HOSPITAL INTRODUCE

병원소개

손,손목 [손 새끼손가락 골절] 손 중수골 및 새끼손가락 골절 도수정복술 및 핀고정술

페이지 정보

작성자최고관리자 댓글 0건 조회 8회 작성일 26-01-14 17:15

본문

f47dc04064d0a1429c1e3bea535e4955_1768378540_8972.jpg
70세 여성 환자분께서 우측 손 골절 증상으로 내원해주셨습니다. 환자분께서는 소를 키우시고 계신데, 내원 전날에 소 밧줄에 손이 감기면서 다치셨고, 손날 부분이 골절된 것 같다고 말씀하셨습니다. 육안으로 볼 때도 새끼손가락이 위로 꺾여있는 것이 확인되었고, 정확한 상태 파악을 위해 X-RAY 촬영을 진행하였습니다. 


f47dc04064d0a1429c1e3bea535e4955_1768378494_5611.jpg
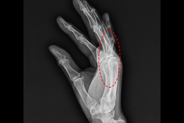
X-RAY 촬영 결과, 새끼손가락 중수골과 근위지골이 골절된 것이 확인되었습니다.


f47dc04064d0a1429c1e3bea535e4955_1768378504_769.jpg

측면에서 확인했을 때, 중수골, 근위지골 골절로 새끼손가락이 위로 꺾인 것을 확인하여 우측 손 중수골 및 새끼손가락 골절(Fx. 5th Metacarpal neck + 5th prox.phal hand Rt.)을 진단하였습니다.

환자분께 현재 손가락 상태와 수술적 치료의 필요성 수술의 방향성을 설명드렸고, 수술적 치료인 우측 손 중수골 및 새끼손가락 골절 도수정복술 및 핀고정술(Closed reduction c pinning for Fx. 5th MC neck + 5th prox. phal hand Rt.)을 시행하였습니다.(환자분의 경우 손가락 모양이 꺾여서 들려있었고, 계속해서 소를 키워야하기 때문에 빠른 회복이 필요하여 수술적 치료가 불가피하였습니다.)


f47dc04064d0a1429c1e3bea535e4955_1768378516_8538.jpg
실시간 X-RAY인 C-ARM을 이용하여 확인하면서 수술을 진행하였고, 골절선을 맞춘 후 핀으로 고정해줍니다.


f47dc04064d0a1429c1e3bea535e4955_1768378526_4242.jpg

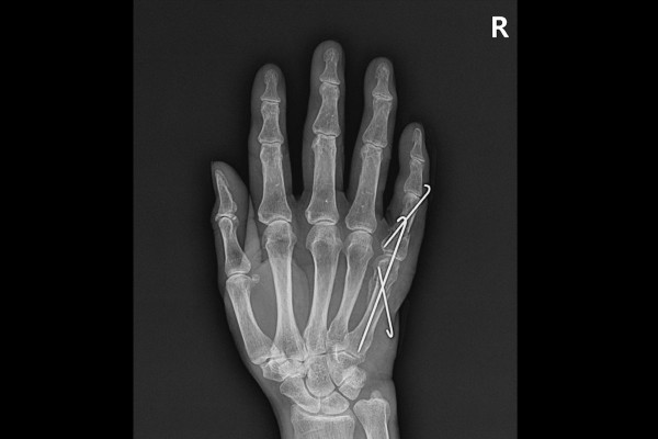
수술 후 X-RAY를 보면 골절되었던 새끼손가락 중수골, 근위지골이 잘 고정되어있는 것을 확인할 수 있습니다.

새끼손가락 골절 수술 후 재활기간을 알아보면 약 4주간은 깁스 착용 후 손을 구부리지 않는 것이 좋으며, 4주가 지나면 손가락을 구부렸다 폈다하는 운동을 시작합니다. 핀은 6주가 지난 시점에 뽑게됩니다. 환자분께서는 핀도 뽑으셨고 잘 회복되셔서, 이상 없이 일상으로 복귀하였습니다.

댓글목록

등록된 댓글이 없습니다.

car

경기도 의정부시 평화로 389 2층~8층

subway
회룡역 2번 출구 회룡역 3,5번 출구
bus
36, 39, 5, 56, 7, 72, 72-3, 118, 5 203, 230-1, 206-1, 203-2
walk

식자재 왕 도매마트 건너편


경기도 의정부시 평화로 389 2층~8층
상호명 : 연세베스트병원 ㅣ 사업자 번호 : 264-99-01344 ㅣ 대표자 : 장철영
COPYRIGHT(C) YONSEI BEST HOSPITAL. ALL RIGHTS RESERVED.

logo

  • bottomicon

    031.874.0119

  • bottomicon

    평 일- 09:00 ~ 18:00
    토 요 일- 09:00 ~ 13:00
    점심시간- 13:00 ~ 14:00