HOSPITAL INTRODUCE

병원소개

어깨,팔 [어깨 견봉-쇄골/오구-쇄골인대파열, 탈구] 견봉-쇄골관절 탈구정복술 및 금속판 고정술, 견봉-쇄골인대 봉합 및 오구-쇄골인대…

페이지 정보

작성자최고관리자 댓글 0건 조회 9회 작성일 26-01-09 14:45

본문

41세 남성 환자분께서 좌측 어깨 통증 및 탈구 증상으로 내원해주셨습니다. 환자분은 내원 한달 반 전에 계단에서 넘어지셨고, 이때 어깨를 강하게 부딪혔는데, 괜찮아지겠지 하고, 통증을 참으며 견디시다가 일상생활에 어려움이 있을 정도로 통증이 심하여 저희 병원을 찾아오셨다고 말씀하셨습니다. 


b72968fc2915dd5bd436116d60cd6556_1767937491_6959.jpg
환자분의 어깨 상태를 파악하기 위해서 X-RAY 검사를 시행하였고, 검사 결과, 우측 어깨에는 이상이 확인되지 않지만 좌측 어깨관절은 견봉과 쇄골, 오구돌기와 쇄골이 탈구되어, 높낮이와 거리가 벌어져 있음이 확인됩니다.


b72968fc2915dd5bd436116d60cd6556_1767937501_9906.jpg

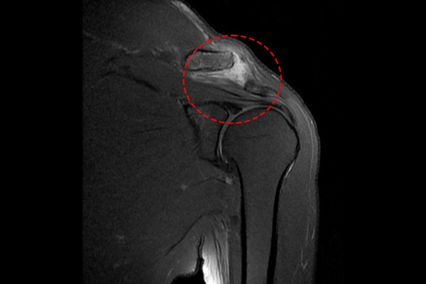
탈구뿐만 아니라 인대나 힘줄 등, 연부조직의 손상여부를 자세히 파악하기 위해 추가적으로 촬영한 MRI 검사에서 견봉-쇄골인대가 파열되어, 견봉-쇄골 관절이 탈구되어 있음을 확인하여, 좌측 어깨 견봉-쇄골 인대파열 및 오구-쇄골인대 파열로 인한 견봉-쇄골관절 탈구 및 오구-쇄골관절 탈구(A-C(acromio-clavicular) & C-C(coraco-clavicular)ligament rupture & joint subluxation shoulder Lt.)를 진단하였습니다.(증상이 심한 경우에는 쇄골이 위로 튀어나와 만져지기도 합니다.)

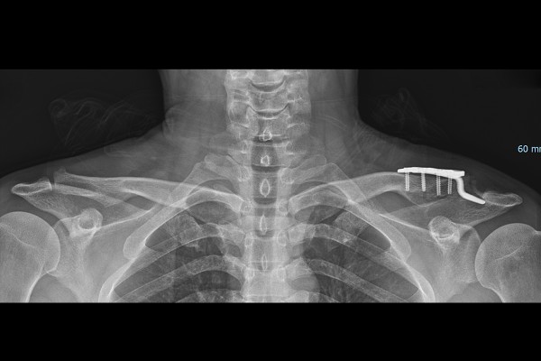
환자분께 X-RAY 및 MRI 사진을 보여드리며, 현재 어깨 상태와 함께 수술적 치료의 필요성과 방향성을 설명드렸고, 수술적 치료인 견봉-쇄골관절 탈구정복술 및 금속판 고정술, 견봉-쇄골인대 봉합 및 오구-쇄골인대 봉합술(ORIF hook plate for A-C & C-C dislocation & A-C C-C ligament repair)을 시행하였습니다.


b72968fc2915dd5bd436116d60cd6556_1767937511_1146.jpg
수술은 실시간 X-RAY인 C-ARM을 이용하여 확인하면서 진행합니다. 갈고리가 달린 금속판, 후크 플레이트(Hook Plate)로 탈골된 쇄골뼈를 다시 눌러서 높이를 맞추고, 파열된 견봉-쇄골인대, 오구-쇄골인대는 봉합해줍니다.


b72968fc2915dd5bd436116d60cd6556_1767937520_6843.jpg
수술 후 X-RAY에서 높이와 간격이, 탈구되기 전과 비교하였을 때, 많이 줄어든 것이 확인됩니다. 수술 후 재활과정으로는 3~4주 정도 팔걸이를 착용하여 어깨의 움직임을 제한(고정)합니다. 이후 3~4주가 지나면 팔걸이를 풀고 어깨를 들거나 흔드는 재활을 시작합니다.


b72968fc2915dd5bd436116d60cd6556_1767937530_5996.jpg

최종적으로 수술 후 3~4개월이 지난 시점에서 금속판을 제거하였고, 금속판을 제거하여도 이상 없음이 확인됩니다. 환자분께서는 금속판을 제거한 시점에서 어깨에 통증이 아예 없고, 움직임에도 제한이 없어서 크게 만족하셨습니다.

보통 넘어지면서 팔을 세게 짚거나, 어깨쪽으로 넘어지는 경우에는 견봉-쇄골관절 및 오구-쇄골관절 인대 파열로 인한 탈구가 잘 일어납니다. 이를 방치할 경우 봉합할 수 있는 인대가 없어져서 인대 이식을 통한 재건술을 해야할 정도로 수술의 범위가 커지기 때문에, 어깨에 통증과 함께 쇄골뼈가 튀어나오거나 만져진다면 간과하지 말고 정형외과 전문의를 찾아서, 정확한 진료와 치료를 통해 건강한 어깨를 되찾기를 바랍니다.

댓글목록

등록된 댓글이 없습니다.

car

경기도 의정부시 평화로 389 2층~8층

subway
회룡역 2번 출구 회룡역 3,5번 출구
bus
36, 39, 5, 56, 7, 72, 72-3, 118, 5 203, 230-1, 206-1, 203-2
walk

식자재 왕 도매마트 건너편


경기도 의정부시 평화로 389 2층~8층
상호명 : 연세베스트병원 ㅣ 사업자 번호 : 264-99-01344 ㅣ 대표자 : 장철영
COPYRIGHT(C) YONSEI BEST HOSPITAL. ALL RIGHTS RESERVED.

logo

  • bottomicon

    031.874.0119

  • bottomicon

    평 일- 09:00 ~ 18:00
    토 요 일- 09:00 ~ 13:00
    점심시간- 13:00 ~ 14:00