HOSPITAL INTRODUCE

병원소개

손,손목 [손 중수골 골절] 손 중수골 골절 도수정복술 및 핀 고정술

페이지 정보

작성자최고관리자 댓글 0건 조회 8회 작성일 26-01-14 17:37

본문

f47dc04064d0a1429c1e3bea535e4955_1768378827_0597.jpg

오늘은 손 중수골 골절 환자분의 수술사례를 통해, 손 골절 발생 시 시행하는 수술법과 재활기간에 대해서 알아보겠습니다. 수술사례에 앞서 손 중수골이 무엇인지 궁금하실 환자분들을 위해 간략하게 말씀드리면 중수골이란 손가락뼈와 손목을 이어주는 5개의 뼈를 칭합니다.

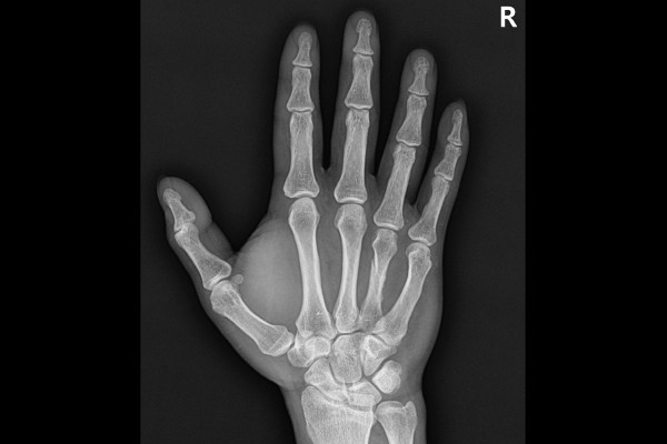
양주 옥정에 거주하시는 43세 남성 환자분께서 우측 손 중수골 골절로 내원해주셨습니다. 환자분께서는 내원 5일 전에 업무중 다치셔서 근처 타병원을 들려 X-RAY와 CT 검사 진행 후 수술이 필요하다는 소견을 듣고서 소개로 저희 병원을 내원해주셨습니다.


f47dc04064d0a1429c1e3bea535e4955_1768378838_5565.jpg
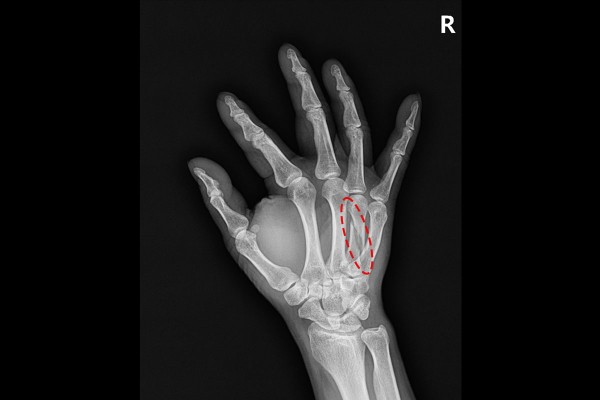
환자분께서 지참해오신 X-RAY를 보면 4번째 중수골에 나선형 골절이 확인됩니다.


f47dc04064d0a1429c1e3bea535e4955_1768378848_0778.jpg

CT 검사 결과를 확인했을 때도 중수골 부분이 골절되어 꺾여있는 것이 확인되어 우측 손 중수골 골절(Fx. 4th Metacarpal shaft hand Rt.)을 진단하였습니다.

환자분께 현재 손 상태와 수술적 치료의 필요성을 설명드렸고, 우측 손 중수골 골절 도수정복술 및 핀 고정술(Closed reduction c pinning for Fx. 4th metacarpal shaft hand Rt)을 시행하였습니다.


f47dc04064d0a1429c1e3bea535e4955_1768378858_2966.jpg
긴 절개 방식이 아닌 최소침습 방식으로 수술을 진행하며, 실시간 X-RAY인 C-ARM을 이용하여 확인하면서 골절되어 어긋난 중수골을 원래위치로 돌려줍니다. 이후 골절선을 가로질러 핀으로 고정해줍니다.


f47dc04064d0a1429c1e3bea535e4955_1768378868_0728.jpg
수술 후 X-RAY를 보면 휘어진 부분 없이 잘 고정된 것이 확인됩니다.


f47dc04064d0a1429c1e3bea535e4955_1768378878_3945.jpg

환자분께서는 별다른 문제 없이 잘 회복하셨고, 수술 후 6주가 지난 시점에서 핀을 제거하고 찍은 X-RAY 사진을 확인했을 때, 뼈가 어긋남 없이 잘 붙은 것을 확인할 수 있습니다.

손 중수골 골절 수술 후 재활 과정으로는 4주간은 손을 구부리지 않는 것이 좋으며, 4주가 지난 시점부터 손가락을 자유롭게 구부리며, 핀 제거는 4주~6주 정도에 시행하게 됩니다. 이후 재활치료를 하면 수술 후 약 8주 시점에는 모든 치료를 마무리하게 됩니다.(반깁스는 수술 후 4주~6주 정도 착용하게 됩니다.)

댓글목록

등록된 댓글이 없습니다.

car

경기도 의정부시 평화로 389 2층~8층

subway
회룡역 2번 출구 회룡역 3,5번 출구
bus
36, 39, 5, 56, 7, 72, 72-3, 118, 5 203, 230-1, 206-1, 203-2
walk

식자재 왕 도매마트 건너편


경기도 의정부시 평화로 389 2층~8층
상호명 : 연세베스트병원 ㅣ 사업자 번호 : 264-99-01344 ㅣ 대표자 : 장철영
COPYRIGHT(C) YONSEI BEST HOSPITAL. ALL RIGHTS RESERVED.

logo

  • bottomicon

    031.874.0119

  • bottomicon

    평 일- 09:00 ~ 18:00
    토 요 일- 09:00 ~ 13:00
    점심시간- 13:00 ~ 14:00