HOSPITAL INTRODUCE

병원소개

어깨,팔 [어깨 골종양(단순 골낭종)] 어깨 상완골 골종양 소파술 및 생검술, 골이식술

페이지 정보

작성자최고관리자 댓글 0건 조회 9회 작성일 26-01-09 17:27

본문

34세 남성 환자분께서 우측 어깨 상완골 부위 혹, 또는 종양 의심으로 내원해주셨습니다. 어깨 부위 혹을 발견하신 것은 약 한달정도 되었다고 하셨으며, 근처 병원을 먼저 방문하시어 X-RAY 및 MRI 검사 후 수술적 치료 소견을 들었으나, 수술범위가 커서 망설이던 도중, 제게 2~3년 전에 무릎 수술을 받으셨던 환자분의 아버님 소개로 저를 찾아오셨다고 말씀하셨습니다. 

특이사항으로는 약 20년 전, 중학교 1학년 정도의 나이 때 혹, 종양이 의심되는 우측 어깨 상완골 동일 부위에 골절이 된 적이 있었습니다.


b72968fc2915dd5bd436116d60cd6556_1767947203_9833.jpg
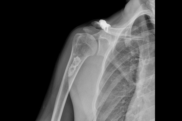
환자분께서 지참해오신 X-RAY를 확인했을 때 뼈 안에 음영이 다른 부분이 확인됩니다.


b72968fc2915dd5bd436116d60cd6556_1767947213_7255.jpg

MRI를 확인했을 때 역시 주변 뼈와 다른 신호가 뼈 안에서 관찰되는데, 이런 경우에는 조영제를 포함한 MRI 촬영을 하게 됩니다.

b72968fc2915dd5bd436116d60cd6556_1767947223_5571.jpg

조영제를 포함한 MRI 검사 결과, 종양 주변과 안쪽부분이 조영증강 된 것이 확인되었습니다. 이 경우에는 영상의학과와 협진이 필요하여 다학제 협진을 진행하였고, 골괴사나 내연골종 혹은 골내 지방종, 마지막으로 가능성이 매우 드물지만 저등급의 연골육종이 의심되었습니다.

환자분께서 저희 병원을 내원하시기 전에 들리셨던 다른 병원에서는 종양이 의심되는 부위를 길게 절개하여 뼈 속 종양을 제거 후 금속판으로 고정해야할 수 있고, 고정으로 인해 장기간 재활이 필요하다는 소견을 들었다고 말씀하셨습니다.

이 소견이 틀린 것은 아니지만, 저는 우선 종양 주변에 작게 창을 내어 안쪽을 최대한 긁어내고, 조직검사를 의뢰 후 가장 중요한 악성(암)인지 아닌지 구분하는 것이 최우선 목표라 생각하고, 될 수 있는 한 환자분께 부담이 가지 않도록 금속판 고정 없이 바로 팔을 사용할 수 있는 방향으로 수술을 계획하였습니다. 환자분께 치료 계획을 설명드리고 최소침습적 방식의 어깨 상완골 골종양 소파술 및 생검술, 골이식술(Rt. shoulder humerus bone tumor curretage & bone graft)을 시행하였습니다.


b72968fc2915dd5bd436116d60cd6556_1767947240_9507.jpg
수술실에서 긁어낸 조직 사진입니다. 원래 뼈 안에는 해면골이라 하는 푸석푸석한 뼈가 있는데, 뼈 표면에서 발견되야 하는 딱딱한 하얀색 피질골이 확인됩니다. 긁어낸 조직을 조직검사 의뢰하였고, 조직검사 결과, 악성이 의심될만한 조직은 발견되지 않았고, 단순 골낭종, 어깨 상완골 골종양[단순 골낭종](Rt. shoulder prox.humerus bone tumor)이 진단 되었습니다.


b72968fc2915dd5bd436116d60cd6556_1767947250_1862.jpg

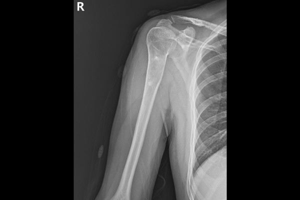
수술 후 촬영한 X-RAY에서 수술 후 종양이 거의 다 잘 제거된 것이 확인됩니다.

환자분의 경우 진단이 참 어려웠던 케이스인데, 돌이켜보면 단순 골낭종이 있던 자리에 20년 전에 골절이 발생하면서, 골절이 회복되는 과정에서 뼈의 일부가 괴사 되었고, 딱딱한 조직이 안에 생기면서 섬유화된 괴사조직들이 뼈 안을 채우고 있던 것으로 판명됩니다.

수술 후 조직검사 결과에서 다행히 암이 의심될만한 소견이 나오지 않아서 환자분께 안심해도 된다고 말씀드렸습니다. 환자분께서는 악성(암)이 아닌 양성종양으로 판정을 받아서 안도하셨을 뿐만 아니라, 긴 절개나 금속판 없이 최소침습적으로 수술을 잘 마치게 되어 크게 만족하셨습니다.

뼈 안의 종양은 정확한 검사 및 최선의 치료 계획을 세우는 것이 중요합니다. 만약 종양이 의심된다면, 관절의 해부학적 이해도가 높고, 종양에 대한 경험이 풍부한 전문의, 의학박사 및 다학제 협진이 가능한 의료기관을 찾아 건강한 일상을 되찾기를 바랍니다.

댓글목록

등록된 댓글이 없습니다.

car

경기도 의정부시 평화로 389 2층~8층

subway
회룡역 2번 출구 회룡역 3,5번 출구
bus
36, 39, 5, 56, 7, 72, 72-3, 118, 5 203, 230-1, 206-1, 203-2
walk

식자재 왕 도매마트 건너편


경기도 의정부시 평화로 389 2층~8층
상호명 : 연세베스트병원 ㅣ 사업자 번호 : 264-99-01344 ㅣ 대표자 : 장철영
COPYRIGHT(C) YONSEI BEST HOSPITAL. ALL RIGHTS RESERVED.

logo

  • bottomicon

    031.874.0119

  • bottomicon

    평 일- 09:00 ~ 18:00
    토 요 일- 09:00 ~ 13:00
    점심시간- 13:00 ~ 14:00