HOSPITAL INTRODUCE

병원소개

발,발목 [아킬레스건 파열] 아킬레스 다중봉합술

페이지 정보

작성자최고관리자 댓글 0건 조회 44회 작성일 25-09-12 16:21

본문

48세 남성 환자분께서 좌측 발목 통증, 아킬레스건 파열로 내원해주셨습니다. 환자분께서는 내원 전날에 배구를 하다가 좌측 발목 아킬레스건 부위에서 '뚝' 하는 소리와 함께 심한 통증을 느끼셨고, 이에 응급실을 방문하여 아킬레스가 파열되었다는 진단과 함께 우선적으로 반깁스 고정을 진행하였다 하셨습니다. 

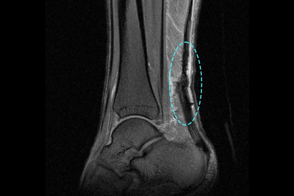
환자분께서는 치료를 위해 의정부 지역 족부전문의를 찾아 검색을 해보시다가 저를 알게되시어 찾아오셨다 말씀하셨습니다. 환자분의 병력을 듣고 나서, 아킬레스 부위를 눌렀을 때 움푹 들어감을 확인하는 딤플 사인(Dimple sign) 양성 소견이 확인 되었고, 정확하게 아킬레스건 상태를 확인하기 위해 MRI 검사를 시행하였습니다.


bf9d6fdaf4051a39be384f068acb231c_1757661610_4826.jpg

MRI 검사 결과, 파열된 아킬레스건이 확인되어 좌측 아킬레스건 파열(Achilles rupture ankle Lt.)을 진단하였습니다. 이후 환자분께 현재 아킬레스건 상태와 수술의 필요성을 설명드렸고, 수술적 치료인 아킬레스건 다중봉합술[재건술](Ankle Achilles repair)을 시행하였습니다.

아킬레스건 다중봉합술은 마치 거미줄이나 그물망처럼 견고하고 튼튼하게 여러번 봉합하여 재파열률을 낮춘 수술법입니다. 여기에다가 저는 봉합(재건)을 시행할 때 녹는 실만을 사용하여, 수술 후 발생할 수 있는 불편감, 감염 위험 등을 해결하였습니다. 간혹 환자분들께 녹는 실을 사용하여 봉합(재건)을 시행할거라 말씀드리면, 제대로 회복되기 전에 사라지는 것 아닌지 불안해하시는 분들도 계시는데, 녹는 실은 체내에서 약 6개월 가량 머물며, 아킬레스건이 회복되기 까지 충분히 안정적으로 지지하다가 흡수되므로 안심하시길 바랍니다.


bf9d6fdaf4051a39be384f068acb231c_1757661627_3045.jpg
수술실에서 파열되어 완전히 끊어진 아킬레스건이 확인됩니다.


bf9d6fdaf4051a39be384f068acb231c_1757661647_1282.jpg
견고하게 다중봉합된 아킬레스건이 확인됩니다.


bf9d6fdaf4051a39be384f068acb231c_1757661666_1332.jpg
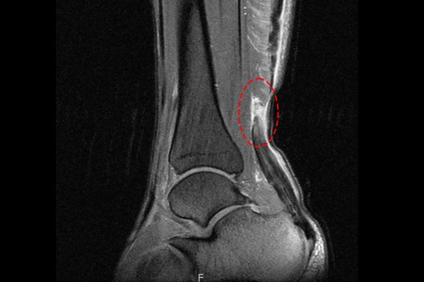
수술 후 MRI에서 아키레스건이 일자로 쭉 잘 연결된 것이 확인됩니다.


bf9d6fdaf4051a39be384f068acb231c_1757661678_6726.jpg

수술 전/후 MRI 사진을 보시면 파열되었던 아킬레스건이 잘 봉합(재건)되었음을 한 눈에 알 수 있습니다.

수술 후 재활과정을 알아보면, 봉합(재건)수술 후 6주간은 깁스 고정하여 발을 디디거나 발목을 올리는 행동을 금해야 합니다. 이후 6주가 지난 시점부터 굽이 있는 특수 아킬레스건 보조기를 착용하고서 보행을 시작하게 됩니다. 아킬레스건 회복 상태에 따라 보조기의 굽을 1개씩 빼나가고, 수술 후 약 10주가 되는 시점부터는 아킬레스건 보조기도 풀고, 일반 신발을 착용 후 정상보행을 시작하게 됩니다.

아킬레스건이 파열 되었을 때, 많은 환자분들께서 비교적 긴 재활기간에 힘들어 하십니다. 다만 아킬레스건은 견고한 봉합과 함께 재활과정이 무척 중요하기 때문에, 답답하시고 불편하시더라도 올바른 재활과정을 통해 건강한 발걸음을 되찾기를 부탁드리겠습니다.(만약 재활과정 중에 실수 혹은 답답함에 발을 딛었다가 재파열이 발생한다면 재수술은 물론이고 긴 재활과정을 처음부터 다시 시작해야 합니다...)

댓글목록

등록된 댓글이 없습니다.

car

경기도 의정부시 평화로 389 2층~8층

subway
회룡역 2번 출구 회룡역 3,5번 출구
bus
36, 39, 5, 56, 7, 72, 72-3, 118, 5 203, 230-1, 206-1, 203-2
walk

식자재 왕 도매마트 건너편


경기도 의정부시 평화로 389 2층~8층
상호명 : 연세베스트병원 ㅣ 사업자 번호 : 264-99-01344 ㅣ 대표자 : 장철영
COPYRIGHT(C) YONSEI BEST HOSPITAL. ALL RIGHTS RESERVED.

logo

  • bottomicon

    031.874.0119

  • bottomicon

    평 일- 09:00 ~ 18:00
    토 요 일- 09:00 ~ 13:00
    점심시간- 13:00 ~ 14:00