HOSPITAL INTRODUCE

병원소개

발,발목 [발목관절염] 과상부 절골술(SMO 교정술)

페이지 정보

작성자최고관리자 댓글 0건 조회 56회 작성일 25-09-15 09:52

본문

52세 남성 환자분께서 우측 발목 통증으로 내원해주셨습니다. 발목이 불편하신지는 약 3개월 이상 되었고, 근처 타병원에서 X-RAY, MRI 촬영을 하였을 때, 수술적 치료가 필요하다는 소견을 들으시고, 검색을 하다가 제 블로그와 칼럼을 읽고 찾아오시게 되었다 말씀하셨습니다. 


96707d45bfa78bc815f4e3f85a28a525_1757897461_7337.jpg

촬영한 발목 X-RAY에서 발목 관절의 공간이 확인되는 좌측 발목에 비해, 우측 발목 관절의 경우 공간이 없는 것을 확인하여 우측 발목 관절염 (Takakura stage 3B)(OA ankel Rt.(Takakura stage IIIB))을 진단하였습니다.

환자분께 현재 발목 상태와 수술적 치료의 필요성을 설명드렸고, 우측 발목 과상부 절골술(Rt. ankle A/S + SMO(supramalleolar osteotomy) + fibula shortening + Deltoid resection + open MBO)을 시행하였습니다.

과상부 절골술이란 발목의 내측으로 가해지는 체중부하를 외측으로 바꿔주는 수술로서, 마치 타이어에 편마모가 발생할 경우, 타이어를 조금 더 오래 사용하기 위해, 위치교환을 하는 것과 같은 원리의 수술법입니다.


96707d45bfa78bc815f4e3f85a28a525_1757897487_3012.jpg
교정술 시행 전 관절내시경을 이용하여 발목 상태를 확인했을 때, 먼저 정상적으로 연골이 덮여있는 부분이 확인됩니다.


96707d45bfa78bc815f4e3f85a28a525_1757897498_8533.jpg
반면 안쪽(내측) 복숭아뼈 맞닿는 부분을 보면 관절이 맞닿아 까진 것이 확인됩니다.


96707d45bfa78bc815f4e3f85a28a525_1757897506_2597.jpg
거골의 안쪽도 연골이 파여진 것을 확인할 수 있습니다.


96707d45bfa78bc815f4e3f85a28a525_1757897521_3839.jpg
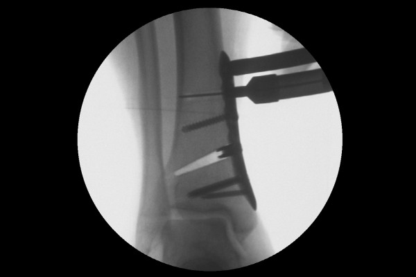
실시간 X-RAY인 C-ARM을 이용하여 확인하며, 안쪽 뼈에 실금을 내어 벌리고서 금속판을 이용하여 고정합니다.


96707d45bfa78bc815f4e3f85a28a525_1757897535_0927.jpg
바깥쪽 뼈도 마찬가지로 실금을 내어 금속판으로 고정하여, 체중부하를 내측에서 외측으로 이동시킵니다.


96707d45bfa78bc815f4e3f85a28a525_1757897543_1159.jpg
수술 후 X-RAY에서 잘 고정되었고, 발목 안쪽의 공간이 생긴 것이 확인됩니다.


96707d45bfa78bc815f4e3f85a28a525_1757897554_6302.jpg
수술 전/후 X-RAY를 비교해보면 더욱 확실하게 알 수 있습니다.

과상부 절골술 후 약 4주간은 체중부하를 하지 않고, 4주가 지난 후에 발목 각도 운동을 시작합니다. 수술 후 4~6주간은 부분 체중부하를 진행하며, 전체중부하는 수술 후 6주가 지난 시점에서 시행합니다.

환자분의 경우 수술 후 3개월이 지난 시점에서 수술 전 통증 및 불편감이 100이었다면, 현재 0으로 불편감이 아예 안느껴져서 크게 만족해하셨습니다.

발목관절염 3기 A까지는 유합술이 아닌 본인의 발목을 살리는 과상부 절골술의 시행이 가능하기 때문에 발목관절염의 상태를 정확하게 파악하는 것이 중요합니다. 과상부 절골술은 운이 좋으면 평생 인공관절 없이 본인의 관절을 사용할 수 있는 우수한 술식이므로, 증상이 발생한다면 족부를 전공한 족부전문의를 찾아 정확한 검사 및 치료를 통해 건강한 발걸음을 되찾기를 바랍니다.

댓글목록

등록된 댓글이 없습니다.

car

경기도 의정부시 평화로 389 2층~8층

subway
회룡역 2번 출구 회룡역 3,5번 출구
bus
36, 39, 5, 56, 7, 72, 72-3, 118, 5 203, 230-1, 206-1, 203-2
walk

식자재 왕 도매마트 건너편


경기도 의정부시 평화로 389 2층~8층
상호명 : 연세베스트병원 ㅣ 사업자 번호 : 264-99-01344 ㅣ 대표자 : 장철영
COPYRIGHT(C) YONSEI BEST HOSPITAL. ALL RIGHTS RESERVED.

logo

  • bottomicon

    031.874.0119

  • bottomicon

    평 일- 09:00 ~ 18:00
    토 요 일- 09:00 ~ 13:00
    점심시간- 13:00 ~ 14:00