HOSPITAL INTRODUCE

병원소개

발,발목 [발목 외복사 골절] 골절 정복술 및 금속판 고정술

페이지 정보

작성자최고관리자 댓글 0건 조회 52회 작성일 25-09-15 17:01

본문

42세 여성 환자분께서 좌측 발목 통증으로 내원해주셨습니다. 내원 전날 길을 걷다가 미끄러지면서 다치셨고, 근처 타병원을 들렸을 때, 추후 후유증이 있을 수 있다고 하여 수술 권유를 받으셨고, 검색을 통해 골절 수술 병원, 정형외과인 저희 병원을 찾아오셨다고 말씀하셨습니다. 


96707d45bfa78bc815f4e3f85a28a525_1757923256_2374.jpg
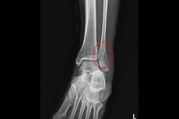
환자분의 발목 상태를 확인하기 위해 촬영한 X-RAY 검사에서 발목 외측복사(복숭아뼈)부분에 골절선이 명확하게 확인되었고,


96707d45bfa78bc815f4e3f85a28a525_1757923276_9302.jpg

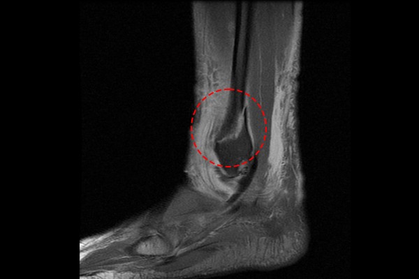
주변 인대손상 및 힘줄손상의 가능성도 있기 때문에 좀 더 자세한 확인을 위해 MRI 촬영을 진행한 결과, MRI에서도 역시 발목 외측 복숭아뼈(복사뼈) 골절이 확인되어 좌측 발목 외복사 골절(Lt. ankle lateral malleolar Fx.)을 진단하였습니다.

환자분께서 빠른 회복과 후유증이 없기 위한 수술적 치료를 받고자 내원하셨기에, 현재 환자분 발목 상태와 수술 내용을 설명드리고서 좌측 발목 골절 정복술 및 금속판 고정술(Lt. ankle ORIF with plate for lat. malleolar Fx.)을 진행하였습니다.


96707d45bfa78bc815f4e3f85a28a525_1757923292_3803.jpg
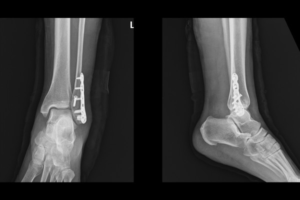
내원 다음날 바로 수술을 진행하였고, 실시간 X-RAY인 C-ARM을 이용하여 확인하면서 골절선을 가로지르는 지연나사(lag screw)와 금속판(plate)으로 강하게 고정해줍니다.


96707d45bfa78bc815f4e3f85a28a525_1757923304_0794.jpg

수술 후 X-RAY를 확인해보면 잘 고정된 발목이 확인됩니다.

발목 골절의 경우 원칙적으로 강하게 고정이 되고, 골절의 정도가 극심하지 않다면 수술 다음날부터도 보행이 가능합니다. 실제로 환자분께서도 몇일이 되지 않아 바로 걸어 다니셨으며, 골절 수술 후 반깁스만 3주~4주간 착용한다면 별다른 문제없이 빠른 회복이 가능합니다.(경과에 따라서는 반깁스도 안하는 경우도 있습니다. 실제로 깁스 없이 발목 보호대만 하고서 간호실습을 나가신 분도 계십니다.)

현재 수술 후 약 3개월이 지난 시점에서 강아지랑 산책도 다니시며, 걷고 뛰는데 별다른 문제가 없다고 말씀하셨습니다.(안타깝게도 최근에 넘어지시면서 손가락을 다치셔서 병원에서 물리치료를 받고 계십니다.)

발목 골절의 경우 방치하다가는 뼈가 잘 안붙어서 골반뼈 이식이 필요할 수 있고, 관절이 어긋난 상태로 굳어버리게 되면 외상 후 관절염이 나타나 보행장애가 생길 수 있습니다. 때문에 골절 증상이 있다면 간과하지말고 족부를 전공한 정형외과 전문의를 찾아서 정확한 진단 및 치료를 받아 하루 빨리 발목 건강을 회복하시기를 바랍니다.

댓글목록

등록된 댓글이 없습니다.

car

경기도 의정부시 평화로 389 2층~8층

subway
회룡역 2번 출구 회룡역 3,5번 출구
bus
36, 39, 5, 56, 7, 72, 72-3, 118, 5 203, 230-1, 206-1, 203-2
walk

식자재 왕 도매마트 건너편


경기도 의정부시 평화로 389 2층~8층
상호명 : 연세베스트병원 ㅣ 사업자 번호 : 264-99-01344 ㅣ 대표자 : 장철영
COPYRIGHT(C) YONSEI BEST HOSPITAL. ALL RIGHTS RESERVED.

logo

  • bottomicon

    031.874.0119

  • bottomicon

    평 일- 09:00 ~ 18:00
    토 요 일- 09:00 ~ 13:00
    점심시간- 13:00 ~ 14:00