HOSPITAL INTRODUCE

병원소개

발,발목 [발목인대재파열] 발목인대 재수술 인대이식[재건]술

페이지 정보

작성자최고관리자 댓글 1건 조회 156회 작성일 25-09-17 15:25

본문

28세 남성 환자분께서 좌측 발목 통증으로 내원해주셨습니다. 환자분께서는 내원 4~5일 전에 접질리며 다치셨다고 하셨으며, 특이사항으로 19년도에 영등포 소재 병원에서 발목인대파열로 봉합술을 받으셨고, 3년 뒤에 재파열되어 영등포 소재 다른 병원에서 또 다시 인대 봉합술을 받으셨습니다.약 3년 전 재수술을 받았음에도 계속 발목에 통증과 불안정증이 지속되었고, 특히 가동범위가 안나와 발목이 굳는 느낌이 든다고 말씀하셨습니다. 


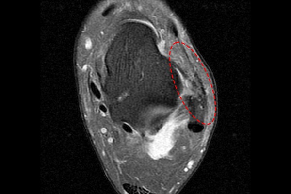
627d60744924957efd65ca2fd4aaaf15_1758090288_0061.jpg

환자분의 병력을 들은 후 신체 검진을 진행하였고, 발목을 흔들어봤을 때 앞으로 빠지는 발목 불안정증이 확인되었습니다. 정확한 발목 인대 상태를 확인하기위해 MRI 검사를 진행하였고, MRI 검사 결과, 인대가 붙는 부분에서 거의 보이지 않고, 전체적으로 질이 떨어져 있는 상태가 확인되어 발목인대파열(재재파열)(Lt. ankle ATFL re-tear)을 진단하였습니다.

환자분께 현재 발목 상태와 수술적 치료의 필요성, 방향성을 설명드렸습니다. 환자분께서는 재수술의 재수술, 3번째 수술을 위해 많은 검색을 하시다가 의정부 지역 족부전문의인 저를 찾아오셨다 말씀하셨고, 수술적 치료인 발목인대 이식(재건)술(Lt. ankle lat ankle ligament recon)을 시행하였습니다.(환자분의 발목인대는 앞서 재파열이 발생한 적이 있는 3번째 파열이 발생한 인대로 상태가 좋지 않기 때문에, 인대를 이식하여 재건하는 재건술을 시행하였습니다.)

앞서 환자분께서 봉합술을 받았을 때, 계속 불편감을 느꼈다고 말씀하셨는데, 제 추측으로는 인대를 봉합할 때 안녹는 실을 사용하여, 시간이 지났음에도 발목에 계속 남아있어 불편감이 지속되지 않았을까 생각됩니다.(저는 발목인대를 봉합할 때 녹는실과 녹는 나사만을 사용합니다.)


627d60744924957efd65ca2fd4aaaf15_1758090296_292.jpg
수술실에서 전에 받으셨던 봉합술의 절개창을 보니, 안녹는 실이 확인되었습니다.


627d60744924957efd65ca2fd4aaaf15_1758090308_6705.jpg
안녹는 실을 제거해주고,


627d60744924957efd65ca2fd4aaaf15_1758090322_2951.jpg
인대 재건,이식을 위하여 기존의 봉합을 위한 절개창 보다 작은 절개창 3개(최소절개)를 내어주고, 인대를 이식하여 재건해줍니다.


627d60744924957efd65ca2fd4aaaf15_1758090334_5514.jpg
이해를 쉽게 하기 위해, 전거비인대와 종비인대가 재건된 모식도를 첨부합니다.


627d60744924957efd65ca2fd4aaaf15_1758090345_0755.jpg

수술 후 MRI를 확인해보면 뼈에서 앞으로 가는 전거비인대와 돌아서 뒤로 연결되는 종비인대가 잘 재건,이식된 것을 확인할 수 있습니다.

수술은 성공적으로 잘 마치게 되었고, 환자분께서는 수술 다음날 반깁스만 착용하시고 바로 보행을 시작하셨습니다. 재활과정으로는 발목을 위아래로 꺾는 각도 운동만 3주 정도 금하며, 다른 제한 없이 경과를 지켜보게 됩니다.

댓글목록

PomChiPals.com님의 댓글

PomChiPals.com 작성일

https://FarmyardLivestock.com — Buy Healthy Livestock Online Across the USA.
https://farmyardlivestock.com/product-category/livestock/
 Livestock You Trust. Utility You Need
Looking to buy goats, pigs, sheep, cattle, alpacas, or poultry
 online in the USA?
 https://farmyardlivestock.com/product-category/donkeys-mini-horses/


Discover https://PomskyNest.com – Where Companions
Are Born and Bonds Begin.
Looking to buy a teacup Pomeranian puppy in the USA?
Searching Pomsky puppies near me or want a Husky puppy for sale?
https://pomskynest.com/shop/


Our Poodles at www.PremierPoodleKennels.com are
Born of Pedigree, Raised with Love.
Adopt Toy Purebred Poodles USA
https://premierpoodlekennels.com/toy-poodles/
Bring home a Miniature Poodle
https://premierpoodlekennels.com/miniature-poodles/
Feel the Passionate might of Standard Poodles
https://premierpoodlekennels.com/standard-poodles/
Explore our well-socialized puppies and lifetime support.
premierpoodlekennels.com/shop/
Adopt from the best.


Welcome to https://PomChiPals.com – Where Tiny Paws Meet Big Love
We’re a close-knit family of passionate home breeders specializing
 in Pomeranians, Chihuahuas, and their beloved hybrid, the PomChi. With years of
dedicated experience, we raise each puppy with care, pedigree, and personality.

Come find your purrfect companion — healthy, well-socialized,
and ready to brighten your home — only at https://pomchipals.com/shop/

car

경기도 의정부시 평화로 389 2층~8층

subway
회룡역 2번 출구 회룡역 3,5번 출구
bus
36, 39, 5, 56, 7, 72, 72-3, 118, 5 203, 230-1, 206-1, 203-2
walk

식자재 왕 도매마트 건너편


경기도 의정부시 평화로 389 2층~8층
상호명 : 연세베스트병원 ㅣ 사업자 번호 : 264-99-01344 ㅣ 대표자 : 장철영
COPYRIGHT(C) YONSEI BEST HOSPITAL. ALL RIGHTS RESERVED.

logo

  • bottomicon

    031.874.0119

  • bottomicon

    평 일- 09:00 ~ 18:00
    토 요 일- 09:00 ~ 13:00
    점심시간- 13:00 ~ 14:00