HOSPITAL INTRODUCE

병원소개

손,손목 [손목 석회성건염(힘줄염)] 관절경하 석회 제거술 및 활액막염 제거술

페이지 정보

작성자최고관리자 댓글 0건 조회 5회 작성일 26-01-21 17:47

본문

어깨의 극심한 통증을 일으키는 질환인 석회성건염은 한 번쯤은 들어보셨을만한 질환입니다. 석회는 어깨, 특히 극상근에서 많이 발생하지만, 힘줄이 있는 곳이라면 어디든 발생할 수 있는 질환으로, 오늘은 손목에 발생한 손목 석회성건염(힘줄염)의 내시경 수술 사례를 통한 수술 방법 등을 알아보겠습니다. 

53세 남성 환자분께서 좌측 손목통증으로 내원해주셨습니다. 손목이 아픈지는 약 7년 이상 되셨다고 하셨으며, 가만히 있거나 움직일 때 모두 통증이 발생하고, 손끝에 저림 증상까지 있다고 말씀하셨습니다. 근처 타병원에서 체외충격파 치료와 주사치료를 병행하면서 증상호전을 기대하였으나 치료를 시행하는 순간에만 괜찮아지는 듯 하고 큰 효과가 없다고 말씀하셨습니다.

현재 손목의 사용이 많은 건설직에 종사하시는 환자분으로 일상생활에 큰 지장이 생겨 곤란하다고 손목 관련 정형외과를 검색해보던 중 저희 병원을 알게되어서 찾아오셨다고 말씀하셨습니다.


30ec6ec96c3e395fd52bc2174c5bac54_1768985198_5153.jpg
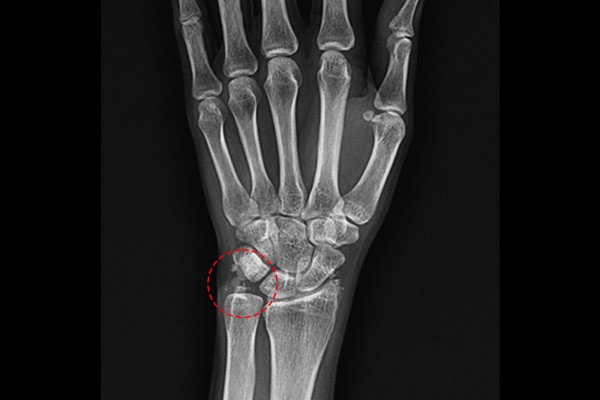
환자분 손목의 상태를 파악하기 위해 X-RAY 검사를 시행하였을 때, 석회가 확인되었습니다.


30ec6ec96c3e395fd52bc2174c5bac54_1768985208_252.jpg

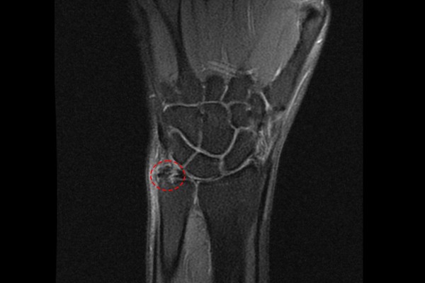
자세한 확인 및 다른 연부조직의 이상유무를 확인하기 위해 MRI 검사를 시행하였고, MRI에서도 역시 석회가 확인되어 손목 석회성 힘줄염(Calcific tendinitis wrist Lt)을 진단하였습니다.

환자분께 상황을 설명드리고, 7년여간의 비수술적 치료에도 증상호전이 없는 상태이기 때문에 수술적 치료인 손목 관절경하 석회 제거술 및 활액막염 제거술(Lt. wrist A/S (calcific decompression & synovectomy))을 진행하였습니다.


30ec6ec96c3e395fd52bc2174c5bac54_1768985216_4414.jpg
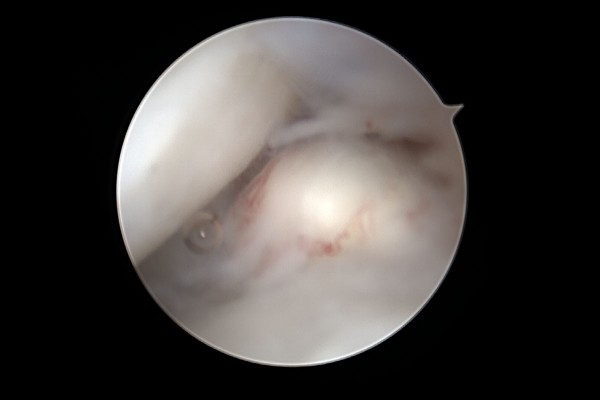
관절내시경 화면을 보면 볼록 튀어나온 석회가 확인됩니다.


30ec6ec96c3e395fd52bc2174c5bac54_1768985224_7985.jpg
수술기구를 이용하여 석회에 창을 내고,


30ec6ec96c3e395fd52bc2174c5bac54_1768985239_1099.jpg
치약 짜듯이 쥐어 짜게 되면 하얀 석회가루가 나오게 됩니다.


30ec6ec96c3e395fd52bc2174c5bac54_1768985252_1451.jpg

추가로 빨간 염증도 제거해줍니다.

환자분은 수술 후 바로 손 사용이 가능하였고, 통증이나 저림이 많이 좋아지셔서 크게 만족해하셨습니다.

손목에 통증 및 저림 증상이 발생하였을 때, 미세 내시경을 이용한다면 10~20분 내외의 짧은 수술시간만으로 증상 호전이 가능하기 때문에, 통증 및 저림 증상이 나타났다면, 미세 수술이 가능한 정형외과전문의, 의학박사를 찾아 건강한 손목을 되찾기를 바랍니다.

댓글목록

등록된 댓글이 없습니다.

car

경기도 의정부시 평화로 389 2층~8층

subway
회룡역 2번 출구 회룡역 3,5번 출구
bus
36, 39, 5, 56, 7, 72, 72-3, 118, 5 203, 230-1, 206-1, 203-2
walk

식자재 왕 도매마트 건너편


경기도 의정부시 평화로 389 2층~8층
상호명 : 연세베스트병원 ㅣ 사업자 번호 : 264-99-01344 ㅣ 대표자 : 장철영
COPYRIGHT(C) YONSEI BEST HOSPITAL. ALL RIGHTS RESERVED.

logo

  • bottomicon

    031.874.0119

  • bottomicon

    평 일- 09:00 ~ 18:00
    토 요 일- 09:00 ~ 13:00
    점심시간- 13:00 ~ 14:00