HOSPITAL INTRODUCE

병원소개

어깨,팔 [어깨 쇄골 분쇄골절] 골절 정복술 및 금속판 고정술

페이지 정보

작성자최고관리자 댓글 0건 조회 13회 작성일 26-01-08 17:45

본문

경기도 양주 옥정에 거주하시는 40세 남성 환자분께서 좌측 쇄골 골절 증상으로 내원해주셨습니다. 환자분께서는 내원 전날 화장실에서 넘어지며 어깨쪽을 강하게 부딪쳤고, 급하게 응급실을 갔을 때 골절 소견과 수술 권유를 받으셨다고 말씀하셨습니다. 이후 수술적 치료를 위해 골절 수술 경험이 많고 잘 하는 의료기관을 찾아보시던 도중 저희 병원을 알게되시어 찾아오시게 되었다 하셨습니다. 


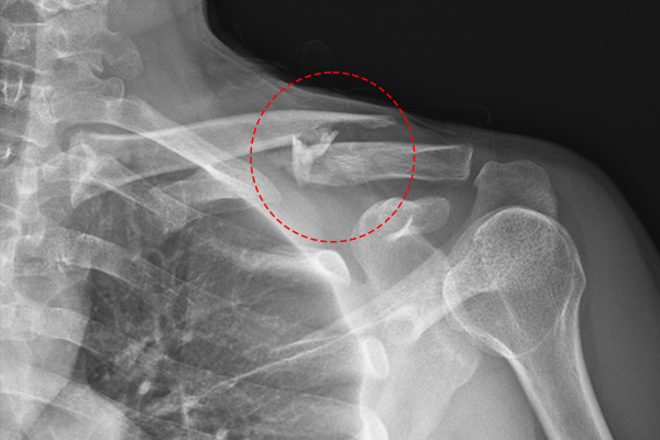
20ac6334118c27e0cf78b5d1504f202d_1767861870_4217.png

지참해오신 X-RAY 사진을 확인해보니, 좌측 쇄골뼈가 분쇄 골절 되어 아예 어긋나 있는 것을 확인하여 좌측 쇄골 분쇄 골절(Comminuted Fx. clavicle shaft Lt.)을 진단하였습니다.

환자분께 현재 어깨 쇄골 상태와 수술적 치료의 필요성을 한 번 더 설명드린 후, 어깨 쇄골 골절정복술 및 금속판 고정술(ORIF plate for Fx. clavicle shaft Lt.)을 내원 다음날 바로 시행하였습니다.


20ac6334118c27e0cf78b5d1504f202d_1767861880_2342.png

수술은 실시간 X-RAY인 C-ARM을 이용하여 확인하며, 분쇄골절된 뼈를 맞춰줍니다. 이때 골편을 일일이 닭고기 발라내듯 정확하게 맞추려 하거나 골절면을 과도하게 긁어내려 하면, 혈류와 골막이 손상되어 오히려 뼈가 붙지 않는 불유합을 유발할 수 있습니다.(골절면을 과도하게 긁어내 불유합이 발생하면 뼈가 유합되지 않았는데 힘이 가해지면서 금속판이 부러지거나 스크류 헤드와 쓰레드(thread, 나사산) 사이에서 파절이 될 수 있습니다.)

분쇄골절 치료의 핵심은 골절선을 침범하지 않는 범위 내에서 전체적인 축과 형태만 맞춰놓는 것이며, 시간이 지나면 골진이 형성되면서 자연스럽게 뼈가 엉겨 붙게 됩니다.(일부에서는 분쇄된 쇄골뼈를 와이어로 감아 고정하려는 경우가 있으나, 이러한 방식은 오히려 유합에 도움이 되지 않는 경우가 많습니다.)

골절된 쇄골 뼈를 정복 후 K-wire를 이용하여 임시고정한 후 금속판(Plate)으로 강하게 고정해줍니다.


20ac6334118c27e0cf78b5d1504f202d_1767861890_722.png

수술 후 X-RAY를 보면 정상적인 우측 쇄골뼈와 라인이 맞게 잘 정복 및 고정된 것을 확인할 수 있습니다.

분쇄골절의 경우 재활도 조심히 진행해야 하기 때문에, 팔걸이 보조기를 약 4주간 착용하여 팔 사용을 금합니다. 이후 4주가 지난 시점부터는 팔을 사용하며 재활을 시작하게 됩니다.(팔을 짚는 것은 8주 정도는 금해야 합니다.) 환자분의 경우 골절 된 뼈를 잘 맞춰두었고, 금속판으로 확실하게 고정해두었기 때문에 원활한 회복이 기대가 됩니다.

댓글목록

등록된 댓글이 없습니다.

car

경기도 의정부시 평화로 389 2층~8층

subway
회룡역 2번 출구 회룡역 3,5번 출구
bus
36, 39, 5, 56, 7, 72, 72-3, 118, 5 203, 230-1, 206-1, 203-2
walk

식자재 왕 도매마트 건너편


경기도 의정부시 평화로 389 2층~8층
상호명 : 연세베스트병원 ㅣ 사업자 번호 : 264-99-01344 ㅣ 대표자 : 장철영
COPYRIGHT(C) YONSEI BEST HOSPITAL. ALL RIGHTS RESERVED.

logo

  • bottomicon

    031.874.0119

  • bottomicon

    평 일- 09:00 ~ 18:00
    토 요 일- 09:00 ~ 13:00
    점심시간- 13:00 ~ 14:00