HOSPITAL INTRODUCE

병원소개

무릎,고관절 [대퇴골 비전형 골절] 대퇴골수강내 금속정 고정술

페이지 정보

작성자최고관리자 댓글 0건 조회 28회 작성일 25-12-26 12:28

본문

82세 고령의 여성 환자분께서 양측 허벅지의 통증 및 불편감으로 내원해주셨습니다.  

특히 오른쪽 허벅지가 불편하시다고 하셨으며, 통증이 있는지는 약 8개월 가량 되었다고 하시면서

4개월 전부터는 집밖으로 나가기가 힘들고 2개월 전부터는 집안에서도 걷기가 힘들어지고,

화장실 가는 것도 힘들고 두려워서 식사도 제대로 하지 못 하셨다고 말씀하셨습니다.

환자분께서는 고혈압, 고지혈증 등 심장이 좋지 않으셨고, 유명한 대학병원의 순환기 류마티스 내과를 다니시던 중

통증으로 대학병원 정형외과 진료를 보셨으나, 큰 이상이 없다고 하였고, MRI 촬영을 진행하려면 1달 이상이

소요된다고 하여 통증 및 불편감으로 긴 시간을 기다릴 수 없었던 환자분께서는 저희 병원을 내원하셨습니다.


2f992d7239a97edca630fa072198310c_1766719628_4412.jpg

영상의학검사에 앞서 병력 청취를 하던 중 환자분께서 골다공증 주사를 3년 이상 꾸준히 맞으셨다는 것을 들었고,

X-RAY 검사를 진행하였는데, 사진 상 대퇴골 부위에 울퉁불퉁한 튀어나온 부분과 함께 금이 가있는 것을 확인하였습니다


2f992d7239a97edca630fa072198310c_1766719643_732.jpg

뼈가 울퉁불퉁한 것은 뼈가 살짝 부러졌다가 붙었다 반복하면서 튀어나오고 골막이 두꺼워진 것을 뜻합니다.

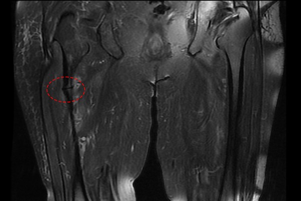
MRI 검사 상에서도 골절을 확인하였고,

우측 비전형 대퇴골 전자하부골절 (Atypical Fx. subtrochanter femur Rt.)을 진단하였습니다.

비전형 대퇴골 골절은 말 그대로 전형적이지 않은 골절을 말합니다. 주로 골 흡수 억제제(비스포스포네이트 계열)의 골다공증 약이나 주사를 장기간 복용 및 주사할 때 나타납니다.


2f992d7239a97edca630fa072198310c_1766719651_9637.jpg
골 흡수 억제제 성분의 약물이 장기간 투여되면 새로운 뼈를 만드는 조골세포와 오래된 뼈 조직을 파괴하는 파골세포의 균형이 깨지게 되어 오래된 뼈가 새로운 뼈로 대체되지 못 하고 뼈가 푸석푸석하게 변형되며 별다른 외부의 충격 없이 걷거나 서 있다가 골절이 발생하게 됩니다.


2f992d7239a97edca630fa072198310c_1766719670_5349.jpg

환자분은 단 하루라도 잘 걷고, 잘 외출하는 것이 소원이라하시며 강하게 수술을 희망하셨고

의료소견상 수술적 치료가 필요하였기에 수술을 진행하기로 하였습니다.

고령의 환자분이며 심장이 좋지 않으셨기에 작은 오차도 발생하지 않도록 철저히 수술을 준비하였고,

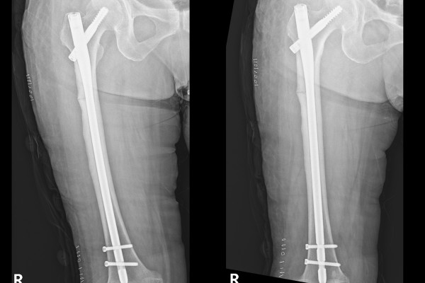
골절이 발생한 대퇴골 뼈 안에 말뚝 같은 기둥을 삽입하여 골절된 부위를 고정하는 방식의 수술,

대퇴골수강내 금속정 고정술 (Closed reduction c Long IM nail fixation for Atypical subtrochanteric Fx.)을

진행하였습니다.


2f992d7239a97edca630fa072198310c_1766719679_7416.jpg
수술은 순조롭게 마무리 되었고, 환자분께서는 수술 다음날 바로 서는 연습과 한 두 발자국씩 걷는 연습을 시작하셨습니다. 수술 결과에 크게 만족하신 환자분의 동의하에 사진촬영을 진행하였습니다.

댓글목록

등록된 댓글이 없습니다.

car

경기도 의정부시 평화로 389 2층~8층

subway
회룡역 2번 출구 회룡역 3,5번 출구
bus
36, 39, 5, 56, 7, 72, 72-3, 118, 5 203, 230-1, 206-1, 203-2
walk

식자재 왕 도매마트 건너편


경기도 의정부시 평화로 389 2층~8층
상호명 : 연세베스트병원 ㅣ 사업자 번호 : 264-99-01344 ㅣ 대표자 : 장철영
COPYRIGHT(C) YONSEI BEST HOSPITAL. ALL RIGHTS RESERVED.

logo

  • bottomicon

    031.874.0119

  • bottomicon

    평 일- 09:00 ~ 18:00
    토 요 일- 09:00 ~ 13:00
    점심시간- 13:00 ~ 14:00