HOSPITAL INTRODUCE

병원소개

어깨,팔 [어깨 이두근 장두 손상 및 파열] 어깨 이두근 장두건 재부착술

페이지 정보

작성자최고관리자 댓글 0건 조회 12회 작성일 26-01-09 17:50

본문

54세 남성 환자분께서 좌측 어깨 통증으로 내원해주셨습니다. 환자분께서는 약 1년 전에 자전거를 타다가 넘어지면서 다치셨고, 근처 병원에서 초음파 검사 후 보존적 치료인 주사치료를 시행해왔음에도, 해결이 되지 않아서 저희 병원을 찾아오셨다 말씀하셨습니다. 


b72968fc2915dd5bd436116d60cd6556_1767948561_9706.jpg

환자분의 어깨 및 이두근 상태를 자세히 파악하기 위해, MRI 촬영을 진행하였습니다. MRI 촬영 결과, 이두근 장두가 관절 내 부분에서 파열이 의심되었고, 어깨 이두근 장두 손상(Biceps long head inj shoulder Lt.)을 진단하였습니다. 이두근 장두건은 어깨 관절 위쪽을 지나며, 팔을 들어 올리거나, 돌리는 동작에 중요한 역할을 하는 만큼, 주로 팔을 자주 사용하는 분들에게 손상 및 파열 증상이 나타납니다.(퇴행성 변화나 교통사고 등 외부의 충격으로도 발생할 수 있습니다.)

이두근 장두가 손상될 경우에는 주로 어깨 앞쪽이 불편하고, 특히 알통 만드는 자세(팔을 접었다 폈다)를 취할 때 통증을 호소하십니다. 이두근 장두가 완전파열된, 증상이 심하신 분들의 경우 정상적인 팔에 비하여 뽀빠이처럼 알통이 비정상적으로 튀어나오는 경우도 있습니다.(방치할 경우 팔에 힘이 빠지거나, 야간통으로 수면장애가 발생하여 일상생활에 큰 불편함을 겪게 됩니다.)

환자분께 MRI 사진과 함께 현재 어깨 이두근 상태와 수술적 치료의 필요성을 설명드렸고, 어깨 이두근 장두건 재부착술(Biceps long head tenodesis)을 시행하였습니다.


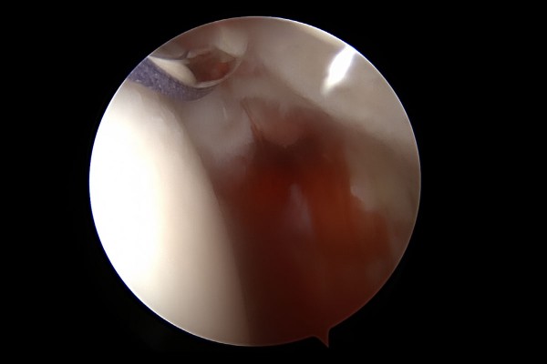
b72968fc2915dd5bd436116d60cd6556_1767948573_5603.jpg
먼저 관절내시경을 이용해 어깨 내부를 확인했을 때, 이두근 장두가 얇아져서 거의 끊어지기 전 상태임이 확인됩니다.


b72968fc2915dd5bd436116d60cd6556_1767948583_7728.jpg
이 경우에는 너덜너덜한 이두근 장두를 끊어서 새로운 부착지점에 튼튼하게 부착해줘야 하기 때문에 이두근 장두를 실로 묶어서 잡아준 후


b72968fc2915dd5bd436116d60cd6556_1767948593_5772.jpg
어깨 앞쪽을 최소절개하여, 묶어둔 이두근 장두를 빼냅니다.


b72968fc2915dd5bd436116d60cd6556_1767948602_6541.jpg
그 후 이두근 장두를 실 달린 칼슘나사를 이용해 어깨 상완골 앞에 재부착해주며 수술을 마치게 됩니다.


b72968fc2915dd5bd436116d60cd6556_1767948614_1793.jpg
비교적 생소한 질환이기 때문에, 글을 읽으시는 환자분들의 이해를 돕기위하여 모식도와 함께 한 번더 정리해보겠습니다. 정상적인 어깨(왼쪽)에 비해 손상된 어깨 이두근 장두(오른쪽)가 확인됩니다.


b72968fc2915dd5bd436116d60cd6556_1767948624_1801.jpg

손상된 이두근 장두 부분을 끊어주고, 실로 묶은 다음 어깨 상완골 앞쪽에 칼슘나사를 이용해 재부착합니다.

수술은 잘 진행되었고, 수술 후 재활과정으로는 3~4주간은 팔걸이 보조기를 착용하여 팔 사용을 금지합니다. 이후 3~4주가 지나면 팔꿈치를 구부렸다 폈다, 어깨를 돌리며 재활을 시작합니다.

이두근 장두건 재부착술을 받으신 환자분의 경우, 한달이 지난 시점에서 통증이 절반 이상 줄어들었다 하셨으며, 2달째에는 기존 통증이 100이었다면 10미만으로 감소하였다고 말씀하셨습니다.

이두근 장두 파열의 경우에는 지속적인 어깨 통증을 유발할 수 있는 질환이기 때문에, 빠른 진단과 치료가 중요합니다. 하지만 진단자체가 쉽지 않은 질환이기 때문에 증상이 발생했다면, 어깨와 팔에 대한 해부학적 이해도가 높은 정형외과 전문의, 의학박사를 찾아 건강한 일상을 되찾기를 바랍니다.

댓글목록

등록된 댓글이 없습니다.

car

경기도 의정부시 평화로 389 2층~8층

subway
회룡역 2번 출구 회룡역 3,5번 출구
bus
36, 39, 5, 56, 7, 72, 72-3, 118, 5 203, 230-1, 206-1, 203-2
walk

식자재 왕 도매마트 건너편


경기도 의정부시 평화로 389 2층~8층
상호명 : 연세베스트병원 ㅣ 사업자 번호 : 264-99-01344 ㅣ 대표자 : 장철영
COPYRIGHT(C) YONSEI BEST HOSPITAL. ALL RIGHTS RESERVED.

logo

  • bottomicon

    031.874.0119

  • bottomicon

    평 일- 09:00 ~ 18:00
    토 요 일- 09:00 ~ 13:00
    점심시간- 13:00 ~ 14:00