HOSPITAL INTRODUCE

병원소개

발,발목 [발목 연골 손상] 관절경하 미세천공술(미세골절술, 골수자극술)

페이지 정보

작성자최고관리자 댓글 0건 조회 5회 작성일 25-12-10 17:29

본문

37세 남성 환자분께서 좌측 발목 통증으로 내원해주셨습니다. 통증이 있으신지는 약 1년 정도 되셨는데, 이 환자분의 경우 5년전에 제게 우측 발목 연골손상으로 내시경하 인대봉합술과 거골 연골손상 부위 미세천공술 및 줄기세포 시술을 받으셨던 분입니다. 당시 수술 전 발목 불편감이 100이었다면 수술 후 0으로 줄어들어 굉장히 만족해하셨던 분으로 잘 치료되었던 좋은 기억이 있어 충남 아산에서 의정부까지 내원해주셨습니다. 


6dda7e438aac035f94e58c110213665f_1765355275_3386.png
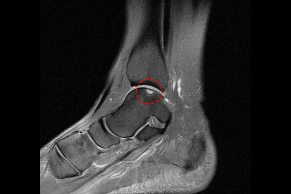
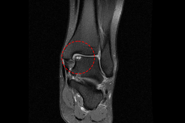
환자분의 발목 상태를 자세히 파악하기 위해서 MRI 촬영을 진행하였고,


6dda7e438aac035f94e58c110213665f_1765355288_448.png

MRI에서 발목 거골 부위 연골 손상과 골 괴사가 확인되었기에 발목 거골 골연골병변(박리성, 이단성 골연골염, 연골손상)(t. ankle osteochondral lesion of talus)을 진단하였습니다.

발목연골손상의 전형적인 증상으로 걷다가 갑자기 날카롭고 칼로 베는 듯한 통증이 발생하는데, 이는 발목 거골 연골손상부위에 체중이 실리면서 뼈끼리 맞닿을 때 부하가 가해지며 발생하는 통증입니다.

환자분은 좌측 발목 통증으로 약 1년간 경과를 지켜보다가, 보존적 치료에도 호전되지 않고서 악화되며 통증이 심해지셨기 때문에 수술적 치료를 결정하였고, 수술은 관절경하 미세천공술(미세골절술,골수자극술)(A/S microfracturing & A-MBO)로 진행하였습니다.


6dda7e438aac035f94e58c110213665f_1765355300_5995.png
탐침자라는 수술도구로 발목 연골을 눌러보면 움푹 들어가는 부분이 확인됩니다. 이는 솜털같은 연골을 떠 받쳐주는 뼈층이 괴사되고 부실해져서 발생하는 상황입니다.


6dda7e438aac035f94e58c110213665f_1765355312_1085.png
들떠있는 연골의 확인되는데, 어쩔 수 없이 제거해줍니다.


6dda7e438aac035f94e58c110213665f_1765355325_6332.png
그 후 마치 지하암반수가 나오듯이, 미세한 구멍을 뼈층 깊이 뚫어서 천공으로 인해 나오는 골진이 뼈층을 단단하게 덮게하는 미세천공술을 시행합니다. 연골 손상범위가 2㎠이상일 경우에는 줄기세포 시술을 추가로 시행하지만, 좌측 발목의 경우 손상 범위가 2㎠ 미만이기 때문에 미세천공술만으로 수술을 마칩니다.(5년전 수술했던 우측 발목의 경우에는 줄기세포 시술도 함께 진행하였습니다.)


6dda7e438aac035f94e58c110213665f_1765355336_2342.png

5년 전 수술했던 반대쪽 우측 발목을 확인해보면 손상되었던 연골이 잘 회복된 것이 확인되고, 이번에 수술을 시행한 좌측 발목 역시 이렇게 잘 회복될 것으로 예상됩니다.

미세천공술을 하고서 약 3~4주간은 발을 디디지 않거나, 까치발로 체중의 10~20%만 부하하는 것이 연골생성에 좋습니다. 그 후 시간이 지나면 손상되었던 연골이 잘 재생되어 깔끔하게 채워지며 건강한 발걸음을 되찾게 됩니다.

댓글목록

등록된 댓글이 없습니다.

car

경기도 의정부시 평화로 389 2층~8층

subway
회룡역 2번 출구 회룡역 3,5번 출구
bus
36, 39, 5, 56, 7, 72, 72-3, 118, 5 203, 230-1, 206-1, 203-2
walk

식자재 왕 도매마트 건너편


경기도 의정부시 평화로 389 2층~8층
상호명 : 연세베스트병원 ㅣ 사업자 번호 : 264-99-01344 ㅣ 대표자 : 장철영
COPYRIGHT(C) YONSEI BEST HOSPITAL. ALL RIGHTS RESERVED.

logo

  • bottomicon

    031.874.0119

  • bottomicon

    평 일- 09:00 ~ 18:00
    토 요 일- 09:00 ~ 13:00
    점심시간- 13:00 ~ 14:00