HOSPITAL INTRODUCE

병원소개

발,발목 [무지외반증] 최소침습 무지외반증 교정술 MITA,MICA

페이지 정보

작성자최고관리자 댓글 0건 조회 64회 작성일 25-09-12 16:08

본문

52세 여성 환자분께서 좌측 엄지발가락 휘어짐, 무지외반증 증상으로 내원해주셨습니다. 휘어진 엄지발가락으로 인해 신발을 신을 때마다 통증이 발생하여 정상적인 보행이 어려워서 일상생활에 어려움을 겪고 계신다고 말씀하셨습니다. 


bf9d6fdaf4051a39be384f068acb231c_1757660858_5903.jpg

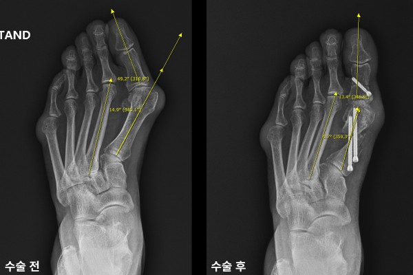
환자분의 발 상태를 정확하게 파악하기 위해 촬영한 X-RAY에서 엄지발가락이 휘어진 정도인 무지외반각은 49.2도(정상범위: 15도 이내),엄지발가락과 검지발가락 사이를 확인하는 중족골간각은 14.9도(정상범위: 9도 이내)로 좌측 발 무지외반증(Hallux valgus)을 진단하였습니다.

무지외반증으로 너무 큰 불편감을 느끼신 환자분께서도 적극적인 치료를 희망하셨고, 환자분의 발 상태가 무지외반각이 40도를 넘어가는 수술적 치료가 필요한 상태였기 때문에 수술적 치료인 최소침습 무지외반증 교정술 4세대 MICA [Minimally invasive transverse akin (MITA) osteotomy]를 시행하였습니다.


bf9d6fdaf4051a39be384f068acb231c_1757660873_0556.jpg

최소침습 무지외반증 교정술은 긴 절개로 교정하는 것이 아닌, 작은 구멍 4~5개만을 이용하여 휘어진 발가락 뼈를 교정하기 때문에 적은 통증과 빠른 회복기간 등 환자분들의 부담이 줄어들게 되었습니다. 또한 4세대 MICA, 즉 MITA 수술은 기존 MICA 수술의 V자 절골로 인한 회전교정량의 한계를 V자 절골이 아닌 일(ㅡ)자로 절골하여 해결하였습니다.


bf9d6fdaf4051a39be384f068acb231c_1757660891_3761.jpg
실시간 X-RAY인 C-ARM을 이용하여 확인하면서 휘어진 엄지발가락 뼈를 절골 하고서 밀어 넣은 후 임시 고정해줍니다.


bf9d6fdaf4051a39be384f068acb231c_1757660906_375.jpg
이후 스크류를 이용하여 고정 및 교정을 마무리합니다.


bf9d6fdaf4051a39be384f068acb231c_1757660920_6987.jpg
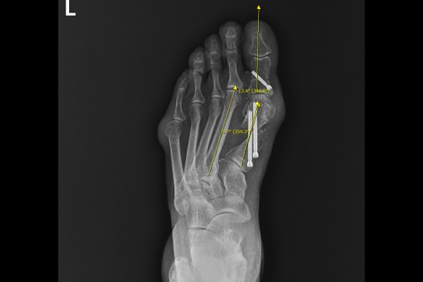
수술 후 무지외반각과 중족골간각 모두 정상범위내로 교정된 것이 확인됩니다.


bf9d6fdaf4051a39be384f068acb231c_1757660931_6669.jpg

수술 전/후 X-RAY를 비교했을 때 엄지발가락이 일자로 잘 교정된 것이 확인됩니다.

최소침습 무지외반증 교정술 MITA(4세대 MICA) 수술은 수술 당일 저녁부터 무지외반증 전용 신발을 착용하고 엄지발가락을 제외한 뒷꿈치, 옆꿈치로 보행이 가능합니다. 수술 후 4주가 지나면 엄지발가락을 움직이게 되고, 6주에서 8주가 지나면 일반 신발을 신고 일반 보행을 시작하게 됩니다.

무지외반증은 엄지발가락이 점점 더 휘어지게 되는 진행형 질환입니다. 증상이 심하지 않다고 간과하다가는 시간이 지나 2번째 발가락이 엄지발가락을 타고 올라가게 되는 등, 수술의 범위가 커지고 통증 및 변형 정도가 심해지기 때문에 증상이 보인다면 족부병원, 족부전문의를 찾아 내원하시어 하루빨리 건강한 발걸음을 되찾기를 바랍니다.

댓글목록

등록된 댓글이 없습니다.

car

경기도 의정부시 평화로 389 2층~8층

subway
회룡역 2번 출구 회룡역 3,5번 출구
bus
36, 39, 5, 56, 7, 72, 72-3, 118, 5 203, 230-1, 206-1, 203-2
walk

식자재 왕 도매마트 건너편


경기도 의정부시 평화로 389 2층~8층
상호명 : 연세베스트병원 ㅣ 사업자 번호 : 264-99-01344 ㅣ 대표자 : 장철영
COPYRIGHT(C) YONSEI BEST HOSPITAL. ALL RIGHTS RESERVED.

logo

  • bottomicon

    031.874.0119

  • bottomicon

    평 일- 09:00 ~ 18:00
    토 요 일- 09:00 ~ 13:00
    점심시간- 13:00 ~ 14:00