HOSPITAL INTRODUCE

병원소개

발,발목 [무지강직증] 개재관절성형술

페이지 정보

작성자최고관리자 댓글 0건 조회 45회 작성일 25-09-15 10:13

본문

57세 여성 환자분께서 우측 1족지(엄지발가락), 엄지 관절 통증으로 내원해주셨습니다. 통증이 있는지는 1년 정도 되었고, 근처 타병원에서 엄지발가락 관절염 소견을 들으시고 약물 치료와 주사치료를 병행하였으나 주사를 맞을 때만 괜찮고 계속 불편하여 검색을 해보시다가, 족부전문의를 찾아 광주에서 의정부까지 찾아오셨다고 말씀하셨습니다. 


96707d45bfa78bc815f4e3f85a28a525_1757898705_9008.jpg
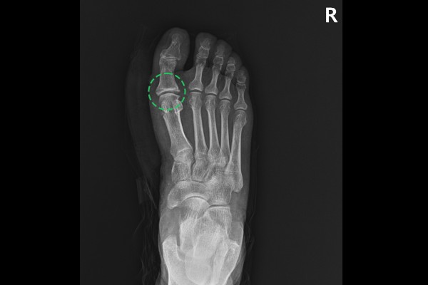
환자분의 발 상태를 확인하기 위해 X-RAY 촬영을 진행하였고, 정상적인 좌측 발과 비교했을 때, 우측 발 엄지 관절이 좁아져 있는 것이 확인되었습니다.

96707d45bfa78bc815f4e3f85a28a525_1757898718_5132.jpg
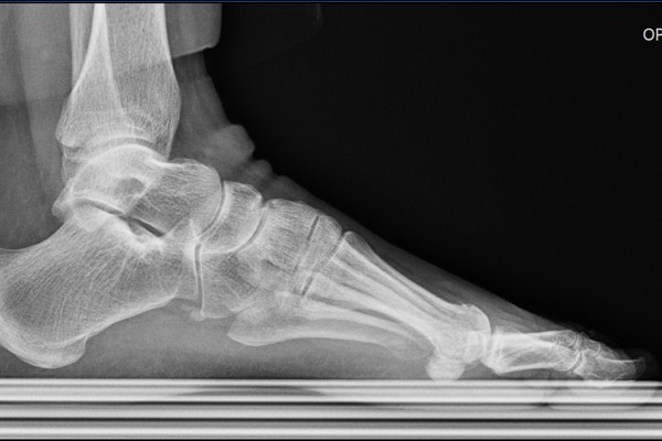
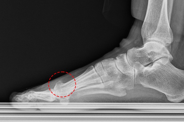
측면에서 촬영한 X-RAY 사진을 보면 우측 발에 골극이 자라나 있는 것이 확인됩니다.

96707d45bfa78bc815f4e3f85a28a525_1757898729_6855.jpg
반면, 좌측 발에는 골극이 보이지 않습니다.

96707d45bfa78bc815f4e3f85a28a525_1757898743_5881.jpg

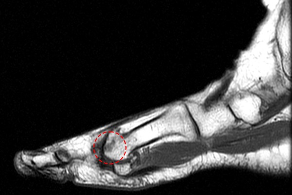
MRI를 확인했을 때 엄지발가락 쪽에서 골부종이 확인되어 무지강직증[엄지관절염](Hallux rigidus foot Rt.)을 진단하였습니다.

환자분께 상황을 설명드리고, 허벅지 근막을 이용한 제1중족-족지관절 뼈골극 제거술 및 개재관절성형술(Rt. foot 1st MTP bony spur excision & interpositional arthroplasty)로 수술적 치료를 진행하였습니다.


96707d45bfa78bc815f4e3f85a28a525_1757898753_8186.jpg
수술실 사진을 보시면 관절이 닳아 없어진 것이 확인됩니다.


96707d45bfa78bc815f4e3f85a28a525_1757898761_6742.jpg
관절면을 다듬고, 골극을 제거합니다.


96707d45bfa78bc815f4e3f85a28a525_1757898769_5451.jpg
환자분 본인의 허벅지 근막을 채취하여 다듬은 관절표면에 넣어주며 수술을 마치게 됩니다.


96707d45bfa78bc815f4e3f85a28a525_1757898782_682.jpg
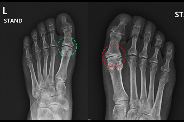
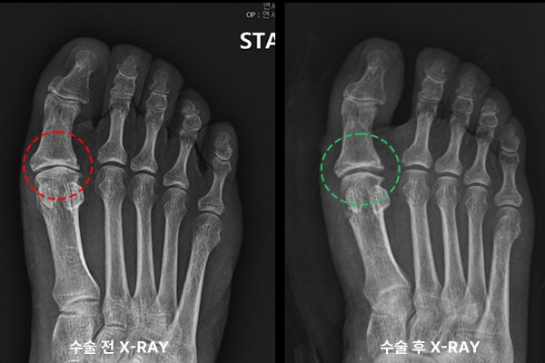
수술 후 X-RAY를 보면 관절 간격이 회복됨이 확인됩니다.


96707d45bfa78bc815f4e3f85a28a525_1757898794_2747.jpg

수술 전/후를 비교해보면 엄지관절 간격이 넓어짐을 한 눈에 확인할 수 있습니다.

환자분의 경우 약 2~4주간은 엄지발가락을 위아래로 꺾거나 디디는 행동은 제한할 예정이며, 2~4주가 지나면 발가락을 움직이는 각도 운동을 포함한 모든 행동에 제한이 없습니다. 대부분의 환자분들이 관절면을 새로 성형하는 개재관절성형술 후 좋은 결과를 보이기 때문에 좋은 예후가 기대됩니다.

그동안 수술이 필요한 무지강직증은 관절을 붙이는 유합술로 진행되었는데, 이는 통증은 줄어들지만 관절의 움직임이 없어져 걸음이 부자연스러워지고 불편감이 발생하였습니다.

이러한 단점을 보완한 개재관절성형술은 환자분 본인의 관절을 살릴 수 있는 수술법으로 통증은 줄이고, 관절의 움직임을 살리기 때문에 환자분들의 만족도가 굉장히 높은 최신지견의 수술법입니다. 따라서 무지강직증 증상이 보인다면 개재관절성형술의 시행이 가능한 족부의사, 족부전문의를 찾아 건강한 발걸음을 되찾기를 바랍니다.

댓글목록

등록된 댓글이 없습니다.

car

경기도 의정부시 평화로 389 2층~8층

subway
회룡역 2번 출구 회룡역 3,5번 출구
bus
36, 39, 5, 56, 7, 72, 72-3, 118, 5 203, 230-1, 206-1, 203-2
walk

식자재 왕 도매마트 건너편


경기도 의정부시 평화로 389 2층~8층
상호명 : 연세베스트병원 ㅣ 사업자 번호 : 264-99-01344 ㅣ 대표자 : 장철영
COPYRIGHT(C) YONSEI BEST HOSPITAL. ALL RIGHTS RESERVED.

logo

  • bottomicon

    031.874.0119

  • bottomicon

    평 일- 09:00 ~ 18:00
    토 요 일- 09:00 ~ 13:00
    점심시간- 13:00 ~ 14:00