HOSPITAL INTRODUCE

병원소개

발,발목 [족저섬유종] 족저섬유종 절제 및 생검술, 족저근막 유리술

페이지 정보

작성자최고관리자 댓글 0건 조회 4회 작성일 25-12-10 17:12

본문

66세 남성 환자분께서 좌측 발바닥 통증으로 내원해주셨습니다. 환자분께서는 약 3개월 전부터 발바닥 아치쪽에 물혹 or 혹 같은 것이 만져지고 만졌을 때 통증이 느껴진다 말씀하셨습니다. 근처 타병원에서 초음파 검사를 했을 때 수술 할 수 있는 큰병원을 찾아가라는 소견을 듣고서, 저희 병원을 찾아오시게 되었다 하셨습니다. 


6dda7e438aac035f94e58c110213665f_1765354336_6847.png
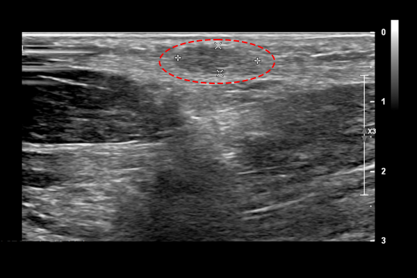
신체검진상 발바닥 아치부위를 눌렀을 때 혹이 만져지는 것을 확인하였고, 초음파 검사 결과를 확인해보니 1x1cm 크기(깊이4mm)의 혹을 확인하였고, 혹의 위치와 증상을 기반으로 족저섬유종[발바닥 섬유종](Plantar fibroma foot Rt.)을 진단하였습니다.


6dda7e438aac035f94e58c110213665f_1765354347_7806.png

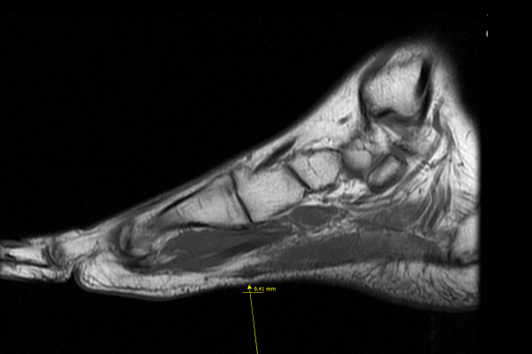
인대 및 근육 등 연부조직의 추가적인 손상 여부를 확인하기 위해 촬영한 MRI 검사에서도 역시 발바닥 아치부근에 위치한 족저섬유종이 확인되었습니다.

발바닥에 통증과 불편감 등 족저근막염과 비슷한 증상의 족저섬유종은 종양이 아닌 섬유화된 덩어리로, 염증성 질환인 족저근막염과 다르게 족저근막 내 섬유성 증식에 의해 결절이 형성된 질환입니다. 발생 위치 또한 주로 발뒤꿈치 부근에서 나타나는 족저근막염과 다르게, 족저섬유종은 족저근막의 내측 1/2, 중간 위치에서 주로 발생합니다.

환자분께 현재 상태와 수술적 치료의 필요성, 수술의 방향성을 충분히 설명드리고서 족저섬유종 절제 및 생검술, 족저근막 유리술(Plantar fibroma excision & biopsy, plantar fascia release)을 시행하였습니다.


6dda7e438aac035f94e58c110213665f_1765354358_0086.png
수술실 사진에서 동그란 족저섬유종을 확인할 수 있습니다. 이 족저섬유종을 제거하고서 족저근막을 늘려주며 수술을 마치게 됩니다.


6dda7e438aac035f94e58c110213665f_1765354369_7015.png

제거된 족저섬유종이 확인됩니다.

환자분께서는 수술 다음날부터 바로 목발없이 전 체중을 부하하며 보행을 시작하셨고, 수술 다음날 바로 퇴원하셨습니다. (족저섬유종 수술을 받으신 환자분들은 수술 후 약 4주간 잠을 주무실 때만 야간 부목깁스를 착용해주시면 별다른 제약 없이 일상생활이 가능합니다.)

수술 후 2주차에 실밥을 제거한 환자분께서는 수술 전 불편감이 100이었다면 현재는 0으로, 불편감이 전혀 없고 너무 좋다고 말씀하셨습니다. 환자분의 경우 증상이 너무 좋아지셨기 때문에 추적관찰을 마무리하기로 결정하고, 이후 만약 다른 이상이 생기면 내원해주시기로 하고서 치료를 종결하였습니다.

족저섬유종이라는 질환은 족부에 대한 진료 및 수술 경험이 적으면 놓치기 쉬운 질환입니다. 따라서 발바닥 중간부에서 통증 및 불편감이 발생하였다면 족부에 대한 경험이 많은 족부전문의를 찾아 정확한 진단 및 치료를 통해 건강한 일상을 되찾기를 바랍니다.

댓글목록

등록된 댓글이 없습니다.

car

경기도 의정부시 평화로 389 2층~8층

subway
회룡역 2번 출구 회룡역 3,5번 출구
bus
36, 39, 5, 56, 7, 72, 72-3, 118, 5 203, 230-1, 206-1, 203-2
walk

식자재 왕 도매마트 건너편


경기도 의정부시 평화로 389 2층~8층
상호명 : 연세베스트병원 ㅣ 사업자 번호 : 264-99-01344 ㅣ 대표자 : 장철영
COPYRIGHT(C) YONSEI BEST HOSPITAL. ALL RIGHTS RESERVED.

logo

  • bottomicon

    031.874.0119

  • bottomicon

    평 일- 09:00 ~ 18:00
    토 요 일- 09:00 ~ 13:00
    점심시간- 13:00 ~ 14:00