HOSPITAL INTRODUCE

병원소개

어깨,팔 [소아청소년 쇄골 골절] 최소침습 최소절개 쇄골 골절 정복술 및 내고정술

페이지 정보

작성자최고관리자 댓글 0건 조회 23회 작성일 26-01-09 09:33

본문

14세 중학생 여자 환자분께서 좌측 쇄골 부위 통증으로 보호자분과 함께 내원해주셨습니다. 환자분께서는 내원하시기 약 1주일 정도 전에 운동을 하다가 다치셨는데, 통증이 지속되어 병원을 찾아왔다고 말씀하셨습니다. 


b72968fc2915dd5bd436116d60cd6556_1767918745_0963.png

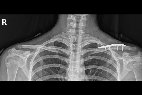
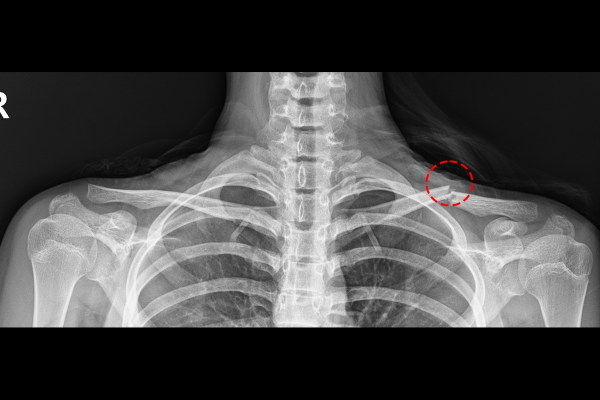
환자분의 쇄골 상태를 정확하게 파악하기 위해 X-RAY 촬영을 시행하였고, 검사 결과, 부러진 쇄골 뼈가 어긋나면서 살을 누르고 있는 것이 확인되어 소아(소아청소년) 쇄골 골절(Fx. clavicle shaft Lt.)을 진단하였습니다.

피부를 누르는 골절을 방치하게 되면 피부가 뼈 끝에 눌리면서 괴사될 수 있어, 추후에는 피부 이식 혹은 흉이 많이지기 때문에 빠른 치료를 하는 것이 좋습니다.(특히 여성분에게는 더욱 주의가 필요합니다.)

환자분과 보호자분께 현재 환자분의 쇄골 상태와 수술적 치료의 필요성, 수술의 방향성을 설명드리고, 최소침습 최소절개 쇄골 골절 정복술 및 내고정술(Minimally Invasive Plate Osteosynthesis[MIPO] for Fx. clavicle shaft Lt.)을 시행하였습니다.


b72968fc2915dd5bd436116d60cd6556_1767918754_5433.png
수술은 실시간 X-RAY인 C-ARM을 이용하여 확인하면서 진행하기 때문에 오차 없이 정확한 골절 정복 및 고정이 가능합니다. 정확하게 골절된 쇄골뼈를 맞추고,


b72968fc2915dd5bd436116d60cd6556_1767918764_739.png
금속판을 이용하여 고정해줍니다.


b72968fc2915dd5bd436116d60cd6556_1767918775_8358.png
수술실 사진을 보면, 금속판을 삽입함에도 작은 절개창으로 수술이 진행되었음을 알 수 있습니다. 흉터를 최소화 하기 위해서 시행한 최소침습, 최소절개 방식의 수술은 피부를 약 2~3cm만 절개하고서 긴 금속판을 피부와 뼈 사이에 앞뒤로 왔다갔다 밀어넣으며 위치시키고 고정합니다.


b72968fc2915dd5bd436116d60cd6556_1767918788_9205.png

수술 후 X-RAY를 보면 골절되었던 쇄골뼈가 금속판으로 정확한 위치에 잘 고정되어 있음을 확인할 수 있습니다.

골절 수술을 했음에도 상처가 적어 환자분과 보호자분께서는 너무나 기뻐하셨고, 2박3일간 입원 후 퇴원하셨습니다. 재활 과정으로는 약 3~4주 정도는 팔걸이 보조기를 착용하고서 어깨를 돌리지 않고, 3~4주가 지나면 보조기를 풀고서 어깨를 휘저으며 사용가능합니다.

댓글목록

등록된 댓글이 없습니다.

car

경기도 의정부시 평화로 389 2층~8층

subway
회룡역 2번 출구 회룡역 3,5번 출구
bus
36, 39, 5, 56, 7, 72, 72-3, 118, 5 203, 230-1, 206-1, 203-2
walk

식자재 왕 도매마트 건너편


경기도 의정부시 평화로 389 2층~8층
상호명 : 연세베스트병원 ㅣ 사업자 번호 : 264-99-01344 ㅣ 대표자 : 장철영
COPYRIGHT(C) YONSEI BEST HOSPITAL. ALL RIGHTS RESERVED.

logo

  • bottomicon

    031.874.0119

  • bottomicon

    평 일- 09:00 ~ 18:00
    토 요 일- 09:00 ~ 13:00
    점심시간- 13:00 ~ 14:00