HOSPITAL INTRODUCE

병원소개

손,손목 [엄지 망치수지 골절] 손가락 골절 관혈적 정복술 및 내고정술, 장무지신전건 재부착술

페이지 정보

작성자최고관리자 댓글 0건 조회 6회 작성일 26-01-16 17:23

본문

54세 남성 환자분께서 우측 엄지손가락 통증으로 내원해주셨습니다. 내원 하루 전날 넘어지면서 손가락을 다치셨는데, 주말이었기 때문에 급하게 응급실을 들리셨다가 다음날 바로 골절 및 외상을 잘 치료하는 저희 병원을 찾아오셨다고 말씀하셨습니다. 

환자분의 경우 내원 당시 손가락 안들림, 굽음 증상을 호소하셨고, 넘어지면서 심하게 다치셔서 개방형 골절이 발생한 상태였습니다. 개방형 골절은 뼈가 부러지면서 살이 터져, 외부와 한 번 공기 접촉이 된 것을 말합니다. 이 경우 피부에 덮여있어야 할 뼈가 노출되면서 균이 잘 들어가게 되고 추후에 감염 및 골수염의 발생 위험이 굉장히 크기 때문에 최대한 빠르게 세척 및 수술을 하는 것이 좋습니다.


a8e3925fa9d3a61646bcfa6928ae5bf9_1768551726_3984.jpg
타병원에서 촬영한 X-RAY를 보면 골절로 인한 뼛조각이 확인됩니다.


a8e3925fa9d3a61646bcfa6928ae5bf9_1768551736_5977.jpg

CT영상을 확인했을 때 역시 뼛조각이 확인되며, 원래 있어야 할 위치에서 떨어져 내려와 있는 것이 확인되어 손가락 안들림, 엄지 망치수지 골절(Open mallet Fx. 1st DP base hand Rt.)을 진단하였습니다.

환자분의 경우 앞서 말했듯이 빠른 수술이 필요한 상태였기에 내원 당일 바로 당일 수술을 진행하였습니다. 수술은 손가락 골절 관혈적 정복술 및 내고정술, 장무지신전건 재부착술(ORIF c pinning for Fx. 1st DP base hand Rt & Extensor pollicis longus(EPL) re-attachment)로 진행되었습니다.


a8e3925fa9d3a61646bcfa6928ae5bf9_1768551750_6812.jpg
수술실 사진을 보시면 골절로 인해 피부가 터져있는 것이 확인됩니다.


a8e3925fa9d3a61646bcfa6928ae5bf9_1768551759_8519.jpg
골절된 뼈를 맞추고 뼛조각을 원래 위치로 돌린 후 떨어져나간 힘줄(장무지신전건)을 원래 위치에 잘 부착해줍니다.


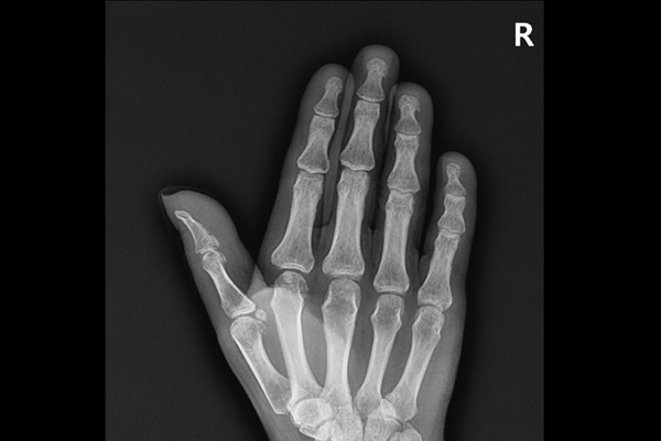
a8e3925fa9d3a61646bcfa6928ae5bf9_1768551771_5486.jpg
수술 후 X-RAY를 보면 뼈가 잘 고정된 것이 확인됩니다.


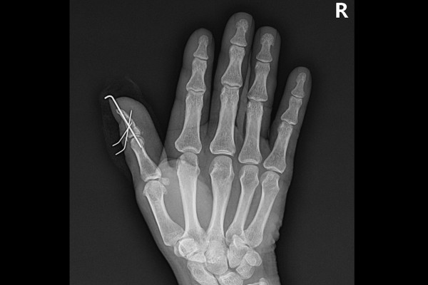
a8e3925fa9d3a61646bcfa6928ae5bf9_1768551781_5691.jpg

추후에 핀 제거 후 찍은 X-RAY를 확인했을 때 원래 위치로 깔끔하게 잘 정복된 것이 확인됩니다.

환자분의 경우 수술 후 약 6주간은 엄지를 구부리지 않고서 깁스 고정을 유지하였고, 6주뒤에 손가락을 구부렸다 폈다 했을 때, 처음에는 엄지손가락이 잘 안들린다고 했지만 현재는 엄지손가락이 끝까지 잘들리고, 구부리는 것도 다치지지 않은 반대편과 비교했을 때 95% 이상 동일할 정도로 기능이 회복되어 너무 만족해 하셨습니다.(마지막으로 한달 뒤에 경과를 살펴보고서 진료를 종료할 예정입니다.)

망치수지 및 족지 골절은 넘어지면서 다치거나, 어딘가에 부딪혀 심하게 꺾이거나, 누군가에게 밟혔을 때 발생하는 질환입니다. 이 때 손가락이나 발가락 끝이 안들린다면 당황하지 말고서 골절 및 뼈와 관절에 대한 높은 의학적 지식이 있는 정형외과 전문의, 의학박사를 찾아 잘 치료받기를 바랍니다.

댓글목록

등록된 댓글이 없습니다.

car

경기도 의정부시 평화로 389 2층~8층

subway
회룡역 2번 출구 회룡역 3,5번 출구
bus
36, 39, 5, 56, 7, 72, 72-3, 118, 5 203, 230-1, 206-1, 203-2
walk

식자재 왕 도매마트 건너편


경기도 의정부시 평화로 389 2층~8층
상호명 : 연세베스트병원 ㅣ 사업자 번호 : 264-99-01344 ㅣ 대표자 : 장철영
COPYRIGHT(C) YONSEI BEST HOSPITAL. ALL RIGHTS RESERVED.

logo

  • bottomicon

    031.874.0119

  • bottomicon

    평 일- 09:00 ~ 18:00
    토 요 일- 09:00 ~ 13:00
    점심시간- 13:00 ~ 14:00