HOSPITAL INTRODUCE

병원소개

손,손목 [손목 원위요골 골절] 손목 골절 정복술 및 금속판 고정술

페이지 정보

작성자최고관리자 댓글 0건 조회 7회 작성일 26-01-13 17:55

본문

오늘 기온이 크게 떨어지고, 내일은 눈이 내린다는 예보가 있습니다. 이렇게 눈이 내리는 추운 겨울에는 길이 미끄러워져 넘어짐 사고가 급격히 증가하게 되는데, 특히 넘어질 때 본능적으로 손을 뻗어 땅을 짚으며 손목 원위요골 골절이 흔히 발생합니다. 이렇게 넘어지며 손목을 다치신 환자분들께 도움이 되기를 바라며, 오늘은 이러한 상황에서 발생한 손목 골절 환자분의 당일 수술 사례를 알아보겠습니다. 

경기도 포천에 거주중이신 54세 여성 환자분께서 우측 손목 통증, 골절 증상으로 내원해주셨습니다. 환자분께서는 내원 전날 오후에 넘어지며 손으로 땅을 강하게 짚은 뒤 통증이 심해 근처 병원을 내원하였고, 손목이 골절되어 수술적 치료가 필요하다는 진단을 받으셨습니다. 이후 골절 치료를 잘하는 병원을 찾던 중 저희 병원을 알게되시어 찾아오셨다고 말씀하셨습니다.


e2dae621a1572a5ea8be78c4dc6d0de9_1768294510_345.jpg
지참해오신 X-RAY 사진을 보면 손목 원위 요골이 골절된 것이 확인됩니다.


e2dae621a1572a5ea8be78c4dc6d0de9_1768294518_3324.jpg

CT 검사 결과를 확인해보니, 손목이 골절되어 뒤로 꺾여있는 것이 확인되어 손목 원위요골 골절(Fx. distal radius wrist Rt.)을 진단하였습니다.

뒤로 꺾인 손목을 치료하지 않고 방치할 경우 손목이 꺾인 채로 굳게 되므로, 환자분께 현재 손목 상태와 수술적 치료의 필요성을 설명드린 후, 수술적 치료인 손목 골절 정복술 및 금속판 고정술(ORIF plate for Fx. distal radius wrist Rt.)을 시행하였습니다.(오후에 바로 당일 수술로 진행하였습니다.)

특이사항으로 환자분께서는 골다공증 검사를 했을 때 T-scroe가 -2.6으로 골다공증을 동반하고 계셨기 때문에, 골절 치료와 함께 골다공증 주사 치료도 같이 시행하였습니다.


e2dae621a1572a5ea8be78c4dc6d0de9_1768294528_5801.jpg
수술은 실시간 X-RAY인 C-ARM을 이용하여 정확한 위치를 확인하며 진행합니다. 먼저 골절되어 뒤로 꺾인 뼈를 제자리로 잘 맞춰준 후, 금속판(Plate)을 이용하여 강하게 고정해줍니다.


e2dae621a1572a5ea8be78c4dc6d0de9_1768294539_8307.jpg

수술 후 X-RAY를 보면 뒤로 꺾인 것 없이 손목이 원래 위치에 맞게 잘 고정되어 있는 것이 확인됩니다.

재활과정으로는 수술 후 4주간은 깁스 착용을 하다가 4주가 지난 시점부터는 깁스를 풀고 손목을 돌리면서 각도 운동을 시작하게 됩니다. 단, 손목을 짚는 것은 2달 정도 안하는 것이 회복에 좋습니다.


e2dae621a1572a5ea8be78c4dc6d0de9_1768294548_4053.jpg
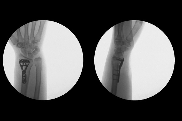
환자분께서는 현재 3달이 지난 시점에서 내원해주셨고, X-RAY를 보면 금속판이 견고하게 잘 고정해주고 있음을 확인할 수 있습니다.(아무런 문제 없이 직장 생활을 잘 하고 계시다고 합니다.)

댓글목록

등록된 댓글이 없습니다.

car

경기도 의정부시 평화로 389 2층~8층

subway
회룡역 2번 출구 회룡역 3,5번 출구
bus
36, 39, 5, 56, 7, 72, 72-3, 118, 5 203, 230-1, 206-1, 203-2
walk

식자재 왕 도매마트 건너편


경기도 의정부시 평화로 389 2층~8층
상호명 : 연세베스트병원 ㅣ 사업자 번호 : 264-99-01344 ㅣ 대표자 : 장철영
COPYRIGHT(C) YONSEI BEST HOSPITAL. ALL RIGHTS RESERVED.

logo

  • bottomicon

    031.874.0119

  • bottomicon

    평 일- 09:00 ~ 18:00
    토 요 일- 09:00 ~ 13:00
    점심시간- 13:00 ~ 14:00