HOSPITAL INTRODUCE

병원소개

손,손목 [삼각섬유연골 복합체(TFCC) 손상,] 미세내시경 활액막염 제거술 및 삼각섬유연골 열 수축술

페이지 정보

작성자최고관리자 댓글 0건 조회 8회 작성일 26-01-13 17:10

본문

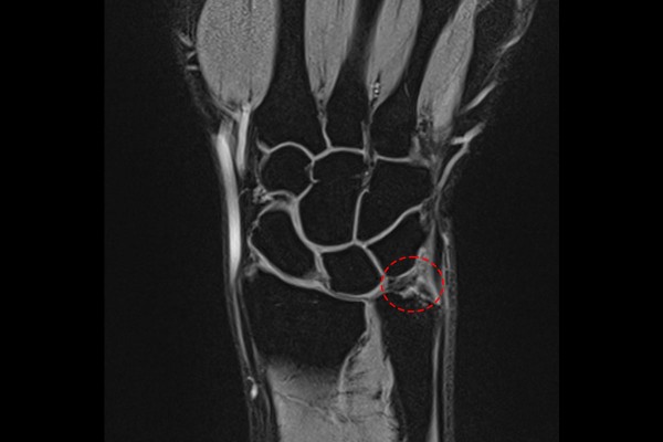
20세 남성 환자분께서 우측 손목 통증으로 내원해주셨습니다. 환자분께서는 내원 5개월 전 운동을 하고나서부터 손목 가측, 새끼손가락쪽 손목에 통증 및 불편감이 느껴졌다고 말씀하셨습니다. 증상 해결을 위해 근처 병원을 내원하여 MRI 검사를 진행했을 때, 인대파열 소견을 들었고, 확실한 치료를 위해 검색해보다가 저희 병원을 알게되시어 찾아오셨다 하셨습니다. 

e2dae621a1572a5ea8be78c4dc6d0de9_1768291768_6982.jpg

병력청취 후 신체진찰을 위해 새끼손가락측 손목을 눌렀을 때 통증(압통)이 발생하였고, 손목을 가측으로 누르면서 돌렸을 때 역시 통증이 발생한 것을 확인하였습니다. 정확한 상태를 파악하기 위해 환자분께서 지참해오신 MRI 사진을 봤을 때, 삼각섬유연골 복합체(TFCC) 부근에 하얗게 신호변화를 확인하여, 손목 인대파열이 아닌 우측 손목 가측 삼각섬유연골 복합체 손상(TFCC injury wrist Rt.)을 진단하였습니다.

현재 손목 상태와 수술적 치료의 필요성, 수술의 방향성을 설명드리고서, 우측 손목 미세내시경 활액막염 제거술 및 삼각섬유연골 열 수축술(Rt. wrist A/S [Synovectomy & TFCC debridement])을 시행하였습니다. (오랜기간 지속된 통증 및 불편감으로 환자분께서도 적극적인 치료를 희망하셨습니다.)


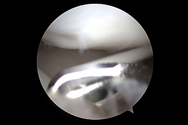
e2dae621a1572a5ea8be78c4dc6d0de9_1768291778_8095.jpg
내시경 사진을 보시면 손목 관절 벽쪽에 빨간 활액막염이 확인됩니다.


e2dae621a1572a5ea8be78c4dc6d0de9_1768291790_33.jpg
이를 절삭기구(Shaver)를 이용하여 제거해줍니다.


e2dae621a1572a5ea8be78c4dc6d0de9_1768291800_4405.jpg
삼각섬유연골이 찢어진 부분이 확인되어


e2dae621a1572a5ea8be78c4dc6d0de9_1768291813_4109.jpg

주변부를 다듬어 준 뒤 레이저 기구를 이용하여 열 수축 처리하며 수술을 마무리 합니다.

내시경을 이용한 TFCC 손상 치료는 환자 부담이 적은 최소침습 방식의 수술법으로, 실제 환자분께서는 수술 당일 바로 손을 사용하셨으며, 수술 다음날 퇴원하셨습니다. 통증은 2주가 지난 시점에서 내원하셨을 때 80% 이상 좋아졌다 말씀하셨고, 2달이 지난시점에서는 10미만으로 거의 통증이 느껴지지 않는다 이야기 하셨습니다.

삼각섬유연골복합체(TFCC) 손상이 발생했을 때 비수술적 치료만으로 증상 호전이 어렵다면, 내시경을 이용한 수술적 치료로 좋은 결과를 얻을 수 있습니다. 관절내시경을 이용하여 실시간으로 확인하며 수술을 진행하는 만큼, 수술의 정확성과 안정성이 높아지기 때문에 증상이 있다면 망설이지 마시고, 정형외과 병원을 내원하시어 정확한 진단과 치료를 통해 건강한 손목을 되찾기를 권유드립니다.

댓글목록

등록된 댓글이 없습니다.

car

경기도 의정부시 평화로 389 2층~8층

subway
회룡역 2번 출구 회룡역 3,5번 출구
bus
36, 39, 5, 56, 7, 72, 72-3, 118, 5 203, 230-1, 206-1, 203-2
walk

식자재 왕 도매마트 건너편


경기도 의정부시 평화로 389 2층~8층
상호명 : 연세베스트병원 ㅣ 사업자 번호 : 264-99-01344 ㅣ 대표자 : 장철영
COPYRIGHT(C) YONSEI BEST HOSPITAL. ALL RIGHTS RESERVED.

logo

  • bottomicon

    031.874.0119

  • bottomicon

    평 일- 09:00 ~ 18:00
    토 요 일- 09:00 ~ 13:00
    점심시간- 13:00 ~ 14:00