HOSPITAL INTRODUCE

병원소개

손,손목 [손목 물혹, 결절종] 결절종 제거 및 뿌리 봉합술

페이지 정보

작성자최고관리자 댓글 0건 조회 4회 작성일 26-01-21 09:40

본문

오늘은 주로 손목이나 발목에 많이 생기는 물혹(혹), 결절종 제거 수술 사례를 통해 수술 및 수술 후 관리법에 대해서 알아보겠습니다.(결절종이 발생했을 때 간혹 종양이 아닌지 걱정하시는 분들이 계시는데, 결절종은 종양이 아닌 관절액이 젤리같이 고인 물주머니입니다.)  

의정부에 거주중이신 42세 여성 환자분께서 좌측 손목 물혹(혹), 결절종으로 내원해주셨습니다. 환자분께서 1년전 건강검진에서 수액을 맞고나서 생긴 것 같다고 말씀해주셨는데, 이는 큰 연관성은 없으며, 손목 물혹, 결절종은 손을 많이 사용하시는 분들(디자이너, 프로그래머, 요리사, 목수 등)에게서 흔히 나타나는 질환입니다. 실제로 환자분께서도 손을 많이 사용하시는 디자이너셨고, 잦은 손 사용으로 인해 약해진 관절부위에서 관절액이 새어나와 결절종이 형성된 것으로 보입니다.


30ec6ec96c3e395fd52bc2174c5bac54_1768955966_6741.jpg
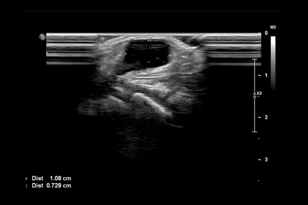
결절종 확인을 위해 초음파 검사를 시행하였고, 초음파 검사 결과, 가로 1cm 깊이 7mm 크기의 물혹이 확인되었습니다.


30ec6ec96c3e395fd52bc2174c5bac54_1768955979_331.jpg
주변 신경과의 관계 및 신경의 이상유무를 확인하기 위해 촬영한 MRI 검사 결과, 명확하게 보이는 물혹, 결절종이 확인되었습니다.


30ec6ec96c3e395fd52bc2174c5bac54_1768955990_5803.jpg

다른 방향의 사진을 확인해보아도 물혹, 결절종이 확인되어 손목 물혹 결절종(Ganglion wrist dorsum)을 진단하였습니다.

환자분께 현재 상황을 설명드리고, 재발 없이 확실한 제거가 가능한 수술적 치료, 손목 결절종 제거 및 뿌리봉합술(Wrist ganglion excision & biopsy)을 시행하였습니다.


30ec6ec96c3e395fd52bc2174c5bac54_1768956001_3998.jpg

수술은 손목에 있는 결절종을 제거하고서, 관절액이 흘러나오는 뿌리부를 봉합하며 마치게 됩니다.

환자분은 수술 후 바로 손 사용을 시작하여 간단한 업무를 하셨고, 수술 다음날 바로 퇴원하셨습니다.

결절종 수술은 수술 후 손 사용이 바로 가능하며, 과격한 운동만 3~5일 정도 피해주시고, 상처부위에 물이나 오염물질만 약 2주간 안닿게 조심해주시면 별다른 이상 없이 회복이 가능합니다.

흔히 인터넷을 보다 보면 주사흡입을 통해 결절종을 간단히 제거할 수 있다는 글들을 많이 볼 수 있는데, 이는 근본적인 원인이 해결되지 않는 임시방편일뿐입니다. 결절종은 마치 밑 빠진 독 처럼 젤리같은 관절액이 새어나와 물혹을 형성하는 질환이기 때문에 주사로 관절액을 빼낸다 하더라도 관절액이 흘러나오는 원인 부분을 해결하지 않는다면 추후에 관절액이 다시 흘러나와 재발하게 됩니다.

따라서 손목이나 발목에 물혹, 결절종이 확인되고, 미용상 혹은 통증 및 불편감이 있다면 정형외과 병원을 내원하시어 수술을 통해 건강하고 말끔한 손목 및 발목을 되찾기를 바랍니다.

댓글목록

등록된 댓글이 없습니다.

car

경기도 의정부시 평화로 389 2층~8층

subway
회룡역 2번 출구 회룡역 3,5번 출구
bus
36, 39, 5, 56, 7, 72, 72-3, 118, 5 203, 230-1, 206-1, 203-2
walk

식자재 왕 도매마트 건너편


경기도 의정부시 평화로 389 2층~8층
상호명 : 연세베스트병원 ㅣ 사업자 번호 : 264-99-01344 ㅣ 대표자 : 장철영
COPYRIGHT(C) YONSEI BEST HOSPITAL. ALL RIGHTS RESERVED.

logo

  • bottomicon

    031.874.0119

  • bottomicon

    평 일- 09:00 ~ 18:00
    토 요 일- 09:00 ~ 13:00
    점심시간- 13:00 ~ 14:00