HOSPITAL INTRODUCE

병원소개

발,발목 [발목 삼복사 골절] 발목 관혈적 정복술 및 내고정술

페이지 정보

작성자최고관리자 댓글 0건 조회 62회 작성일 25-09-15 16:35

본문

22세 여성 환자분께서 우측 발목 통증, 발목 골절로 내원해주셨습니다. 환자분께서는 내원 하루전에 빗길에 넘어지면서 다치셨고, 근처 타병원을 들려 X-RAY와 CT 촬영 후 족부전문의를 찾아서 저희 병원에 오시게 되었다고 말씀하셨습니다. 


96707d45bfa78bc815f4e3f85a28a525_1757921639_9731.jpg
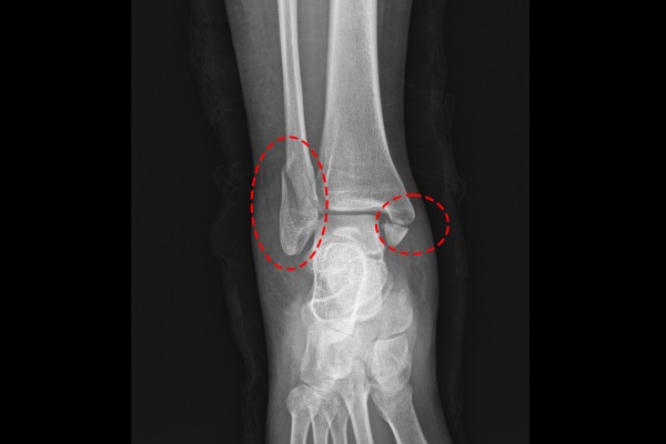
육안으로 보았을 때 발목이 많이 부어 있었고, 지참하신 X-RAY 사진을 보았을 때 안쪽 복숭아뼈(내복사), 바깥쪽 복숭아뼈(외복사)에 골절이 확인되었습니다.


96707d45bfa78bc815f4e3f85a28a525_1757921650_9971.jpg

더욱 자세한 확인을 위해, CT 영상을 확인해보니 내/외복사 골절과 함께 뒤쪽 복숭아뼈(후복사)골절까지 확인되며 발목 삼복사 골절(Fx. trimalleolar ankle Rt)을 진단하였습니다.

환자분께 현재 발목 상태와 수술적 치료의 필요성을 설명드렸고, 수술은 발목 삼복사 골절 관혈적 정복술 및 내고정술(ORIF c plate for Fx. Lat malleolar ankle Rt. / ORIF c Tension band wiring Fx. Medial malleolar ankle Rt.)을 진행하기로 하였습니다.

다만 환자분의 경우 내원 당시 발목에 부기가 너무 심하여 바로 수술 진행은 어려웠고, 입원 후 심장보다 다리를 높게 올린 후 얼음찜질을 통해서 부기를 4~5일 정도 충분히 가라 앉히고 수술을 진행하였습니다.(길게는 1주일 정도 부기를 빼는 경우도 있습니다.)


96707d45bfa78bc815f4e3f85a28a525_1757921661_8489.jpg
수술은 실시간 X-RAY인 C-ARM을 보면서 진행하였고, 먼저 바깥쪽 복숭아뼈를 금속판(플레이트)과 지연나사(lag screw)로 고정합니다.


96707d45bfa78bc815f4e3f85a28a525_1757921671_4984.jpg

골절편이 작은 안쪽 복숭아뼈(내복사)는 작은 스크류와 핀, 와이어로 고정해줍니다.

CT에서 확인되었던 뒤쪽 복숭아뼈(후복사)는 골편이 관절면 전체면적의 25프로를 넘지 않기 때문에, 뼈를 잘 맞춰주면 제자리로 들아가므로, 따로 추가적인 고정을 시행하지 않았습니다.


96707d45bfa78bc815f4e3f85a28a525_1757921683_3017.jpg
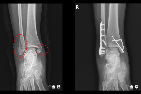
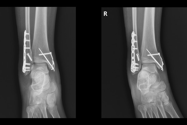
수술 후 X-RAY를 보면 잘 고정된 발목이 확인됩니다.


96707d45bfa78bc815f4e3f85a28a525_1757921692_7839.jpg

수술 전/후 X-RAY를 비교해보면 골절선이 잘 맞으며 수술이 잘 되었음이 한 눈에 확인됩니다.

환자분의 경우 수술 후 통깁스 착용이 아닌 반깁스 착용만 4주정도 진행하며, 발목을 움직이는 각도 운동은 3~4주 지난 시점에서 시작하게 됩니다.(관절면을 침범한 골절이기 때문에 3~4주 정도는 100프로 보행을 하기에는 어려움이 있습니다.)

3~4주가 지난 시점부터는 까치발을 들고 보행을 시작할 예정이며 발을 다 디딜때까지는 6~8주가 소요될 것이 예상됩니다. 삼복사 골절은 발목이 안쪽, 바깥쪽, 뒤쪽 모두 골절되어 발목이 덜렁거리게 되고, 심하게 붓는 경우가 많습니다. 이 때 제대로 치료되지 않으면 발목이 계속해서 시큰거리고 아프기 때문에, 증상이 보인다면 발과 발목에 대한 해부학적 이해도와 경험이 많은 족부전문의를 찾아서, 정확한 진단 및 치료를 통한 건강한 발걸음을 되찾기를 바랍니다.

(덧붙여 말씀드리면, 예전에 삼복사 골절로 저에게 수술을 받으신 치료사 분이 계신데, 치료 경과가 좋아 지금은 건강하게 뛰어다니시며, 현재 저희 병원에서 함께 근무하고 계십니다.)

댓글목록

등록된 댓글이 없습니다.

car

경기도 의정부시 평화로 389 2층~8층

subway
회룡역 2번 출구 회룡역 3,5번 출구
bus
36, 39, 5, 56, 7, 72, 72-3, 118, 5 203, 230-1, 206-1, 203-2
walk

식자재 왕 도매마트 건너편


경기도 의정부시 평화로 389 2층~8층
상호명 : 연세베스트병원 ㅣ 사업자 번호 : 264-99-01344 ㅣ 대표자 : 장철영
COPYRIGHT(C) YONSEI BEST HOSPITAL. ALL RIGHTS RESERVED.

logo

  • bottomicon

    031.874.0119

  • bottomicon

    평 일- 09:00 ~ 18:00
    토 요 일- 09:00 ~ 13:00
    점심시간- 13:00 ~ 14:00