HOSPITAL INTRODUCE

병원소개

발,발목 [소아 정강이뼈 골절] 골절 정복술 및 내고정술

페이지 정보

작성자최고관리자 댓글 0건 조회 41회 작성일 25-09-15 17:07

본문

강원도 철원군에 거주중이신 8세 남자아이 환자분께서 좌측 정강이뼈 골절로 내원해주셨습니다. 약 1주일 전 시소에서 떨어지며 다치셨고, 타병원에서 통깁스를 통한 보존적 치료를 시행중이었으나, 뼈가 어긋나 수술적 치료가 필요하다는 소견을 듣고서 보호자분께서 검색을 하여 골절수술을 많이 하고, 족부전공자가 있는 저희 병원을 찾아오시게 되었다고 말씀하셨습니다. 


96707d45bfa78bc815f4e3f85a28a525_1757923590_5026.jpg
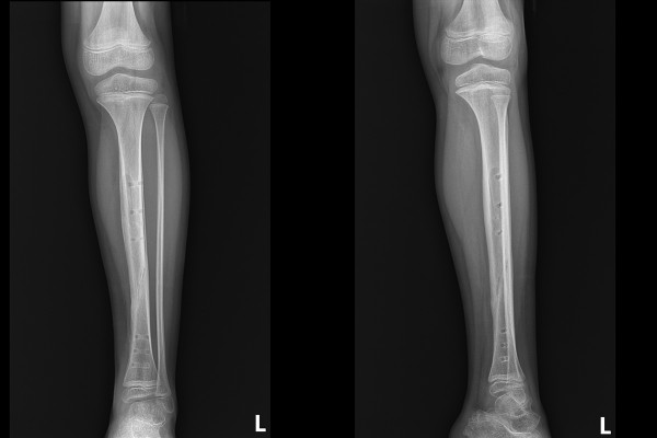
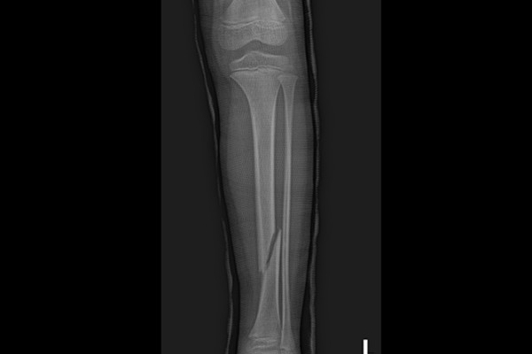
내원 당시 X-RAY를 보면 정강이뼈가 부러져서 각변형(각도 변형)되어 정렬이 흐트러진 것이 확인됩니다.


96707d45bfa78bc815f4e3f85a28a525_1757923601_7232.jpg

측면에서 확인해봐도 골절로 인해 정강이뼈가 어긋나있음이 확인되어 소아 정강이뼈 골절(Fx. distal tibia shaft lowerleg Lt.)을 진단하였습니다.

환자분과 보호자분께 현재 뼈 상태와 수술적 치료의 필요성을 설명드렸고, 소아 정강이뼈 골절정복술 및 내고정술(ORIF c MIPO plate for Fx. distal dibia shaft lowerleg Lt.)을 시행하였습니다.


96707d45bfa78bc815f4e3f85a28a525_1757923627_6854.jpg
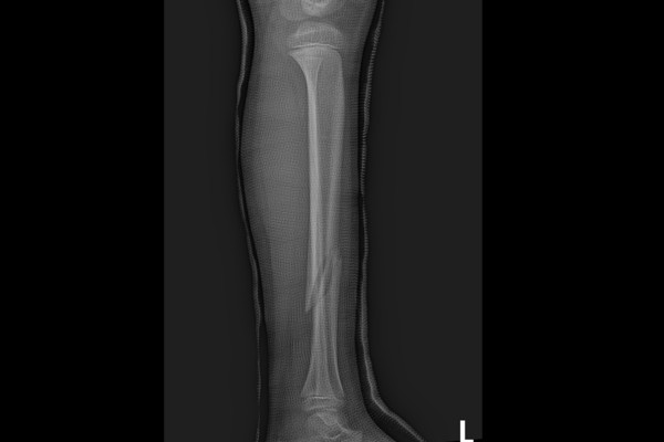
실시간 X-RAY인 C-ARM을 이용해 확인하면서 어긋나있던 골절선을 맞추어 올바른 정렬을 이루게 한 뒤, 금속판(Plate)으로 강하게 고정해줍니다.


96707d45bfa78bc815f4e3f85a28a525_1757923638_7612.jpg

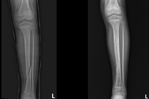
수술 후 X-RAY를 보면 강하게 고정되어 어긋남 없이 올바르게 정렬된 것이 확인됩니다.

수술 후 약 2주 정도는 목발 사용과 함께 반깁스를 착용하고, 3주차부터는 목발 없이 발을 다 디디게 됩니다. 5~6주가 지난 시점에서는 뛰어다니며 학교에서 체육활동도 다 하면서 지내시다가 수술 후 약 3개월이 지난 시점에서 삽입물을 제거하게 됩니다.

96707d45bfa78bc815f4e3f85a28a525_1757923648_5607.jpg
삽입물 제거 후 X-RAY 사진을 보면 정강이 뼈가 잘 회복되었음이 확인됩니다.


96707d45bfa78bc815f4e3f85a28a525_1757923658_6483.jpg

수술 전/후를 X-RAY 사진을 비교했을 때, 잘 회복된 것이 한 눈에 확인됩니다.

소아 골절의 경우, 성인보다 회복속도가 빠르지만, 성장판이 열려있는 상태이기 때문에 성장판이 손상되지 않도록 주의해야 합니다. 따라서 뼈에 금이가거나, 부러진 경우에는 골절 수술 경험이 많은 정형외과 전문의를 찾아 정확한 진료 및 치료를 통해 후유증 없는 올바른 치료를 받으시길 바랍니다.

댓글목록

등록된 댓글이 없습니다.

car

경기도 의정부시 평화로 389 2층~8층

subway
회룡역 2번 출구 회룡역 3,5번 출구
bus
36, 39, 5, 56, 7, 72, 72-3, 118, 5 203, 230-1, 206-1, 203-2
walk

식자재 왕 도매마트 건너편


경기도 의정부시 평화로 389 2층~8층
상호명 : 연세베스트병원 ㅣ 사업자 번호 : 264-99-01344 ㅣ 대표자 : 장철영
COPYRIGHT(C) YONSEI BEST HOSPITAL. ALL RIGHTS RESERVED.

logo

  • bottomicon

    031.874.0119

  • bottomicon

    평 일- 09:00 ~ 18:00
    토 요 일- 09:00 ~ 13:00
    점심시간- 13:00 ~ 14:00