활중이셨습니다.


2f992d7239a97edca630fa072198310c_1766718489_7185.jpg
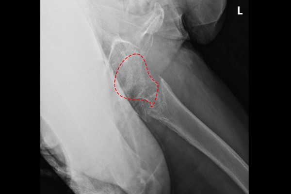
환자분의 정확한 상황을 파악하기 위해 먼저 X-RAY 촬영을 하였고, 촬영한 X-RAY에서 정상적인 우측 고관절목과 다르게 좌측 고관절목이 골절된 것이 확인됩니다.


2f992d7239a97edca630fa072198310c_1766718507_5859.jpg
측면에서 확인해보아도 고관절목이 부러져있는 것이 확인됩니다.


2f992d7239a97edca630fa072198310c_1766718517_0923.jpg

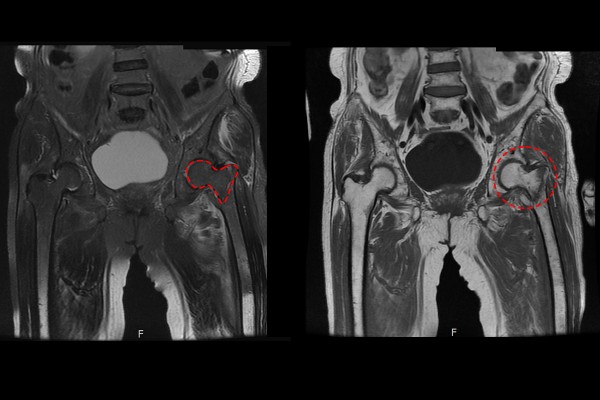
자세한 검사를 위하여 MRI 촬영을 진행하였고, 촬영한 MRI에서도 대퇴경부목 골절이 확인되어 고관절 골절 (대퇴골 경부 골절)(Fx. femur neck hip Lt. (Garden type IV))을 진단하였고, 보호자분께 수술적 치료의 필요성을 설명드렸습니다.

고령의 고관절 환자분들은 치료를 하지 않으면 계속 누워계시다 다른 합병증(폐렴, 욕창, 요로감염 등)으로 몇개월 뒤에 돌아가시게 되는 경우가 많아 고령환자분들은 빨리 치료하여 합병증 없이 일어날 수 있게, 걷게 하는 것이 중요하며, 환자분의 경우 내원 다음날 바로 수술을 진행하였습니다.


2f992d7239a97edca630fa072198310c_1766718527_9716.jpg
수술은 고관절 인공관절 반치환술(Bipolar hemiarthroplasty hip Lt)로 진행되었으며, 실시간 X-RAY인 C-ARM으로 확인하며 수술을 진행합니다.


2f992d7239a97edca630fa072198310c_1766718538_3334.jpg
수술 후 X-RAY를 보면 좌측 인공관절 반치환술이 잘 된 것을 확인할 수 있습니다.


환자분은 수술 다음날부터 일어나는 연습을 시작하셨고, 수술 2~3일차에는 발을 떼면서 보행하는 연습을 시작하였습니다.


- 일어서기 및 보행 연습 영상을 보실 수 있는 링크를 첨부합니다.

https://blog.naver.com/jangcy0625/223705727287

댓글목록

등록된 댓글이 없습니다.

car

경기도 의정부시 평화로 389 2층~8층

subway
회룡역 2번 출구 회룡역 3,5번 출구
bus
36, 39, 5, 56, 7, 72, 72-3, 118, 5 203, 230-1, 206-1, 203-2
walk

식자재 왕 도매마트 건너편


경기도 의정부시 평화로 389 2층~8층
상호명 : 연세베스트병원 ㅣ 사업자 번호 : 264-99-01344 ㅣ 대표자 : 장철영
COPYRIGHT(C) YONSEI BEST HOSPITAL. ALL RIGHTS RESERVED.

logo

  • bottomicon

    031.874.0119

  • bottomicon

    평 일- 09:00 ~ 18:00
    토 요 일- 09:00 ~ 13:00
    점심시간- 13:00 ~ 14:00